症例詳細
Case detail
目立たないハーフリンガル矯正 抜歯矯正で口元を改善
治療症例の内容
- 診療科目
- 担当医
- 藤巻太一朗(ドクタープロフィール)
- 患者様
- 20代女性
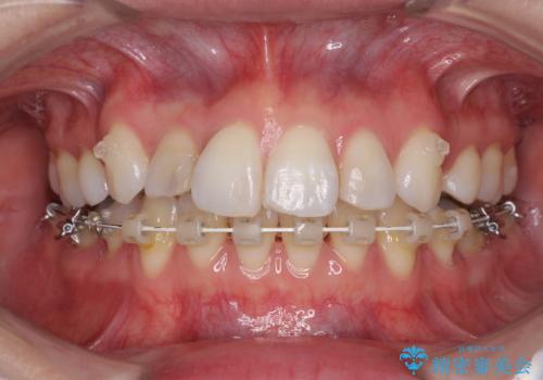
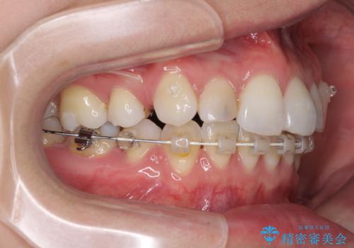
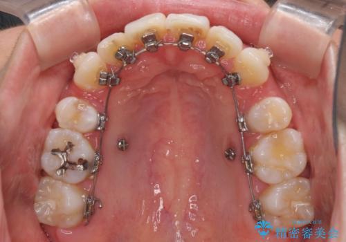
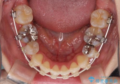
- 矯正装置
- ハーフリンガル
- 治療期間
- 4年5ヶ月
- 治療回数
- 10-30回
- 治療計画
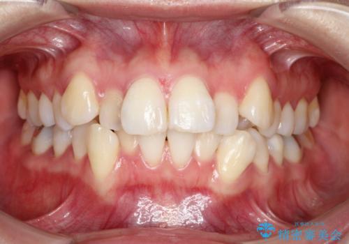
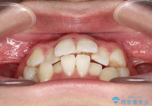
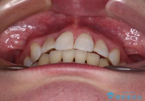
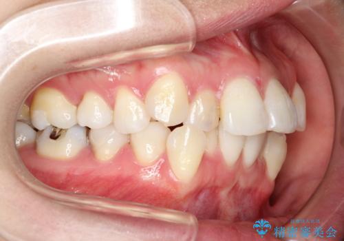
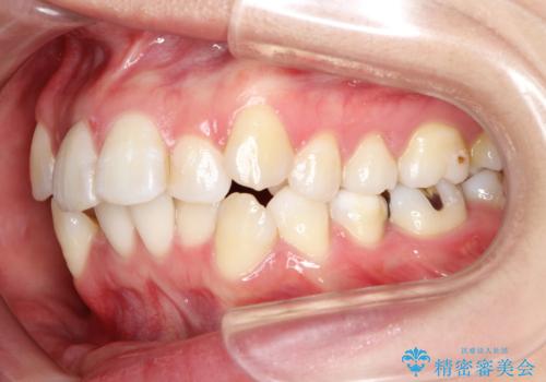
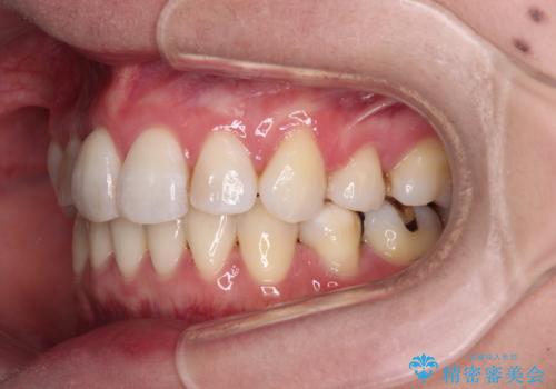
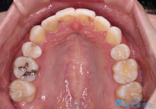
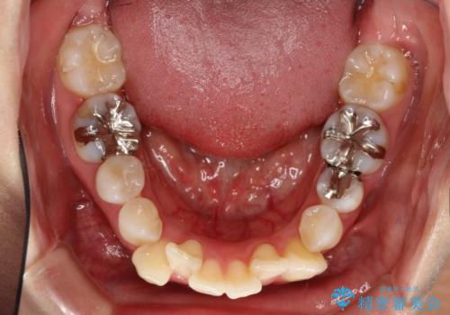
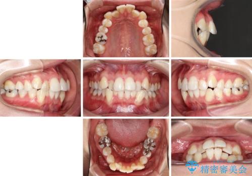
- 前歯のデコボコと上顎の前突感による口の閉じにくさを気にして来院された患者様です。
