症例詳細
Case detail
光加速矯正装置(オルソパルス)を用いた短期間での矯正治療
治療症例の内容
- 診療科目
- 担当医
- 患者様
- 20代男性
- 矯正装置
- インビザラインFULL
- 治療期間
- 1年3ヶ月
- 治療回数
- 10-30回
- 治療計画
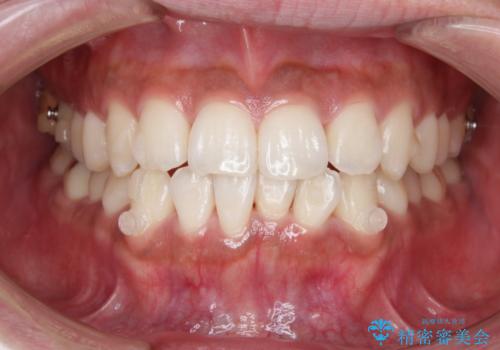
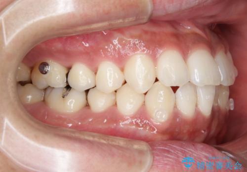
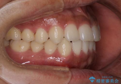
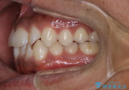
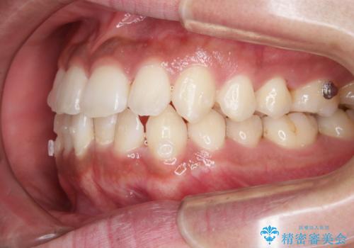
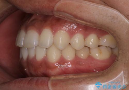
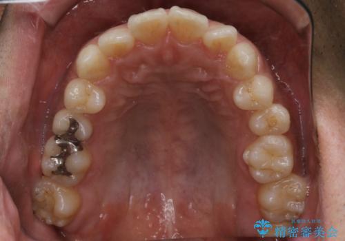
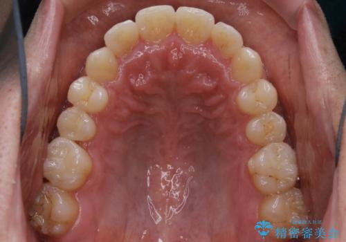
- 上下の前歯のがたつきが気になるとご相談にいらした方です。光加速矯正装置(オルソパルス)を用いて短期間で仕上げることが出来ました。
- 費用(概算)
- 100万円(税込み:インビザラインFULL・オルソパルス装置代含む)費用は治療当時の料金となります
治療について
一般的に噛む力が強い方は矯正治療に時間がかかると言われてます。光加速矯正装置(オルソパルス)を用いることで短期間で仕上げることができました。
マウスピース矯正の注意事項(リスク・副作用など)
- 口腔内・歯並びの状態によっては対応できない場合があります
- マウスピース型矯正装置の長時間装着(1日20時間以上)が必須です
- 治療計画通りに進めるためには、患者様の意志が重要になります
- 矯正治療後の保定が不十分だと後戻り(元の位置に戻ろうとする動き)をします
- 薬機法対象外の矯正歯科装置のため医薬品副作用被害救済制度の対象外となる場合があります
- 自費診療(保険適用外)となります
当サイトの内容、テキスト、画像等の無断転載、複製、複写、盗用を固く禁じます。



















