症例詳細
Case detail
非抜歯でも劇的変化 インビザライン矯正治療
治療症例の内容
- 担当医
- 今村大二郎(ドクタープロフィール)
- 患者様
- 20代女性
- 矯正装置
- マウスピース(インビザライン)
- 治療期間
- 2年
- 治療回数
- 10-30回
- 治療計画
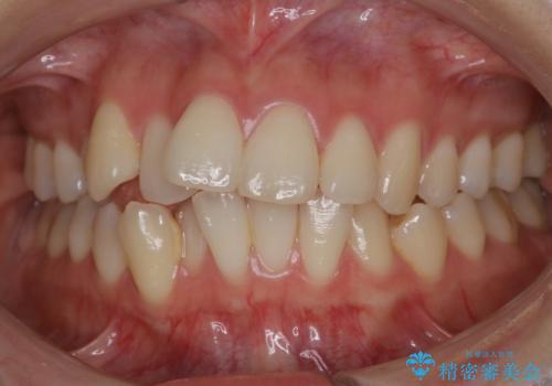
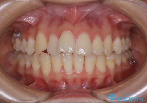
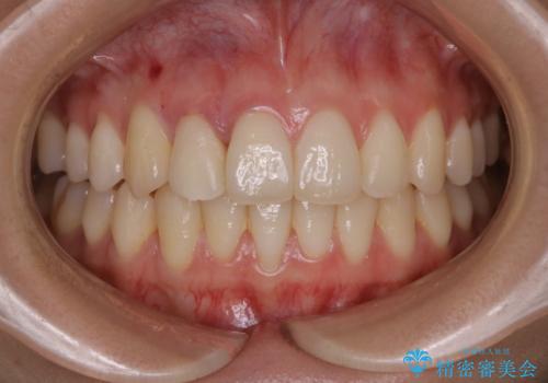
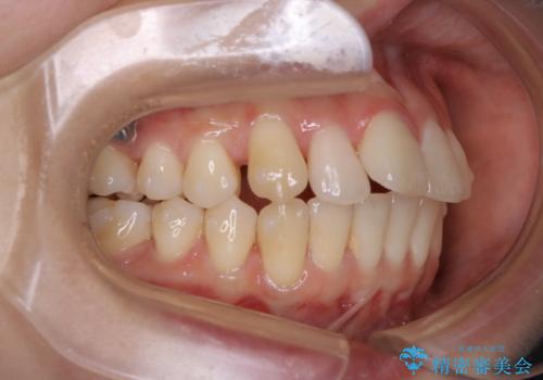
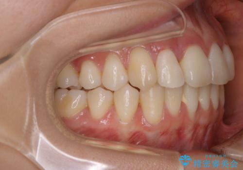
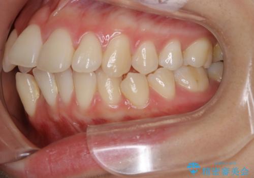
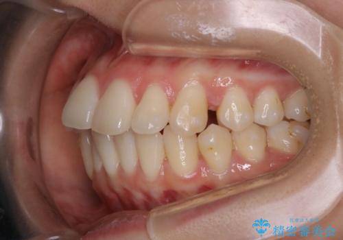
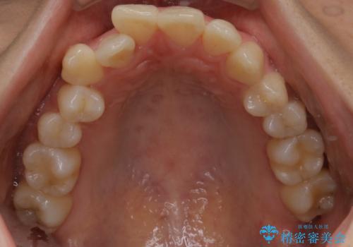
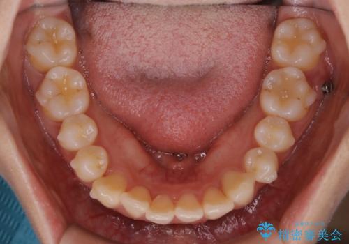
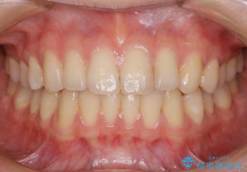
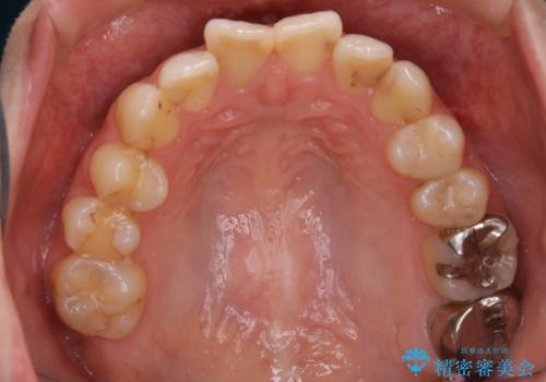
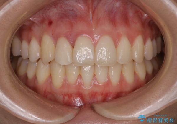
- 前歯のガタつきと噛み合わせの改善を主訴に初診来院され、審査の結果マウスピース装置による非抜歯での矯正を行うこととなりました。
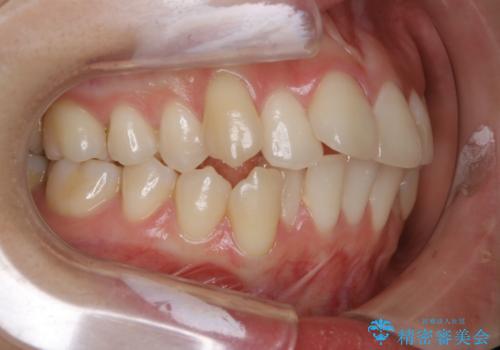
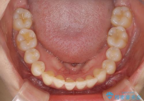
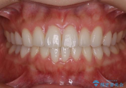
元々の顎骨や口腔・歯槽骨が小さく、どうしても歯が並びきらない状況になっていました。マイクロインプラントという固定源からゴムかけを行うなど、補助装置を活用しながら臼歯部を順番に遠心方向(奥)に移動させていくことで抜歯をしなくても歯が並ぶよう計画を立てました。
- 費用(概算)
- 88万円(マイクロインプラント費用込み)費用は治療当時の料金となります
治療について
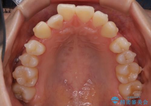
歯のガタつきを治すため矯正治療を希望。審査の結果、非抜歯での矯正が可能であるという見通しが立ったためインビザラインによる非抜歯矯正治療を行った。
マイクロインプラントとIPR
歯を並べるスペースを作るために、歯の遠心移動と歯列の拡大、歯自体を少しだけ小さく削る(IPR)という方法を複合的に組み合わせて配列を行いました。遠心移動用のゴムかけにはマイクロインプラントという小さいネジを用いて骨に直接固定源を求めました。
マウスピース矯正の注意事項(リスク・副作用など)
- 口腔内・歯並びの状態によっては対応できない場合があります
- マウスピース型矯正装置の長時間装着(1日20時間以上)が必須です
- 治療計画通りに進めるためには、患者様の意志が重要になります
- 矯正治療後の保定が不十分だと後戻り(元の位置に戻ろうとする動き)をします
- 薬機法対象外の矯正歯科装置のため医薬品副作用被害救済制度の対象外となる場合があります
- 自費診療(保険適用外)となります
当サイトの内容、テキスト、画像等の無断転載、複製、複写、盗用を固く禁じます。















