症例詳細
Case detail
3年間仮歯 前歯セラミックブリッジ
治療症例の内容
- 診療科目
- 治療カテゴリ
- 担当医
- 河野裕二(ドクタープロフィール)
- 患者様
- 30代女性
- 治療期間
- 5ヶ月
- 治療回数
- 2-5回
- 治療計画
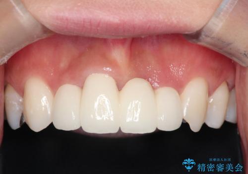
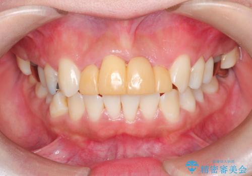
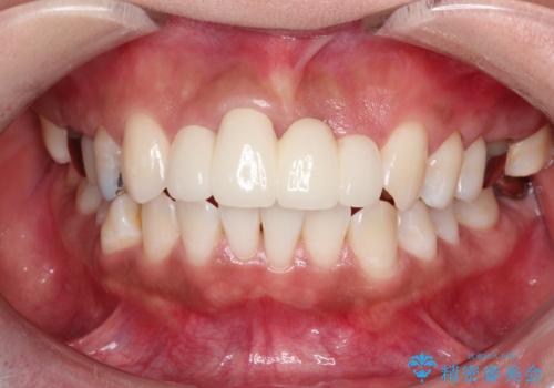
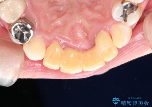
- 3年間仮歯のまま過ごしていたそうです。 色の変色と臭いが気になり来院されました。
仮歯に変えた時点で臭いや色などが改善され、気に入っていただけました。
- 費用(概算)
- 61万6千円 (根管10万x1本 コア1万x1本 仮歯1万x4本 セラミック(スタンダード)10万x4本)費用は治療当時の料金となります
治療について
被せ物はなるべく白くしたいとの事で、ホワイトニングも行い綺麗に仕上がり、患者様は大変満足されました。
セラミック治療の注意事項(リスク・副作用など)
- 天然歯を削ります
- 硬い素材は天然歯を傷つけてしまう場合があります
- かみ合わせや歯ぎしりが強すぎる方はセラミックが割れてしまう可能性があります
- 自費診療(保険適用外治療)となります
当サイトの内容、テキスト、画像等の無断転載、複製、複写、盗用を固く禁じます。