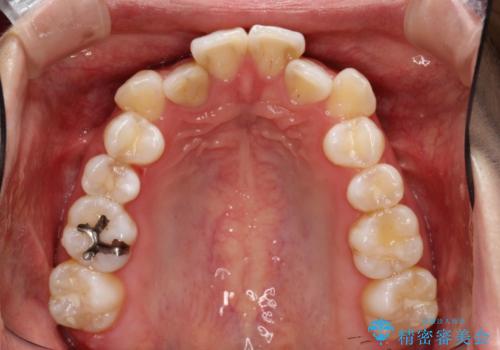
目立たない装置を希望されたので、上顎が裏側装置のハーフリンガルを選択し、上下左右の小臼歯(計4歯)を抜歯して矯正治療を行うこととしました。
- 費用(概算)
- 治療費の目安: 130万円(税込)費用は治療当時の料金となります
治療について
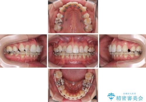
治療期間の目安は3年~3年半でしたが、咬み合わせにより上顎のスペースがなかかな閉じきらず、治療期間が長期化してしまいました。
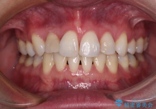
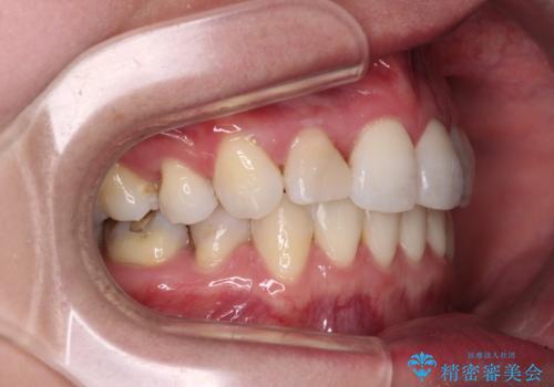
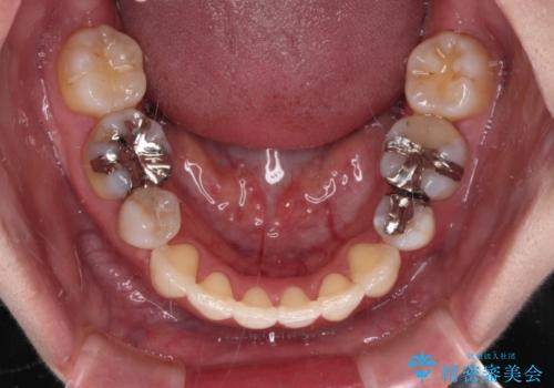
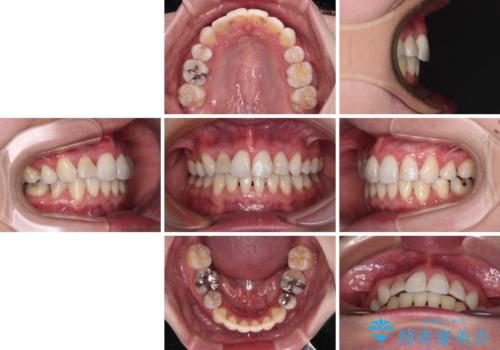
期間はかかったものの、口元の張り出し感や歯のデコボコが解消され、患者様には大変満足していただけました。
ワイヤー矯正の注意事項(リスク・副作用など)
- 治療中は違和感や痛みが起こることがあります
- 症状により、抜歯が必要な場合があります
- 治療中は歯磨きがしにくくなるため、虫歯や歯周病になりやすくなります
- 矯正治療後の保定が不十分だと後戻り(元の位置に戻ろうとする動き)をします
- 自費診療(保険適用外)となります
当サイトの内容、テキスト、画像等の無断転載、複製、複写、盗用を固く禁じます。


























