症例詳細
Case detail
奥歯の歯ぐきからウミが出る 抜歯してインプラントへ
治療症例の内容
- 担当医
- 井上季実子(ドクタープロフィール)
- 患者様
- 30代女性
- 治療期間
- 8ヶ月
- 治療回数
- 5-10回
- 治療計画
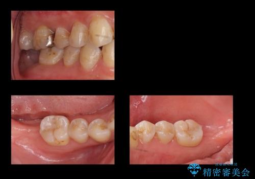
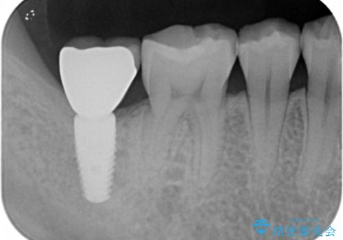
- 奥歯の歯ぐきからウミが出ている、抜歯が必要と他院で言われたとのことでした。
ただし、かかりつけではインプラント治療を行っていないため、病院を探したとのことでした。
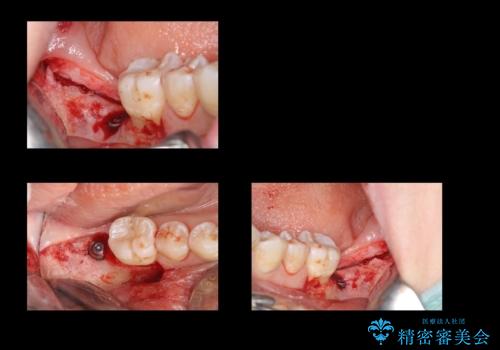
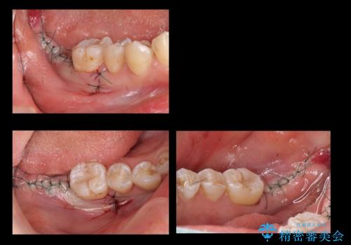
抜歯を行い、インプラントを入れていきました。
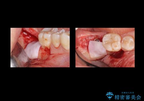
炎症で骨が少なかった場所には骨補填材を置いています。
- 費用(概算)
- 40.7万円費用は治療当時の料金となります
治療について
高さがないため、スクリューリテインのインプラントの上部構造にしています。
インプラント治療の注意事項(リスク・副作用など)
- 外科手術のため、術後に痛みや腫れ、違和感を伴います
- メンテナンスを怠ったり喫煙により、お口の中に大きな悪影響を及ぼすインプラント周囲炎等にかかる可能性があります
- 糖尿病、肝硬変、心臓病等の場合、インプラント治療ができない可能性があります
- 高血圧、貧血・不整脈等の場合、インプラント治療後に治癒不全を招く可能性があります
- 自費診療(保険適用外治療)となります
セラミック治療の注意事項(リスク・副作用など)
- 天然歯を削ります
- 硬い素材は天然歯を傷つけてしまう場合があります
- かみ合わせや歯ぎしりが強すぎる方はセラミックが割れてしまう可能性があります
- 自費診療(保険適用外治療)となります
当サイトの内容、テキスト、画像等の無断転載、複製、複写、盗用を固く禁じます。











