症例詳細
Case detail
奥歯のむし歯をゴールドインレーで修復
治療症例の内容
- 診療科目
- 治療カテゴリ
- 担当医
- 藤巻太一朗(ドクタープロフィール)
- 患者様
- 30代女性
- 治療期間
- 1ヶ月
- 治療回数
- 2-5回
- 治療計画
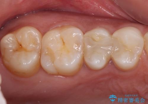
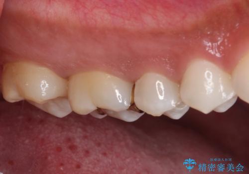
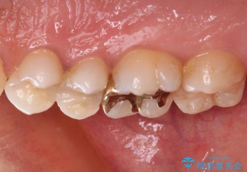
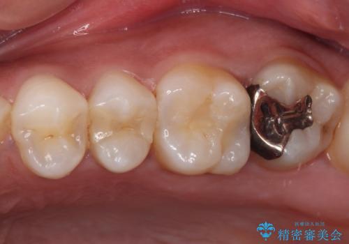
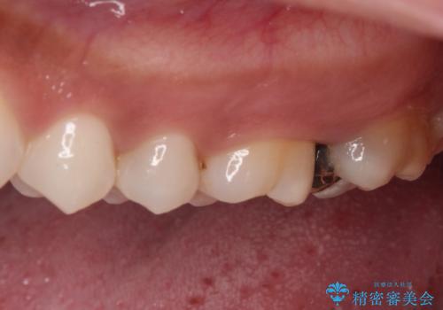
- 奥歯にフロスが引っかかるようになり、虫歯ではないかとのことで来院された患者様です。
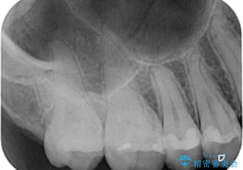
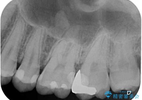
レントゲン写真より、左右奥歯にむし歯があることが分かりました。
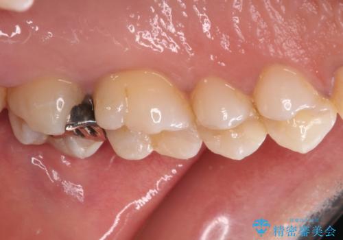
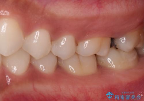
奥で目立たないことから、虫歯の再発リスクが最も低く、咬合力による歯への負担も少ないゴールドインレー(PGAインレー、白金加金インレー)にて修復治療をすることとしました。
- 費用(概算)
- 治療費の目安: 14万円(税込)費用は治療当時の料金となります
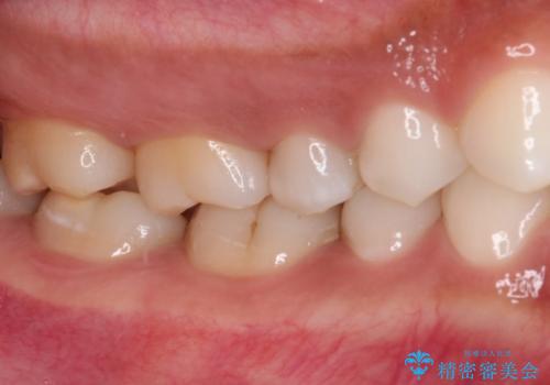
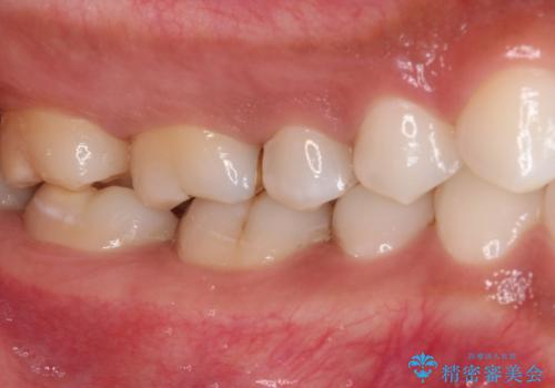
治療について
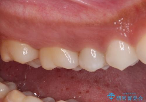
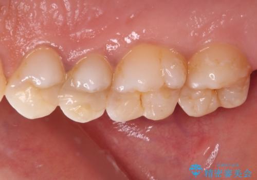
ゴールドインレーは銀歯のインレーやセラミックインレーと比べ、「技工操作の精度が高く、適合が著しく良い」というメリットがあります。特に上の奥歯は歯科医師の操作が行いにくいため、「適合の良さ」は再治療のリスクを防ぐ上でとても重要な要素となります。
上の奥歯は金属色が見えることもないため、審美的な問題は全くありません。
咬み心地はとても良好で、全く違和感がなく、患者様には大変満足していただきました。
PGA(ゴールド)クラウン、インレーの注意事項(リスク・副作用など)
- インレーおよびクラウンは脱離するリスクがあります
- 形成量はセラミックより少ないですが、歯の形成、修復後に歯に症状が出ることがあります
- 自費診療(保険適用外治療)となります
当サイトの内容、テキスト、画像等の無断転載、複製、複写、盗用を固く禁じます。




















