症例詳細
Case detail
骨が薄く他院でインプラントできないと言われた 50代女性
治療症例の内容
- 患者様
- 50代女性
- 治療期間
- 1年
- 治療回数
- 5-10回
- 治療計画
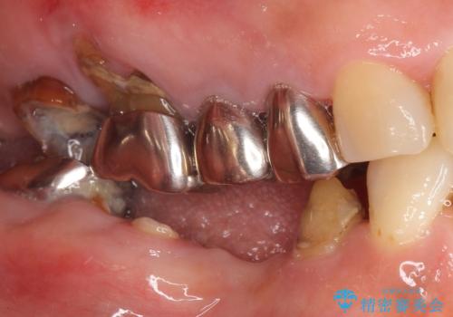
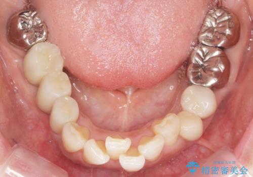
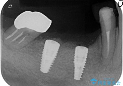
- 奥歯のインプラントをご希望され、来院された患者様です。
骨が薄いため、他院ではインプラントできないと言われたとの事でした。
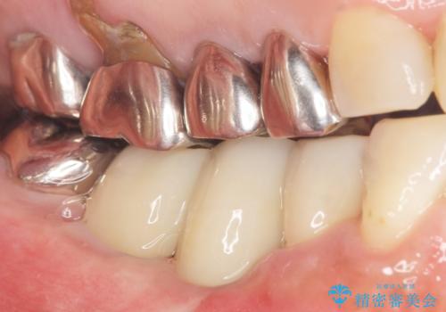
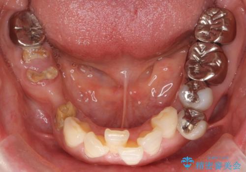
精査したところ、右下4の根尖病変及び右下5の欠損を認め、右下6は残根となり保存不可能な状態でした。
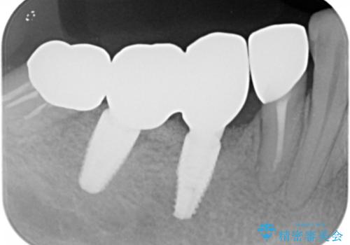
保存不可能な歯を抜去後、インプラント治療と根管治療を行いました。
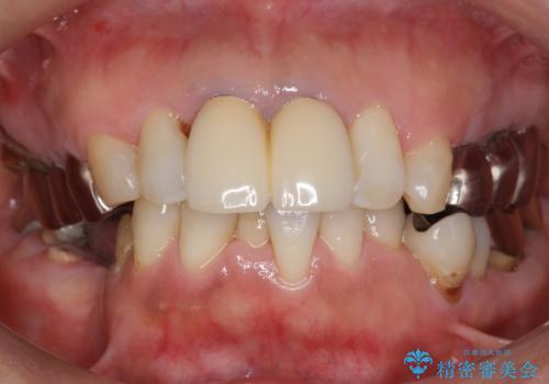
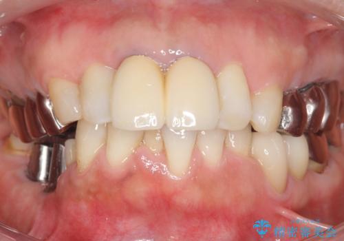
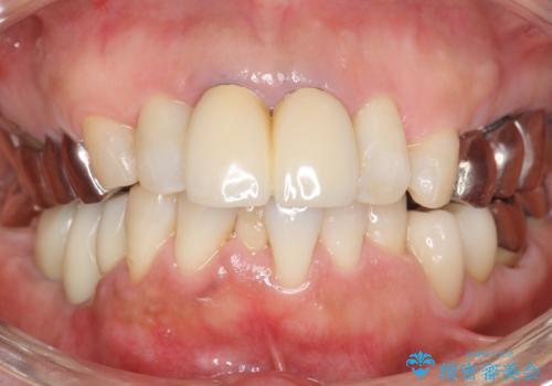
他にも予後不良な歯があり治療を提案しましたが、ご予算もありご希望されませんでした。
インプラントへの悪影響に関しても説明し、了承頂いた上で治療を行いました。
- 費用(概算)
- ¥1,177,000 (根管治療、土台、骨増生、インプラント・アバットメント×2本、仮歯・クラウン×3本) ※税込費用は治療当時の料金となります
治療について
奥歯でしっかり咬むことができるようになり、大変喜んで頂けました。
クラウンの種類:オールセラミッククラウン ベレッツァ
インプラント治療の注意事項(リスク・副作用など)
- 外科手術のため、術後に痛みや腫れ、違和感を伴います
- メンテナンスを怠ったり喫煙により、お口の中に大きな悪影響を及ぼすインプラント周囲炎等にかかる可能性があります
- 糖尿病、肝硬変、心臓病等の場合、インプラント治療ができない可能性があります
- 高血圧、貧血・不整脈等の場合、インプラント治療後に治癒不全を招く可能性があります
- 自費診療(保険適用外治療)となります
セラミック治療の注意事項(リスク・副作用など)
- 天然歯を削ります
- 硬い素材は天然歯を傷つけてしまう場合があります
- かみ合わせや歯ぎしりが強すぎる方はセラミックが割れてしまう可能性があります
- 自費診療(保険適用外治療)となります
当サイトの内容、テキスト、画像等の無断転載、複製、複写、盗用を固く禁じます。





























