症例詳細
Case detail
歯磨きすると痛い 不適合なクラウンのやりかえ 70代女性
治療症例の内容
- 診療科目
- 治療カテゴリ
- 担当医
- 患者様
- 70代女性
- 治療期間
- 1ヶ月
- 治療回数
- 2-5回
- 治療計画
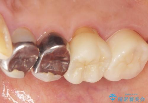
- 奥歯に歯ブラシをあてると痛みがあることを主訴に来院された患者様です。
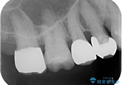
精査したところ、右上奥の銀歯(右上7)は適合不良により二次う蝕になっていました。
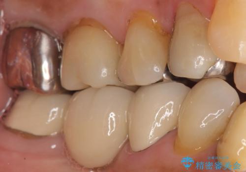
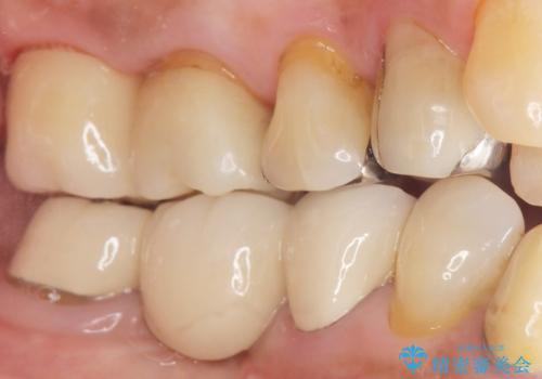
銀歯を外してう蝕を丁寧に除去したのち、オールセラミッククラウンによる補綴治療を行いました。
- 費用(概算)
- ¥121,000 (仮歯、クラウン) ※税込費用は治療当時の料金となります
治療について
銀歯を外した後う蝕を丁寧に除去し、適合の良い仮歯に変えたところ、歯ブラシをあてた時の痛みがなくなったとのことでした。
オールセラミッククラウンの審美的な仕上がりと自然な咬み心地に喜んで頂けました。
「ほかの金属も外してセラミックに変えていきたい」とおっしゃって下さいました。
クラウンの種類:オールセラミッククラウン スタンダード
セラミック治療の注意事項(リスク・副作用など)
- 天然歯を削ります
- 硬い素材は天然歯を傷つけてしまう場合があります
- かみ合わせや歯ぎしりが強すぎる方はセラミックが割れてしまう可能性があります
- 自費診療(保険適用外治療)となります
当サイトの内容、テキスト、画像等の無断転載、複製、複写、盗用を固く禁じます。











