症例詳細
Case detail
ガタつきの改善 マウスピース矯正治療
治療症例の内容
- 診療科目
- 治療カテゴリ
- 担当医
- 大元洋佑(ドクタープロフィール)
- 患者様
- 10代女性
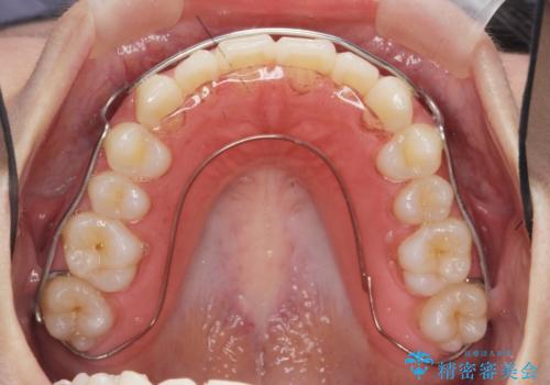
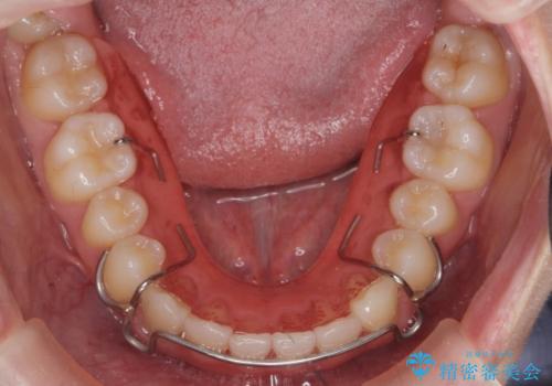
- 矯正装置
- インビザライン
- 治療期間
- 1年
- 治療回数
- 10-30回
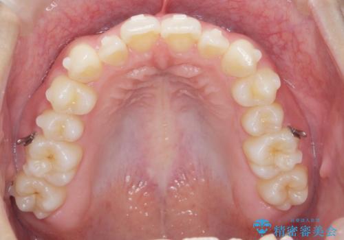
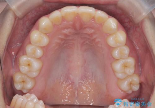
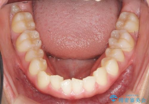
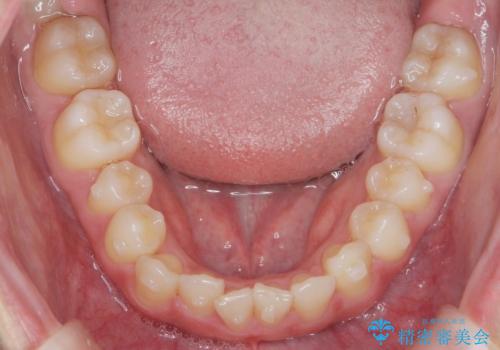
- 治療計画
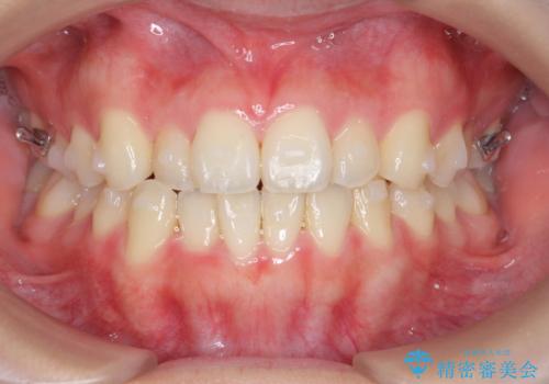
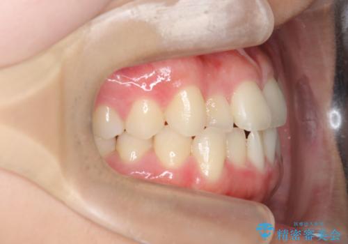
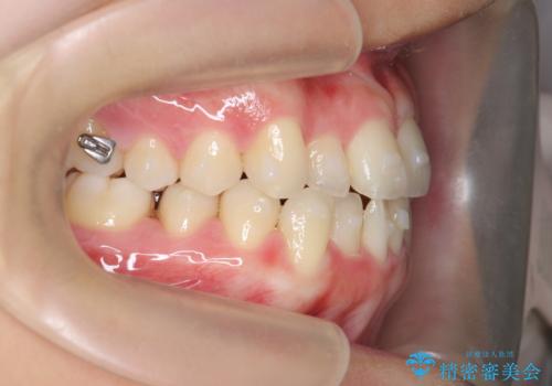
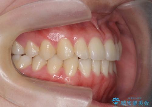
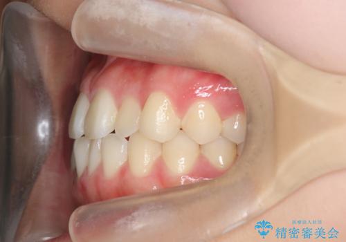
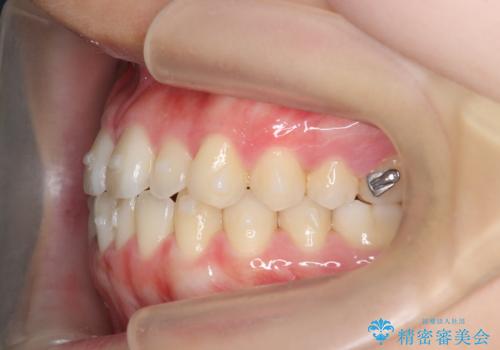
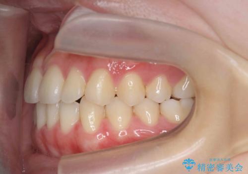
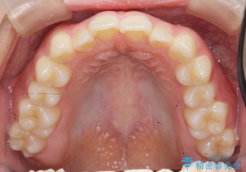
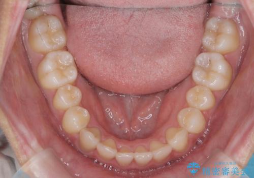
- 歯のがたつきの改善を求めて、矯正治療を希望され来院されました。
少量の歯のディスキング、歯列弓拡大、アタッチメントを装着することで審美的な歯列へとマウスピース矯正インビザラインを用いて治療を行います。
- 費用(概算)
- 77万円費用は治療当時の料金となります
治療について
マウスピース矯正は装着時間の遵守が非常に大切ですが、しっかりと20時間/日以上の装着を守っていただいたおかげで良好な治療結果を得ることができました。
マウスピース矯正の注意事項(リスク・副作用など)
- 口腔内・歯並びの状態によっては対応できない場合があります
- マウスピース型矯正装置の長時間装着(1日20時間以上)が必須です
- 治療計画通りに進めるためには、患者様の意志が重要になります
- 矯正治療後の保定が不十分だと後戻り(元の位置に戻ろうとする動き)をします
- 薬機法対象外の矯正歯科装置のため医薬品副作用被害救済制度の対象外となる場合があります
- 自費診療(保険適用外)となります
当サイトの内容、テキスト、画像等の無断転載、複製、複写、盗用を固く禁じます。

















