症例詳細
Case detail
奥歯の隙間を治したい 矯正は嫌 30代女性
治療症例の内容
- 診療科目
- 担当医
- 患者様
- 30代女性
- 治療期間
- 2ヶ月
- 治療回数
- 2-5回
- 治療計画
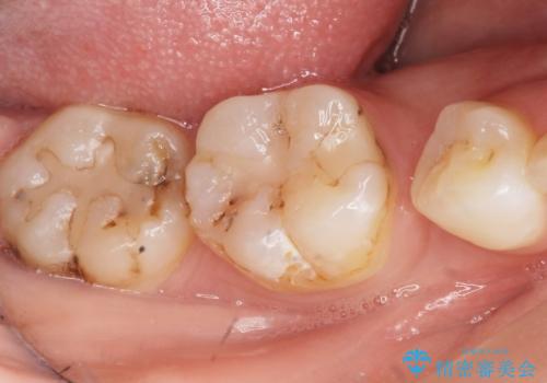
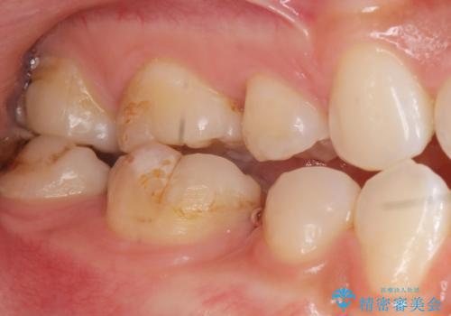
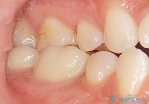
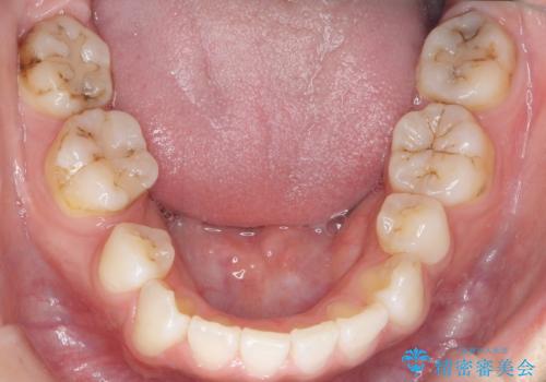
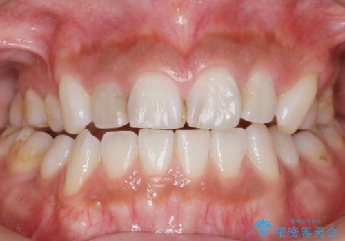
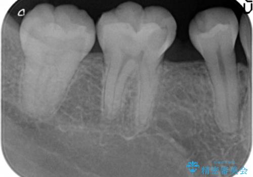
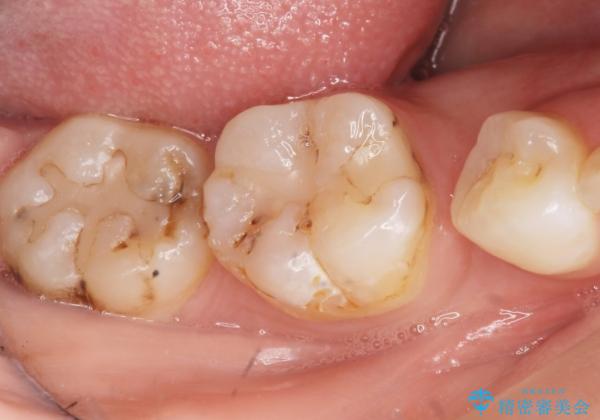
- 奥歯の隙間を治したいとご希望された患者様です。
学生時代に舌側矯正されていたものの、通院が大変になり治療を途中でやめてしまい、奥歯の間に隙間が残ってしまったそうです。
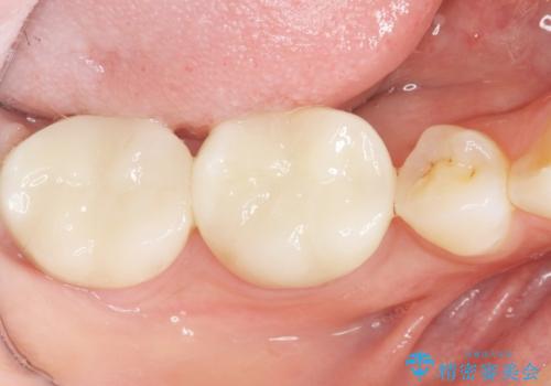
矯正せずに早く治したいという強いご希望とう蝕があることから、セラミッククラウンによる補綴治療で隙間を閉じることにしました。
