症例詳細
Case detail
補助装置を使ったインビザラインによる抜歯矯正
治療症例の内容
- 診療科目
- 担当医
- 藤巻太一朗(ドクタープロフィール)
- 患者様
- 20代女性
- 矯正装置
- インビザライン
- 治療期間
- 2年3ヶ月
- 治療回数
- 10-30回
- 治療計画
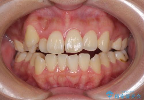
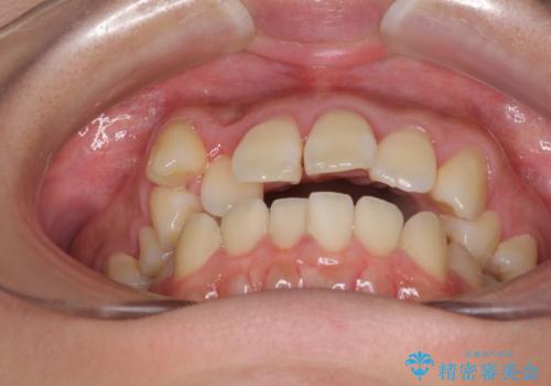
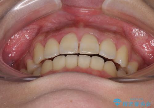
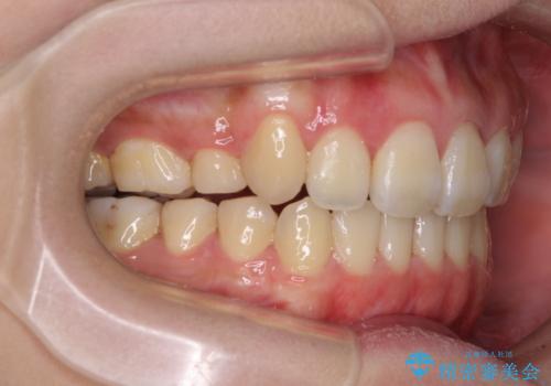
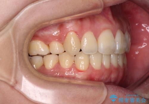
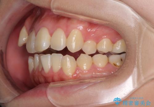
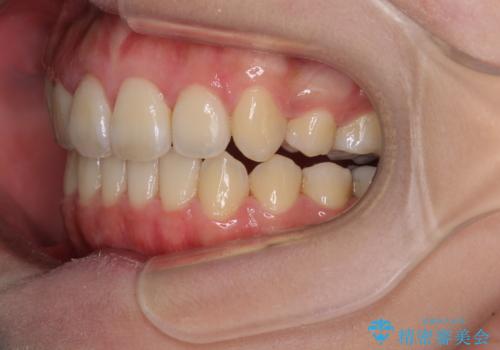
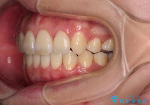
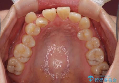
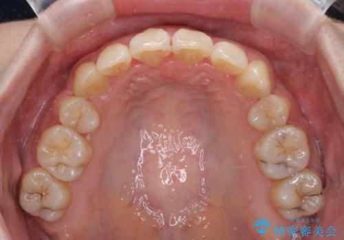
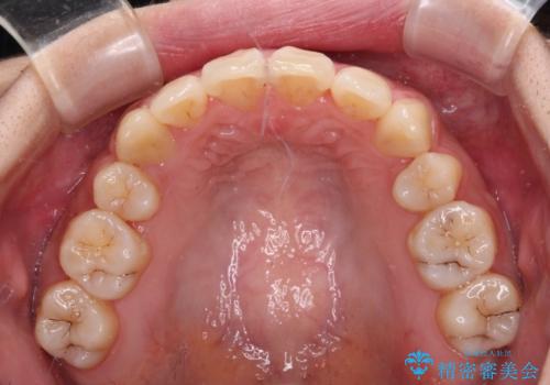
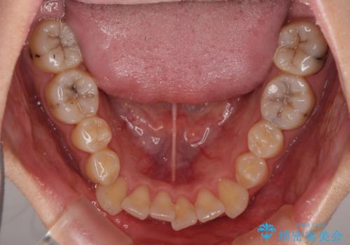
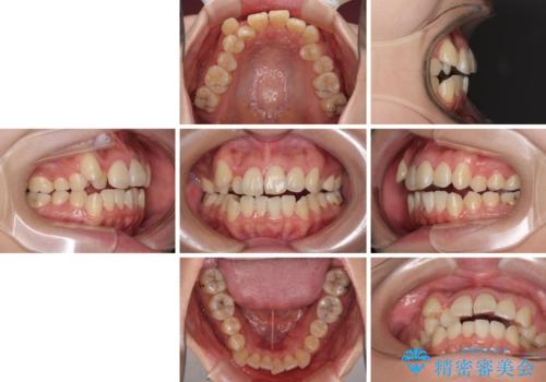
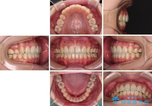
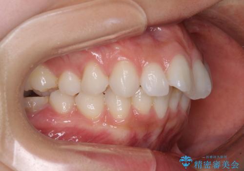
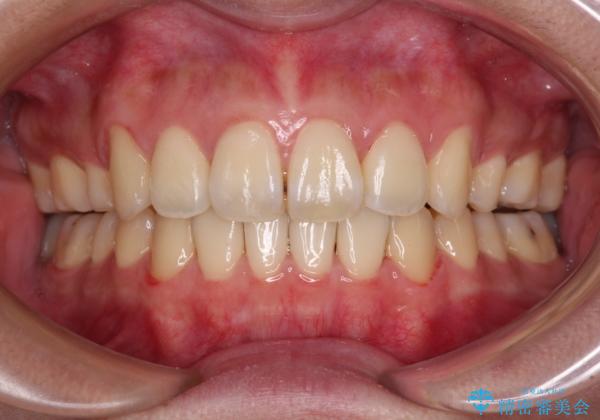
- 八重歯と叢生を気にして来院された患者様です。
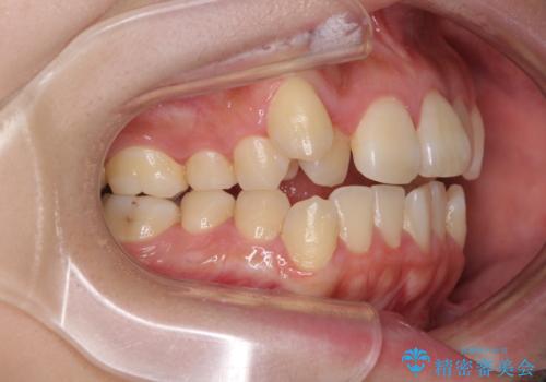
