症例詳細
Case detail
奥歯のインプラント
治療症例の内容
- 担当医
 - 井上季実子(ドクタープロフィール)
 
- 患者様
 - 20代女性
 
- 治療期間
 - 1年
 
- 治療回数
 - 5-10回
 
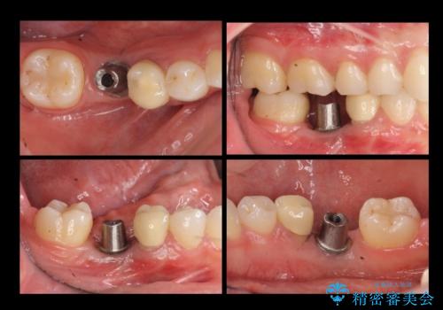
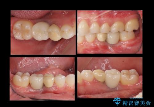
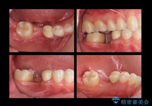
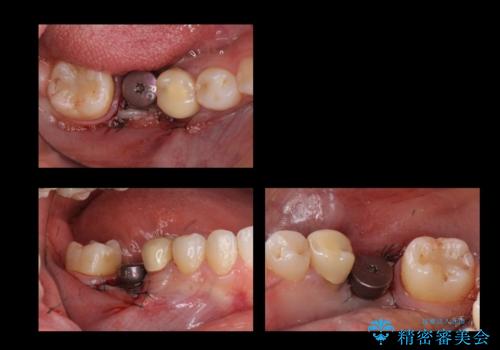
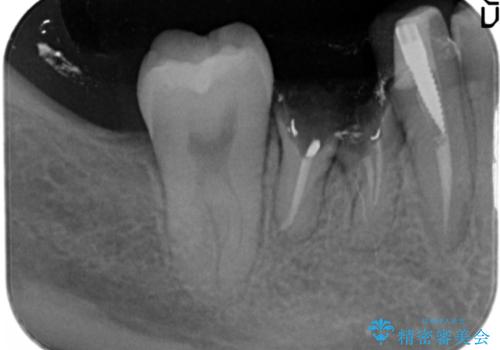
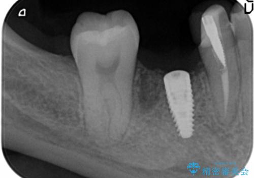
- 治療計画
 - 右下6番が保存不可能だったため、やむなく抜歯しました。
インプラント治療をご希望されたため、植立を行いました。
 
- 費用(概算)
 - 40.7万円費用は治療当時の料金となります
 
治療について
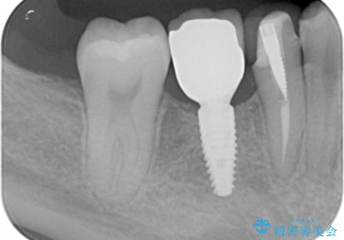
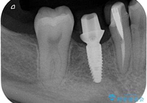
インプラントを入れる際、部分的に骨を増やす処置を行っています。
インプラント治療の注意事項(リスク・副作用など)
- 外科手術のため、術後に痛みや腫れ、違和感を伴います
 - メンテナンスを怠ったり喫煙により、お口の中に大きな悪影響を及ぼすインプラント周囲炎等にかかる可能性があります
 - 糖尿病、肝硬変、心臓病等の場合、インプラント治療ができない可能性があります
 - 高血圧、貧血・不整脈等の場合、インプラント治療後に治癒不全を招く可能性があります
 - 自費診療(保険適用外治療)となります
 
当サイトの内容、テキスト、画像等の無断転載、複製、複写、盗用を固く禁じます。

                      
                                                          











