症例詳細
Case detail
過剰歯を抜歯して前歯を排列 インビザライン・ファーストによる小学生のⅠ期治療
治療症例の内容
- 診療科目
- 担当医
- 藤巻太一朗(ドクタープロフィール)
- 患者様
- 10代女性(小学生)
- 矯正装置
- インビザライン・ファースト
- 治療期間
- 2年
- 治療回数
- 10-30回
- 治療計画
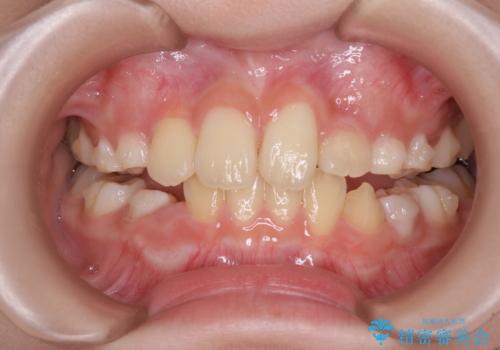
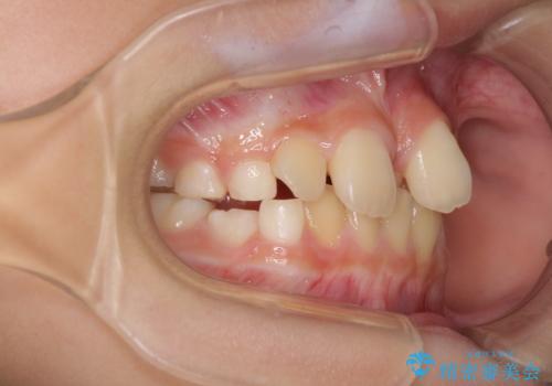
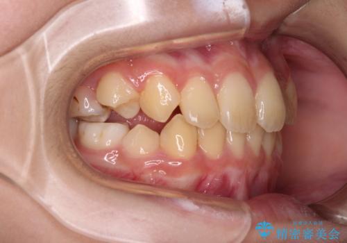
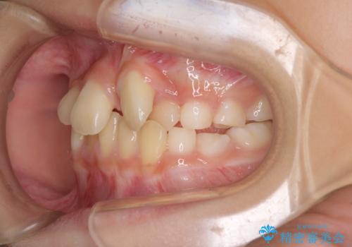
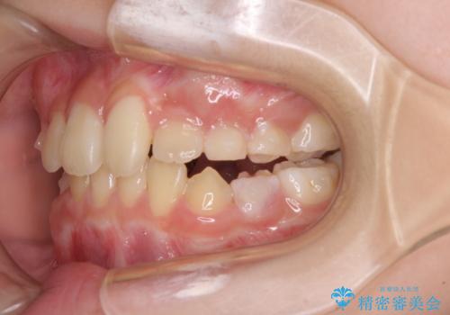
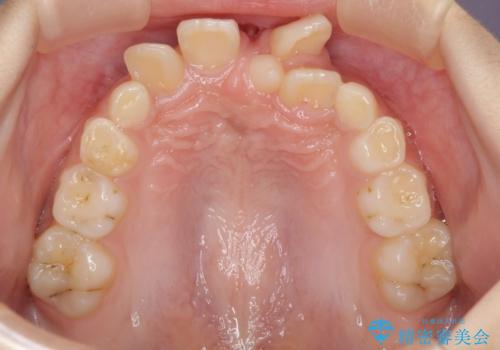
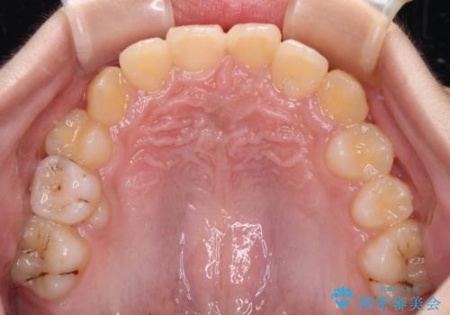
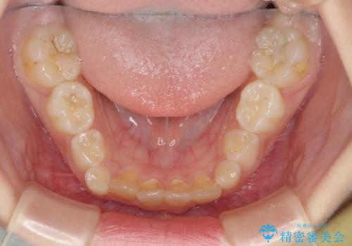
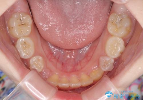
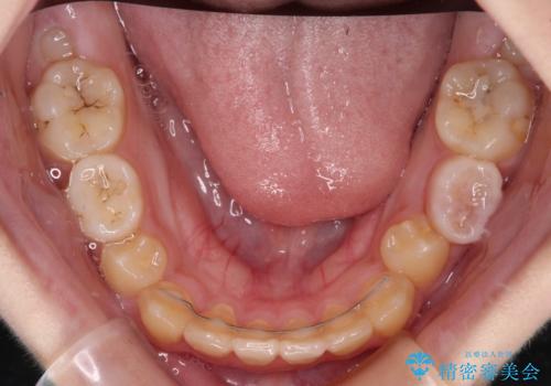
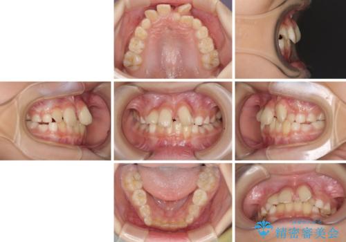
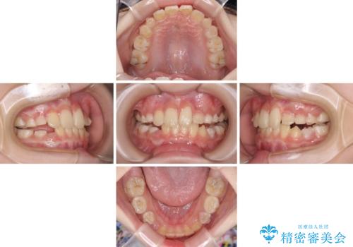
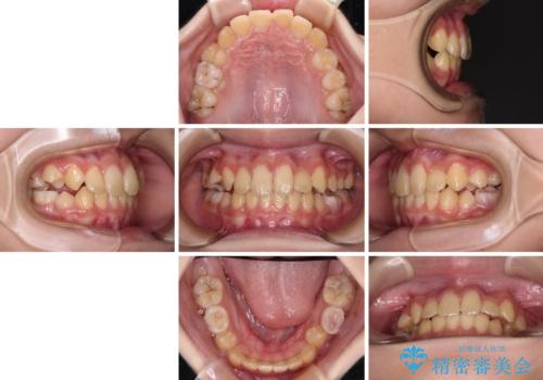
