症例詳細
Case detail
気になる八重歯を改善 補助装置併用のインビザライン治療
治療症例の内容
- 診療科目
- 治療カテゴリ
- 担当医
- 藤巻太一朗(ドクタープロフィール)
- 患者様
- 20代女性
- 矯正装置
- インビザライン
- 治療期間
- 3年8ヶ月
- 治療回数
- 10-30回
- 治療計画
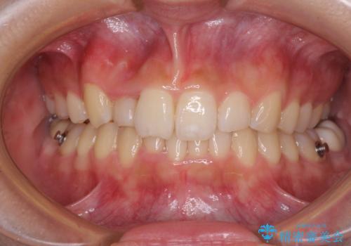
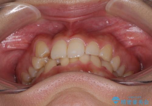
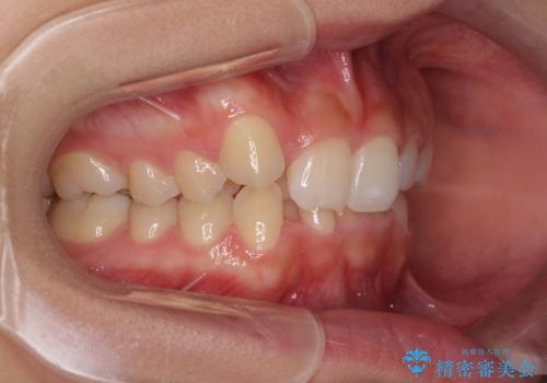
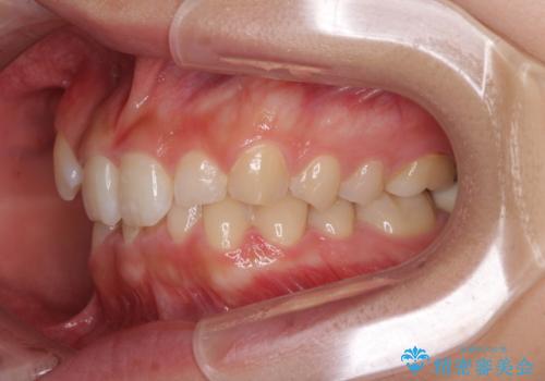
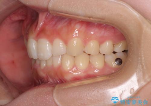
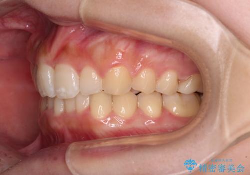
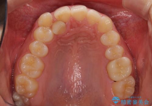
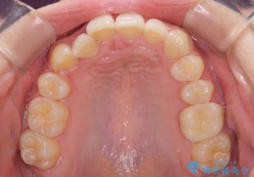
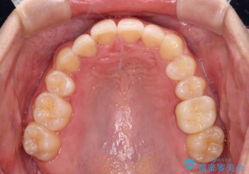
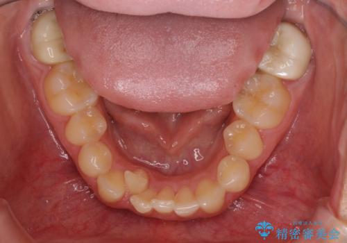
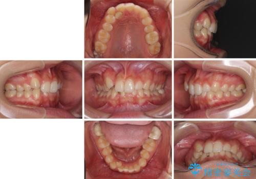
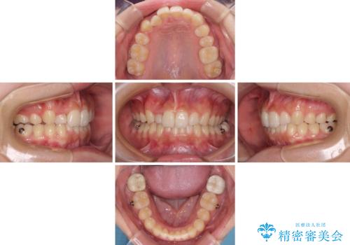
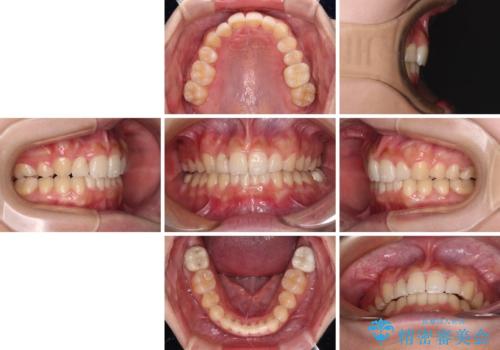
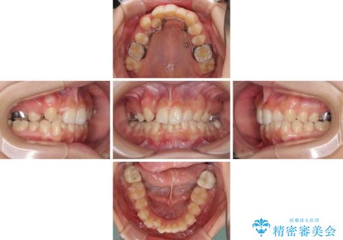
- 上顎の重なっている前歯を気にして来院された患者様です。
八重歯改善には抜歯が必要で、八重歯の移動量が多く、更には右側にずれている正中を改善する必要がありました。
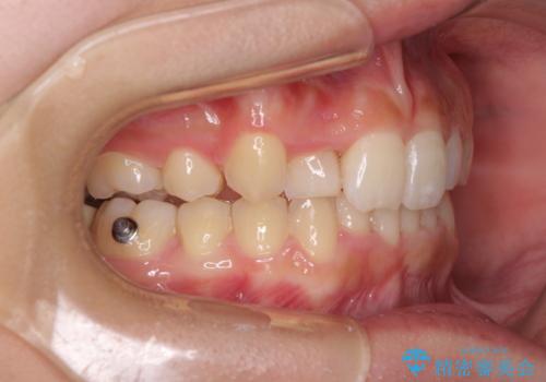
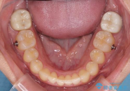
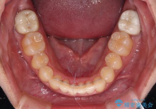
インビザライン単体での治療は困難と判断し、補助装置により八重歯移動後にインビザラインを用いることとしました。
- 費用(概算)
- 治療費の目安: 95万円(税込)費用は治療当時の料金となります
治療について
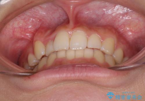
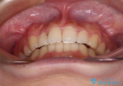
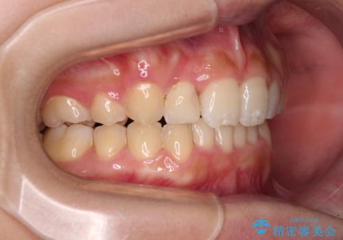
インビザラインでは治療期間が延びることが予想されたため、ワイヤー矯正を提案しましたが、セラミッククラウンが多く、壊すあるいは傷が付く可能性があることから、長期間であってもインビザラインを選択されました。
マウスピース矯正の注意事項(リスク・副作用など)
- 口腔内・歯並びの状態によっては対応できない場合があります
- マウスピース型矯正装置の長時間装着(1日20時間以上)が必須です
- 治療計画通りに進めるためには、患者様の意志が重要になります
- 矯正治療後の保定が不十分だと後戻り(元の位置に戻ろうとする動き)をします
- 薬機法対象外の矯正歯科装置のため医薬品副作用被害救済制度の対象外となる場合があります
- 自費診療(保険適用外)となります
当サイトの内容、テキスト、画像等の無断転載、複製、複写、盗用を固く禁じます。




























