症例詳細
Case detail
しっかり使って短期間で治療 インビザラインによる叢生解消
治療症例の内容
- 診療科目
- 治療カテゴリ
- 担当医
- 藤巻太一朗(ドクタープロフィール)
- 患者様
- 10代男性(高校生)
- 矯正装置
- インビザライン
- 治療期間
- 9ヶ月
- 治療回数
- 5-10回
- 治療計画
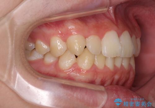
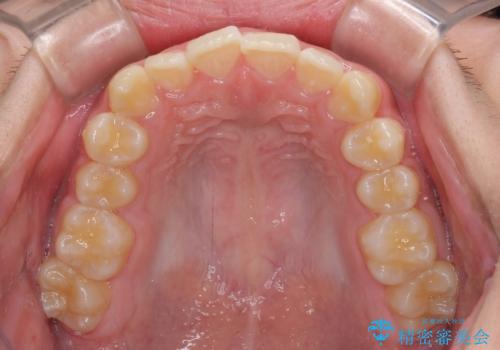
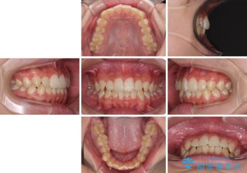
- 上下前歯のデコボコを気にして来院された患者様です。
高校2年生の後半であったため、受験も近く、大学に入学してからでも良いのではと提案しました。
本人の「しっかりと装着する」という強い意志があったため、来院の負担を少なく受験までに終えられるよう、インビザラインにて矯正治療を行うこととしました。
- 費用(概算)
- 治療費の目安: 85万円(税込)費用は治療当時の料金となります
治療について
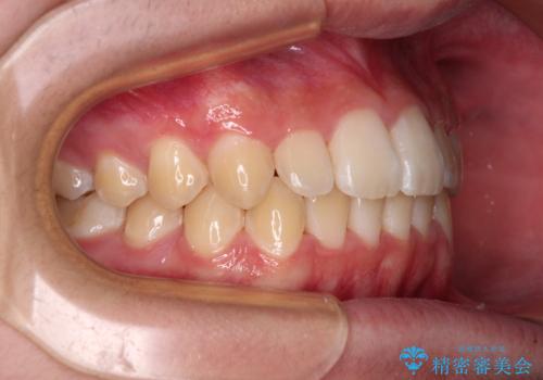
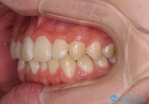
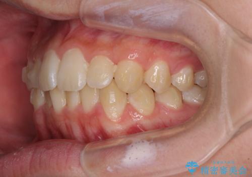
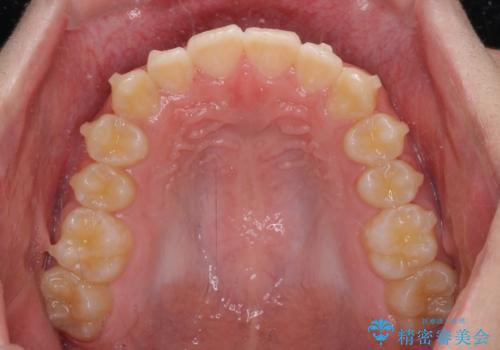
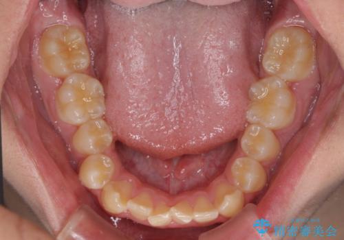
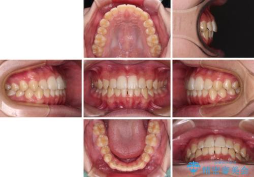
「しっかりと装着する」が実行でき、高校3年生の秋には治療を終えることができました。
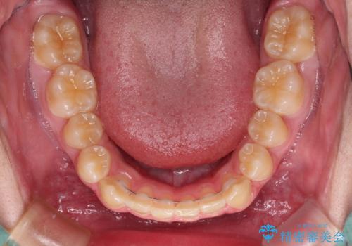
入試時期に入ると、後戻り防止のリテーナー装着が疎かになる可能性があったり、リテーナーが壊れてしまった場合すぐに来院できなかったりというリスクがあったため、下顎前歯の舌側をワイヤーで固定することとしました。
マウスピース矯正の注意事項(リスク・副作用など)
- 口腔内・歯並びの状態によっては対応できない場合があります
- マウスピース型矯正装置の長時間装着(1日20時間以上)が必須です
- 治療計画通りに進めるためには、患者様の意志が重要になります
- 矯正治療後の保定が不十分だと後戻り(元の位置に戻ろうとする動き)をします
- 薬機法対象外の矯正歯科装置のため医薬品副作用被害救済制度の対象外となる場合があります
- 自費診療(保険適用外)となります
当サイトの内容、テキスト、画像等の無断転載、複製、複写、盗用を固く禁じます。


























