症例詳細
Case detail
奥歯が黒い セラミッククラウンで綺麗に 30代女性
治療症例の内容
- 診療科目
- 治療カテゴリ
- 担当医
- 患者様
- 30代女性
- 治療期間
- 1ヶ月
- 治療回数
- 2-5回
- 治療計画
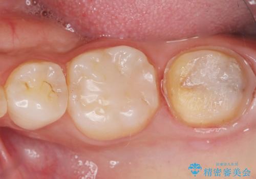
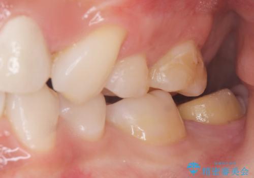
- 奥歯が黒くなっていることを気にされ来院された患者様です。
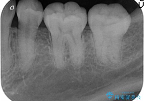
精査したところ、左下の奥歯にう蝕を認めました。
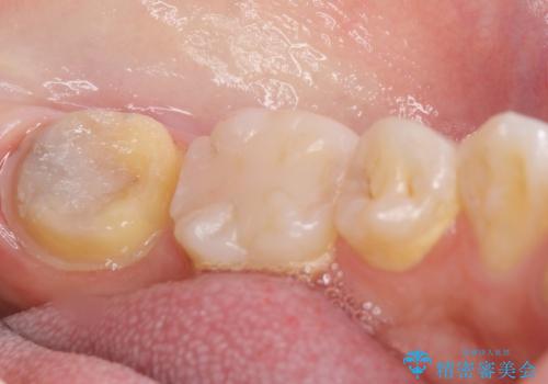
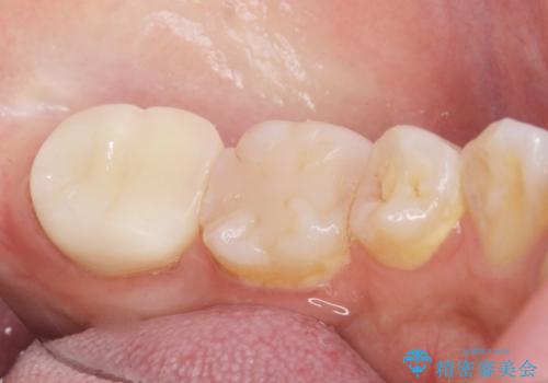
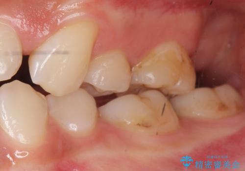
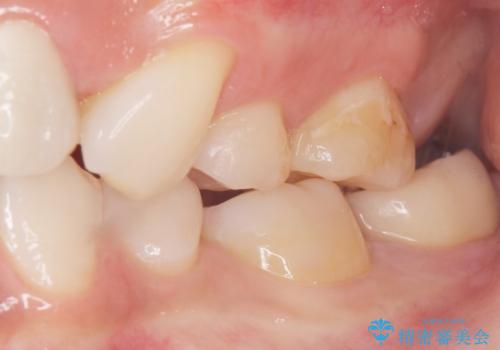
患者様のご希望により、う蝕を丁寧に除去したのちセラミッククラウンによる補綴治療を行いました。
- 費用(概算)
- ¥121,000 (仮歯、クラウン) ※税込費用は治療当時の料金となります
治療について
セラミッククラウンの自然な仕上がりと咬み心地にご満足頂けました。
クラウンの種類:オールセラミッククラウン スタンダード
セラミック治療の注意事項(リスク・副作用など)
- 天然歯を削ります
- 硬い素材は天然歯を傷つけてしまう場合があります
- かみ合わせや歯ぎしりが強すぎる方はセラミックが割れてしまう可能性があります
- 自費診療(保険適用外治療)となります
当サイトの内容、テキスト、画像等の無断転載、複製、複写、盗用を固く禁じます。