- 前歯の叢生を気にして来院された、小学校3年生女児の患者様です。
身長がやや低く、乳歯から永久歯への交換が少し遅い印象があったので、ワイヤー装置による1期矯正治療ではなく、乳歯も積極的に動かすことのできるインビザライン・ファーストにて治療を行うこととしました。
上顎前歯に過剰歯があったため、まずはその歯を抜歯し、傷が治癒したタイミングでインビザラインを発注することとしました。
インビザライン・ファーストは1.5年から2年程度の治療期間という制約がありますが、成人矯正(2期治療)をスムーズに行うための下準備期間として位置づけられており、2期治療を比較的安価かつ短期間で行うことができるようになります。
- 費用(概算)
- 治療費の目安: 50万円(税込)費用は治療当時の料金となります
治療について
入れ歯のような装置やワイヤー装置ではないので、応急処置による来院などがほとんどなく、習い事が多いお子さんや共働きのご家庭でも、比較的受け入れやすい治療プランとなっております。
マウスピース矯正の注意事項(リスク・副作用など)
- 口腔内・歯並びの状態によっては対応できない場合があります
- マウスピース型矯正装置の長時間装着(1日20時間以上)が必須です
- 治療計画通りに進めるためには、患者様の意志が重要になります
- 矯正治療後の保定が不十分だと後戻り(元の位置に戻ろうとする動き)をします
- 薬機法対象外の矯正歯科装置のため医薬品副作用被害救済制度の対象外となる場合があります
- 自費診療(保険適用外)となります
当サイトの内容、テキスト、画像等の無断転載、複製、複写、盗用を固く禁じます。



























