症例詳細
Case detail
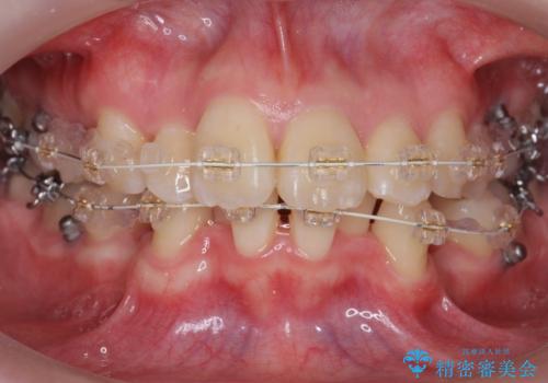
20代女性 前から5番目の歯を抜歯
治療症例の内容
- 診療科目
- 担当医
- 井上季実子(ドクタープロフィール)
- 患者様
- 20代女性
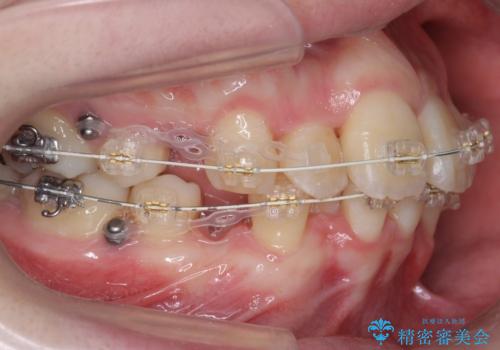
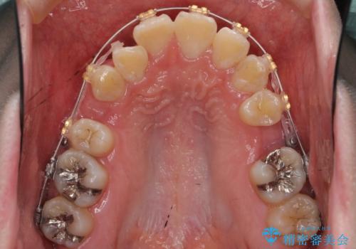
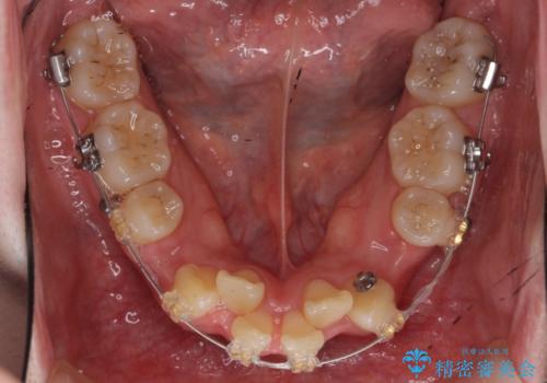
- 矯正装置
- ワイヤー矯正
- 治療期間
- 3年8ヶ月
- 治療回数
- 10-30回
- 治療計画
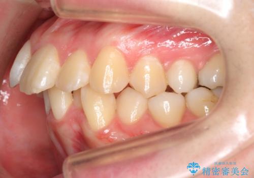
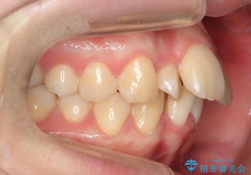
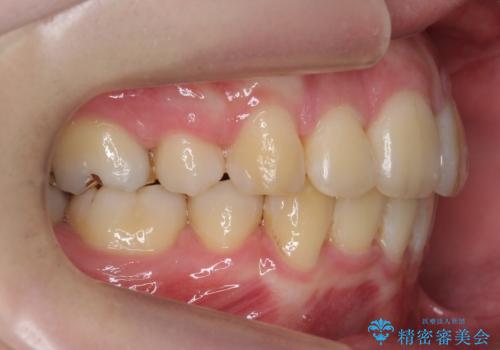
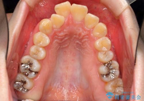
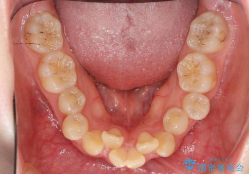
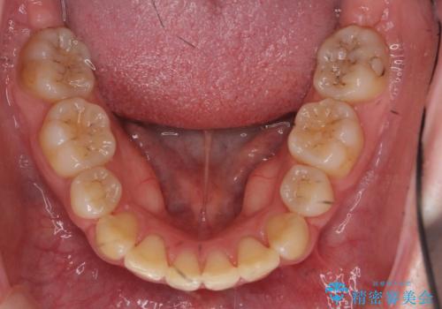
- 前歯のがたつき、前突を主訴に来院。
通常前から4番目の歯を抜歯するのですが、左上5番の形が矮小であったため、そちらを抜歯しました。(患者様の希望にそっています。)
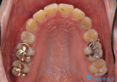
前から5番目の歯を抜くと、長くて1年ほど矯正期間が延長しますが、形に異常がない左上4番を抜かずに保存しています。
- 費用(概算)
- 110万円費用は治療当時の料金となります
治療について
治療は長くかかりましたが、正常な形の歯をのこすことができました。
ワイヤー矯正の注意事項(リスク・副作用など)
- 治療中は違和感や痛みが起こることがあります
- 症状により、抜歯が必要な場合があります
- 治療中は歯磨きがしにくくなるため、虫歯や歯周病になりやすくなります
- 矯正治療後の保定が不十分だと後戻り(元の位置に戻ろうとする動き)をします
- 自費診療(保険適用外)となります
当サイトの内容、テキスト、画像等の無断転載、複製、複写、盗用を固く禁じます。



















