症例詳細
Case detail
矯正が終了するタイミングでクリーニング(PMTC)
治療症例の内容
- 診療科目
- 治療カテゴリ
- 患者様
- 40代男性
- 治療期間
- 1日
- 治療回数
- 1回
- 治療計画
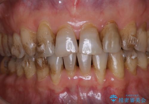
- 矯正終了のタイミングでクリーニングをしたいとのことで来院されました。
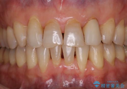
PMTC60分コースを行いました。アタッチメント(歯の面の白い突起)も外しました。
- 費用(概算)
- ¥11,000費用は治療当時の料金となります
治療について
PMTC60分コースを行いました。その際に、インビザラインの矯正中付けていたアタッチメント(歯の面の白い突起)も外しました。
いつもマウスピースを装着したままコーヒーをたくさん飲んでいるそう。(着色や虫歯のリスクを説明した上でのご自身の判断)アタッチメントを付けると歯垢も着色も付きやすくなるため、定期的にクリーニングをおすすめします。
マウスピースを装着のままですと、ここまで汚れが付いてくるため、お水にするか、マウスピースを外して飲むかをした方が良いと思います。
担当歯科衛生士
表参道しらゆり歯科 DH富田
PMTCの注意事項(リスク・副作用など)
- 歯を白くする目的の施術ではありません
- 保険適用外となります
当サイトの内容、テキスト、画像等の無断転載、複製、複写、盗用を固く禁じます。




