症例詳細
Case detail
痛む奥歯 目立つ銀色の奥歯をセラミックに セラミックブリッジ
治療症例の内容
- 診療科目
- 治療カテゴリ
- 担当医
- 藤巻太一朗(ドクタープロフィール)
- 患者様
- 20代女性
- 治療期間
- 3ヶ月
- 治療回数
- 2-5回
- 治療計画
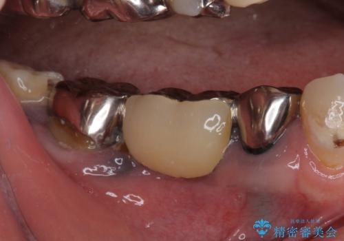
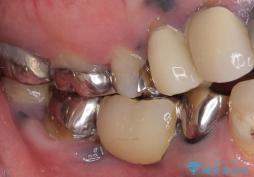
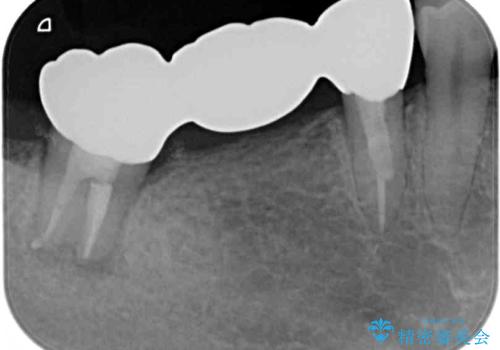
- 全顎的に銀歯が多く、その中でも目立って気になる奥歯のブリッジをセラミックに替えたいとのことで来院された患者様です。
上顎のブリッジを先に交換したものの、今度は下顎のブリッジ支台歯が食事もできないほど痛み出したとのことでした。
銀歯の適合が悪く、土台の歯に虫歯多く残っていたので、痛む歯の根管治療とファイバーコアによる土台植立を行い、フルジルコニア製ブリッジを装着することとしました。
- 費用(概算)
- 治療費の目安: 45万円(税込)費用は治療当時の料金となります
治療について
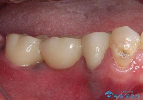
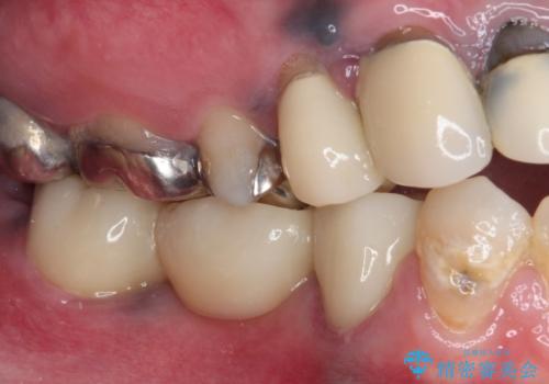
根管治療実施後は速やかに痛みが引き、仮歯で食事を取っても痛むことはなくなりました。
親知らずもむし歯が進行していたため、抜歯をし、傷の治りを待ってブリッジによる補綴治療を行いました。
セラミック治療の注意事項(リスク・副作用など)
- 天然歯を削ります
- 硬い素材は天然歯を傷つけてしまう場合があります
- かみ合わせや歯ぎしりが強すぎる方はセラミックが割れてしまう可能性があります
- 自費診療(保険適用外治療)となります
当サイトの内容、テキスト、画像等の無断転載、複製、複写、盗用を固く禁じます。








