症例詳細
Case detail
定期的にクリーニングを(PMTC)
治療症例の内容
- 診療科目
- 治療カテゴリ
- 患者様
- 30代女性
- 治療期間
- 1日
- 治療回数
- 1回
- 治療計画
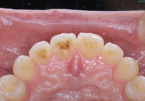
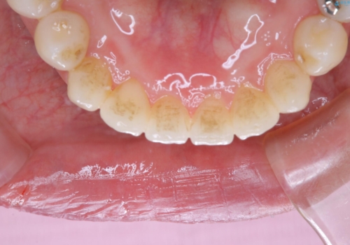
- 全体的なクリーニングをしてほしいとのことで来院されました。
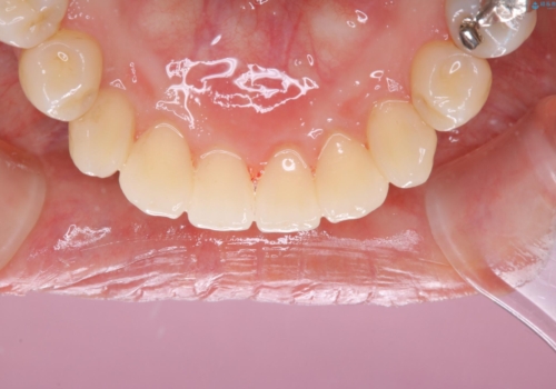
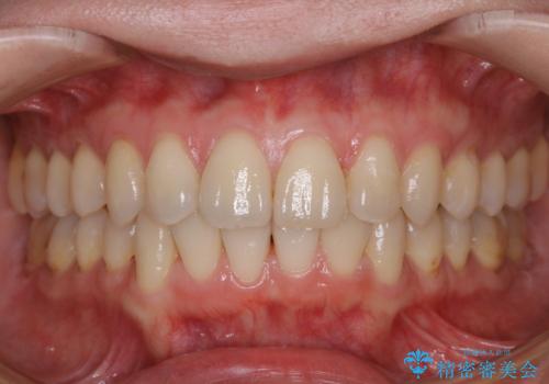
PMTC60分コースを行いました。
- 費用(概算)
- 11000円費用は治療当時の料金となります
治療について
PMTC60分コースを行いました。
半年ぶりのクリーニングということもあり、裏側は着色や歯石で汚れが付着していました。表側だけを見るとそんなに汚れている感じないためか、あまり汚れが付着しているという自覚がなかったようなので驚かれていました。今後は、内側を意識してブラッシングを行って欲しい為、ブラッシングの順番を内側から磨いてあげるように説明しました。
メンテナンスやクリーニングは、3ヶ月に1回定期的に行うことをおすすめします。
担当歯科衛生士
表参道しらゆり歯科 DH富田
PMTCの注意事項(リスク・副作用など)
- 歯を白くする目的の施術ではありません
- 保険適用外となります
当サイトの内容、テキスト、画像等の無断転載、複製、複写、盗用を固く禁じます。






