症例詳細
Case detail
噛み心地の良いゴールドインレー修復
治療症例の内容
- 診療科目
 
- 治療カテゴリ
 
- 担当医
 - 大元洋佑(ドクタープロフィール)
 
- 患者様
 - 40代女性
 
- 治療期間
 - 1ヶ月
 
- 治療回数
 - 2-5回
 
- 治療計画
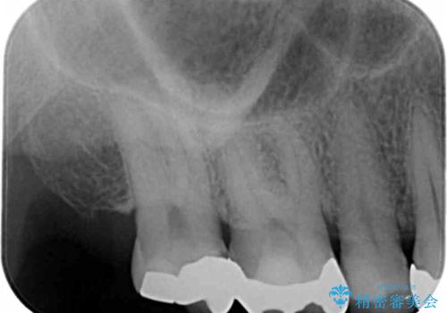
 - フロスをしたときにひっかかりのある銀歯の修復を希望され来院されました。
銀歯の下には虫歯の再発が見られましたが、丁寧に除去を行いゴールドインレーによる修復を行いました。 
- 費用(概算)
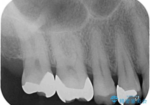
 - 13.2万円 ゴールドインレー×2費用は治療当時の料金となります
 
ゴールド修復について
ゴールドは色調がめだつものの上の奥歯はほとんど見えることがないため、色調の問題以上に咬合力が強い場合(ゴールドは破折リスクが低い)や複雑な修復を要する場合(ゴールドは複雑な加工も行いやすく、薄く加工することもできる)に選択をお勧めすることがあります。
今回、噛み合わせが強く、目立たない場所でもあったためゴールドによる修復を行いました。
PGA(ゴールド)クラウン、インレーの注意事項(リスク・副作用など)
- インレーおよびクラウンは脱離するリスクがあります
 - 形成量はセラミックより少ないですが、歯の形成、修復後に歯に症状が出ることがあります
 - 自費診療(保険適用外治療)となります
 
当サイトの内容、テキスト、画像等の無断転載、複製、複写、盗用を固く禁じます。

                      
                                                          


