症例詳細
Case detail
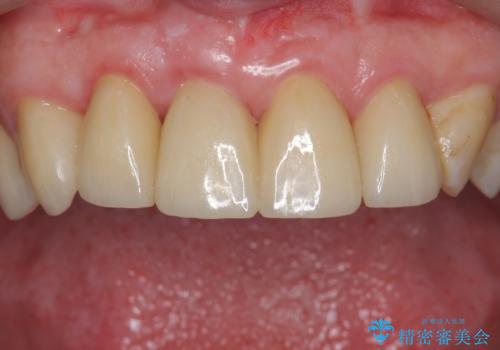
前歯の虫歯 つぎはぎの歯をセラミックに
治療症例の内容
- 患者様
- 20代女性
- 治療期間
- 1年
- 治療回数
- 5-10回
- 治療計画
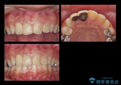
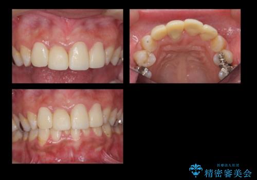
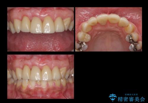
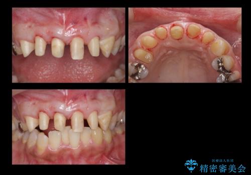
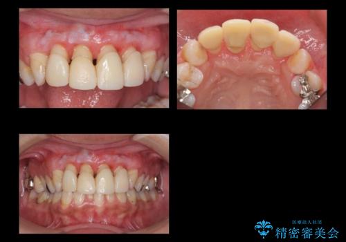
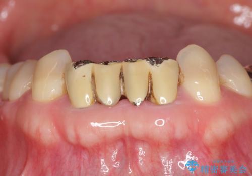
- 前歯の被せもののやり直しを希望して来院。
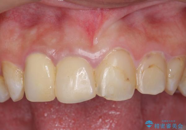
隣の歯もつぎはぎでプラスチックが劣化していたため、虫歯を取りセラミックでかぶせました。
保険治療の前歯の被せものの縁(マージン)が歯茎の中まで及んでいたため、歯周外科手術を行い、マージンが歯肉縁下深くならないように設定しました。
- 費用(概算)
- 63.8万円(右上4~左上2:emaxクラウン 7万円x6本、仮歯 1万円x6本、歯周外科手術 15万円、右上1:精密根管再治療 9万円およびファイバーコア2万円)費用は治療当時の料金となります
治療について
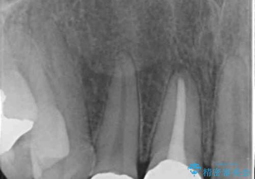
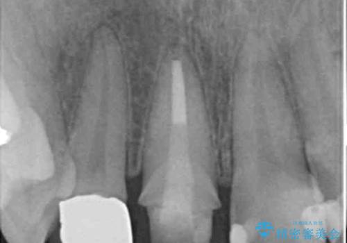
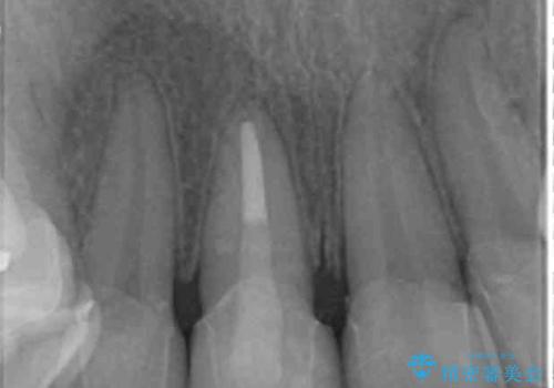
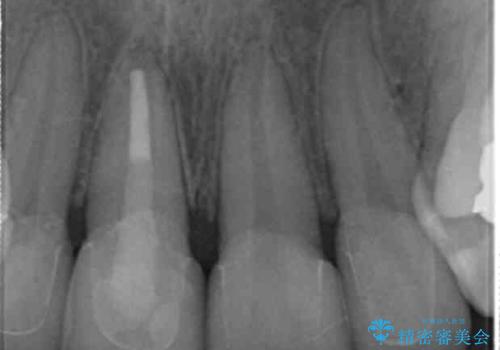
右上1番は、根の治療のやり直しをしています。
セラミック治療の注意事項(リスク・副作用など)
- 天然歯を削ります
- 硬い素材は天然歯を傷つけてしまう場合があります
- かみ合わせや歯ぎしりが強すぎる方はセラミックが割れてしまう可能性があります
- 自費診療(保険適用外治療)となります
歯周病治療の注意事項(リスク・副作用など)
- 外科手術のため、術後に痛みや腫れ、違和感を伴います
- 歯周組織再生治療は患者様の状態によって術後の経過が異なります(見た目が改善しない場合もあります)
- 歯周組織再生治療は自費診療(保険適用外)となります
当サイトの内容、テキスト、画像等の無断転載、複製、複写、盗用を固く禁じます。