上下の前歯が非接触であり、叢生や八重歯が顕著であったため、上顎左右第一小臼歯2本を抜歯して排列することとしました。
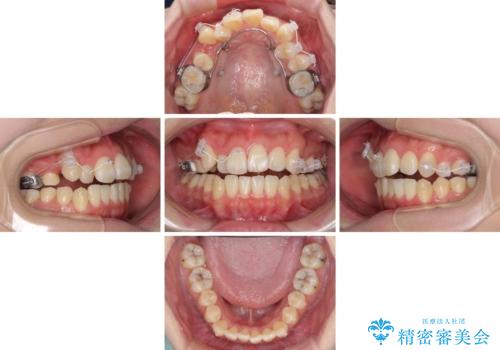
抜歯により移動量が多くなるため、ワイヤーや補助装置を活用し、その後インビザラインによる矯正治療を行うこととしました。
- 費用(概算)
- 治療費の目安: 100万円(税込)費用は治療当時の料金となります
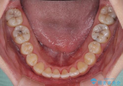
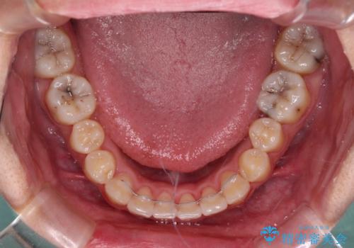
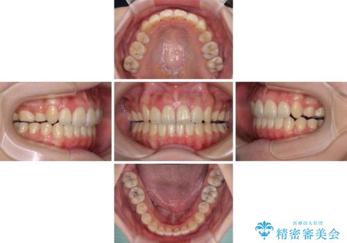
治療について
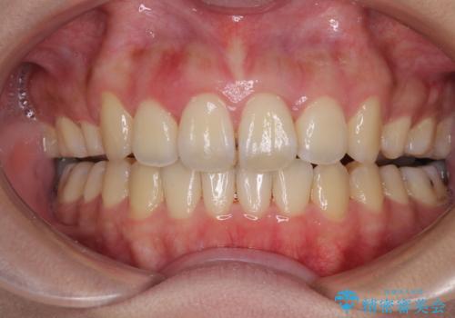
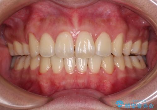
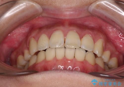
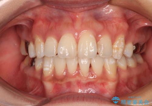
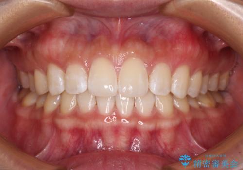
元々奥歯に負担のかかる咬み合わせですり減っていたため、仕上がった歯並びでも奥歯が咬んでいないように見えましたが、実際にはしっかりと咬合しており、患者様本人も咬んだ感触に違和感はないとのことでした。
マウスピース矯正の注意事項(リスク・副作用など)
- 口腔内・歯並びの状態によっては対応できない場合があります
- マウスピース型矯正装置の長時間装着(1日20時間以上)が必須です
- 治療計画通りに進めるためには、患者様の意志が重要になります
- 矯正治療後の保定が不十分だと後戻り(元の位置に戻ろうとする動き)をします
- 薬機法対象外の矯正歯科装置のため医薬品副作用被害救済制度の対象外となる場合があります
- 自費診療(保険適用外)となります
当サイトの内容、テキスト、画像等の無断転載、複製、複写、盗用を固く禁じます。




