- 費用(概算)
- ¥242,000 (仮歯・クラウン×2本) ※税込費用は治療当時の料金となります
治療について
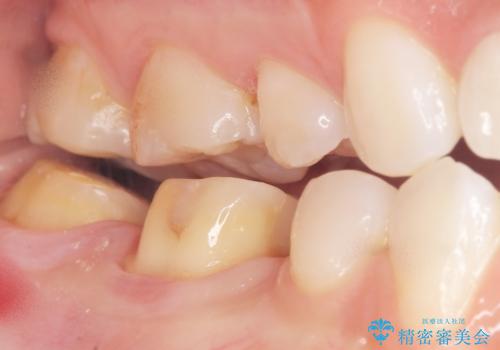
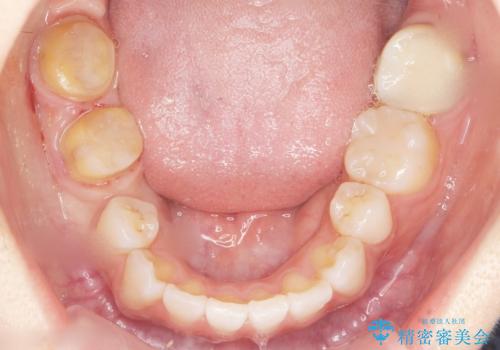
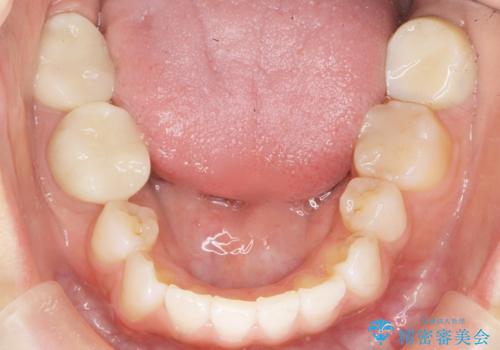
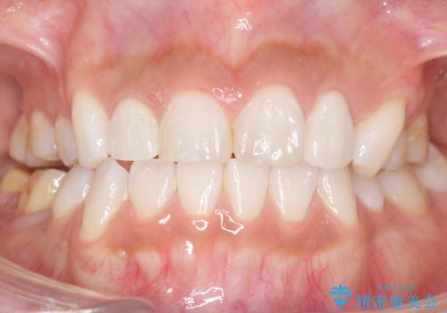
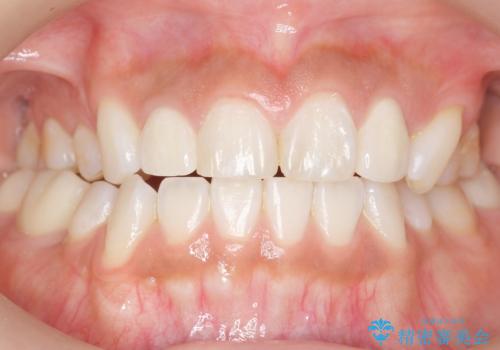
矯正せずに隙間を閉じることができ、ご満足頂けました。
セラミッククラウンの審美的な仕上がりと咬み心地に喜んで下さいました。
クラウンの種類:オールセラミッククラウン スタンダード
セラミック治療の注意事項(リスク・副作用など)
- 天然歯を削ります
- 硬い素材は天然歯を傷つけてしまう場合があります
- かみ合わせや歯ぎしりが強すぎる方はセラミックが割れてしまう可能性があります
- 自費診療(保険適用外治療)となります
当サイトの内容、テキスト、画像等の無断転載、複製、複写、盗用を固く禁じます。

















