症例詳細
Case detail
虫歯と歯並びを治したい 50代女性
治療症例の内容
- 診療科目
- 治療カテゴリ
- 担当医
- 患者様
- 50代女性
- 治療期間
- 2ヶ月
- 治療回数
- 2-5回
- 治療計画
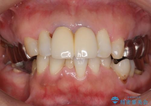
- 虫歯と歯並びを治したいとご希望された患者様です。
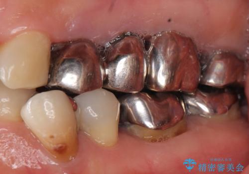
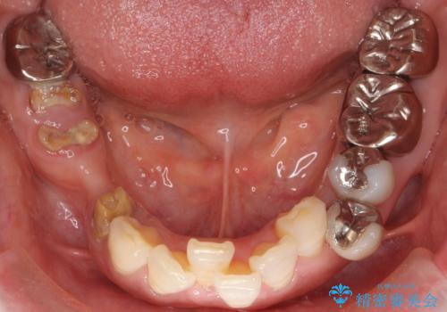
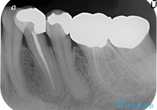
精査したところ、左下の小臼歯(左下5)の銀の詰め物の下に大きなう蝕を認めました。
またその手前の歯(左下4)は頬側転位していることを気にされておりました。
矯正をおすすめしましたが希望されず、最小限の方法で虫歯と歯並びを治したいとのことでした。
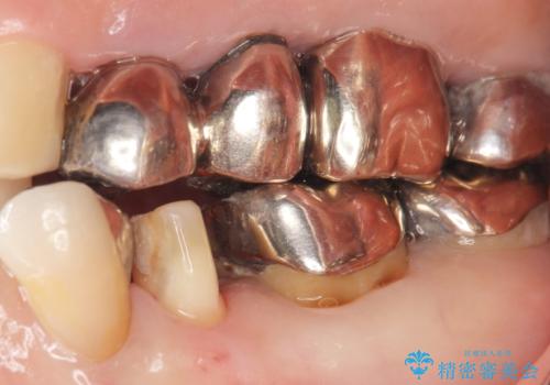
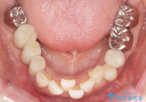
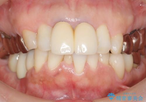
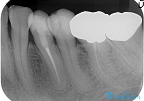
患者様のご希望により、セラミッククラウンにより可及的にう蝕除去後の補綴及び歯並びの改善を行いました。
- 費用(概算)
- ¥198,000 (土台×1本、仮歯・クラウン×2本) ※税込費用は治療当時の料金となります
治療について
セラミッククラウンの自然な仕上がりと咬み心地に大変ご満足頂けました。
歯がしみる症状もなくなり、外側に出ていた歯が気にならなくなったと喜んで下さいました。
クラウンの種類:オールセラミッククラウン エコノミー
セラミック治療の注意事項(リスク・副作用など)
- 天然歯を削ります
- 硬い素材は天然歯を傷つけてしまう場合があります
- かみ合わせや歯ぎしりが強すぎる方はセラミックが割れてしまう可能性があります
- 自費診療(保険適用外治療)となります
当サイトの内容、テキスト、画像等の無断転載、複製、複写、盗用を固く禁じます。

















