症例詳細
Case detail
顕著な八重歯をインビザラインで治せるところまで改善
治療症例の内容
- 診療科目
- 担当医
- 藤巻太一朗(ドクタープロフィール)
- 患者様
- 30代女性
- 矯正装置
- インビザライン
- 治療期間
- 3年9ヶ月
- 治療回数
- 10-30回
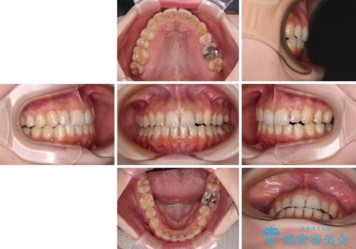
- 治療計画
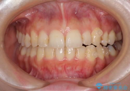
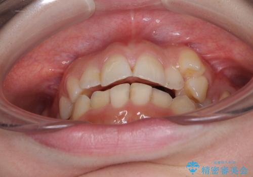
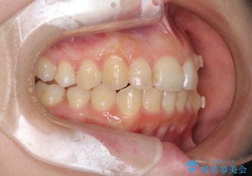
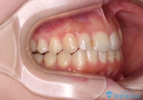
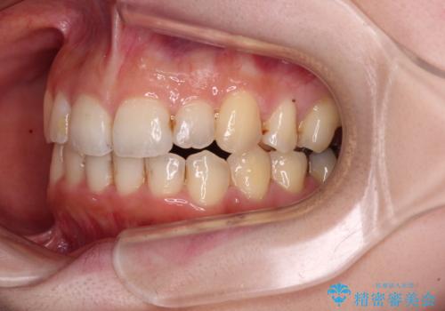
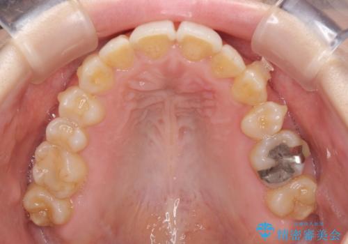
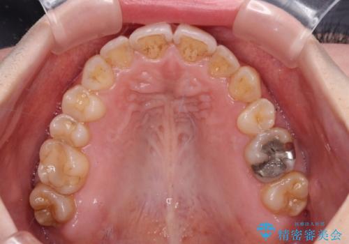
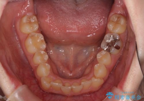
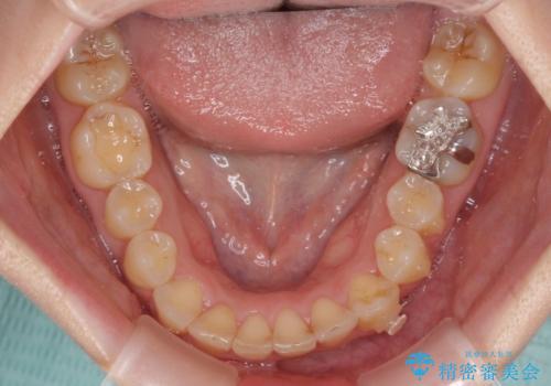
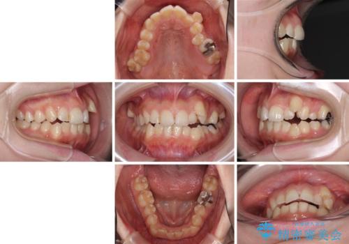
- 顕著な八重歯など、上下前歯のデコボコとスペースを気にして来院された患者様です。
八重歯改善には第一小臼歯の抜歯が必要であり、移動量が多いことから補助装置により八重歯を引き込むこととしました。
インビザラインでの治療をご希望であったので、インビザラインにて行うこととしましたが、右側前歯の改善にはワイヤー矯正が必要となる可能性があることをお伝えした上で治療を開始しました。
- 費用(概算)
- 治療費の目安: 100万円(税込)費用は治療当時の料金となります
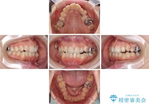
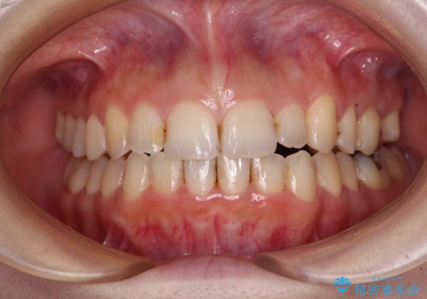
治療について
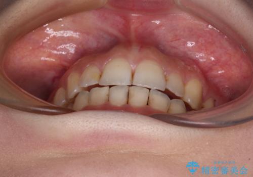
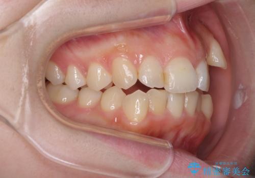
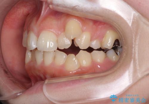
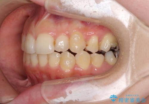
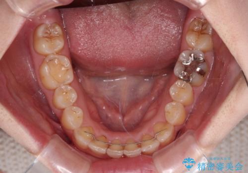
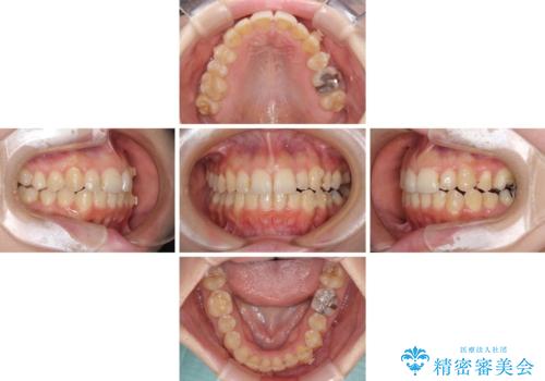
補助装置だけでなく、部分的にワイヤー矯正も使用しましたが、上下のスペースは改善しきれず、側切歯(前から2番目の歯)や顕著な八重歯は、インビザラインで治療するには限界があることがよく分かりました。
より良い仕上がりを希望される場合には、ワイヤー装置による矯正治療がお勧めとなります。
マウスピース矯正の注意事項(リスク・副作用など)
- 口腔内・歯並びの状態によっては対応できない場合があります
- マウスピース型矯正装置の長時間装着(1日20時間以上)が必須です
- 治療計画通りに進めるためには、患者様の意志が重要になります
- 矯正治療後の保定が不十分だと後戻り(元の位置に戻ろうとする動き)をします
- 薬機法対象外の矯正歯科装置のため医薬品副作用被害救済制度の対象外となる場合があります
- 自費診療(保険適用外)となります
当サイトの内容、テキスト、画像等の無断転載、複製、複写、盗用を固く禁じます。



























