症例詳細
Case detail
全体的な虫歯治療
治療症例の内容
- 担当医
- 井上季実子(ドクタープロフィール)
- 患者様
- 30代女性
- 治療期間
- 1年2ヶ月
- 治療回数
- 5-10回
- 治療計画
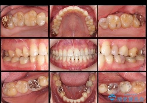
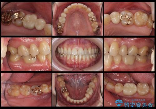
- 他院で矯正治療終了後、健診をご希望されました。
神経の治療や詰め物のやり直しなど、全体的な治療を行っています。
- 費用(概算)
- 120万円費用は治療当時の料金となります
治療について
左下6番、左上4番は失活していたため、根管治療を行っています。
右上7・左上6:PGAインレー
右上8:PGAクラウン
左上4・左下6・右上56:ジルコニアクラウン
左上7・左下7:emaxインレー
での治療を行っています。
根管治療はDr.大元が行っています。
PGA(ゴールド)クラウン、インレーの注意事項(リスク・副作用など)
- インレーおよびクラウンは脱離するリスクがあります
- 形成量はセラミックより少ないですが、歯の形成、修復後に歯に症状が出ることがあります
- 自費診療(保険適用外治療)となります
セラミック治療の注意事項(リスク・副作用など)
- 天然歯を削ります
- 硬い素材は天然歯を傷つけてしまう場合があります
- かみ合わせや歯ぎしりが強すぎる方はセラミックが割れてしまう可能性があります
- 自費診療(保険適用外治療)となります
当サイトの内容、テキスト、画像等の無断転載、複製、複写、盗用を固く禁じます。






