症例詳細
Case detail
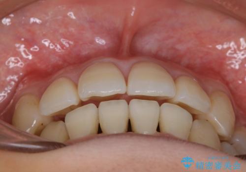
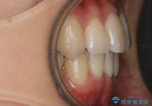
八重歯がスッキリ 抜歯ワイヤー矯正
治療症例の内容
- 診療科目
- 治療カテゴリ
- 担当医
- 今村大二郎(ドクタープロフィール)
- 患者様
- 20代 女性
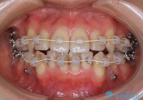
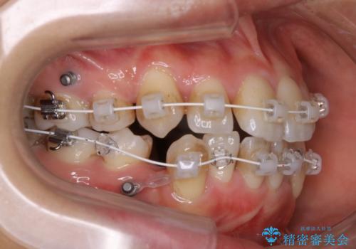
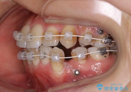
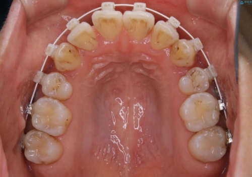
- 矯正装置
- ワイヤー(審美装置)
- 治療期間
- 1年6ヶ月
- 治療回数
- 10-30回
- 治療計画
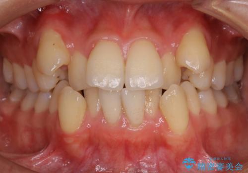
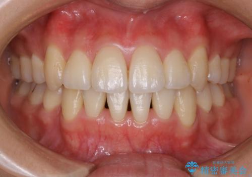
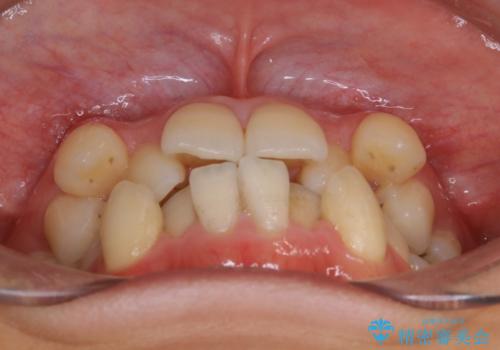
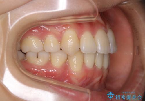
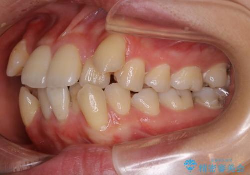
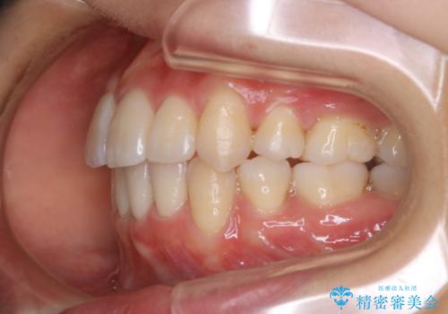
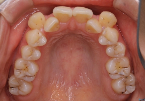
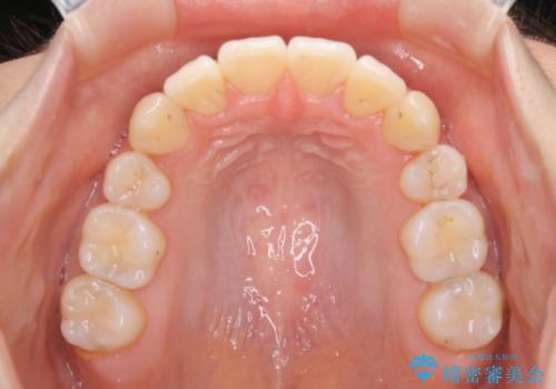
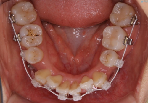
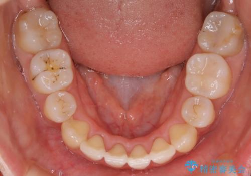
- 以前からコンプレックスだった八重歯の治療を主訴にご来院されました。
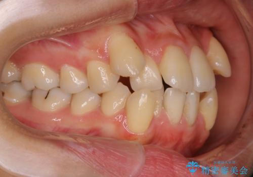
検査の結果、抜歯をすることでスペースを作って並べる方法が選択され、ワイヤー装置を用いた治療を開始することとなりました。
奥歯の上下のズレ等は軽度で、必要なスペースと抜歯により作られるスペースがほぼ等量だったため治療の単純化が計れ、大きな移動・見た目の劇的な変化に対して比較的早期での治療完了となりました。
- 費用(概算)
- 審美装置/93万円(税込み) マイクロインプラント4本/8.8万円(税込み)費用は治療当時の料金となります
治療について
叢生の度合いが重く、抜歯が必要なケース。八重歯の部分以外には大きな問題は認められなかったため、劇的変化が起こる治療でも比較的短期間で終了することができました。
ワイヤー矯正の注意事項(リスク・副作用など)
- 治療中は違和感や痛みが起こることがあります
- 症状により、抜歯が必要な場合があります
- 治療中は歯磨きがしにくくなるため、虫歯や歯周病になりやすくなります
- 矯正治療後の保定が不十分だと後戻り(元の位置に戻ろうとする動き)をします
- 自費診療(保険適用外)となります
当サイトの内容、テキスト、画像等の無断転載、複製、複写、盗用を固く禁じます。





















