症例詳細
Case detail
詰め物の下が虫歯 つぎはぎの歯をしっかり治療
治療症例の内容
- 診療科目
- 治療カテゴリ
- 担当医
- 井上季実子(ドクタープロフィール)
- 患者様
- 30代女性
- 治療期間
- 2ヶ月
- 治療回数
- 2-5回
- 治療計画
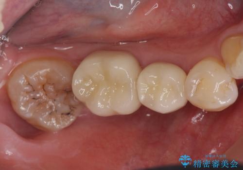
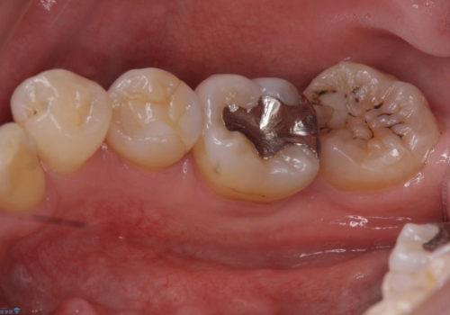
- 虫歯治療で来院。
詰め物の下が虫歯になっていました。
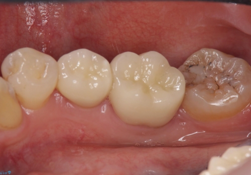
虫歯をしっかりとった後、セラミックで修復しました。
- 費用(概算)
- 24.2万円 ジルコニアクラウン、仮歯費用は治療当時の料金となります
治療について
詰め物の下の虫歯は特に奥歯は大きかったのですが、神経を取らずに済みました。
セラミック治療の注意事項(リスク・副作用など)
- 天然歯を削ります
- 硬い素材は天然歯を傷つけてしまう場合があります
- かみ合わせや歯ぎしりが強すぎる方はセラミックが割れてしまう可能性があります
- 自費診療(保険適用外治療)となります
当サイトの内容、テキスト、画像等の無断転載、複製、複写、盗用を固く禁じます。








