症例詳細
Case detail
臼歯部インプラント・再補綴
治療症例の内容
- 患者様
 - 50代男性
 
- 治療期間
 - 1年
 
- 治療回数
 - 5-10回
 
- 治療計画
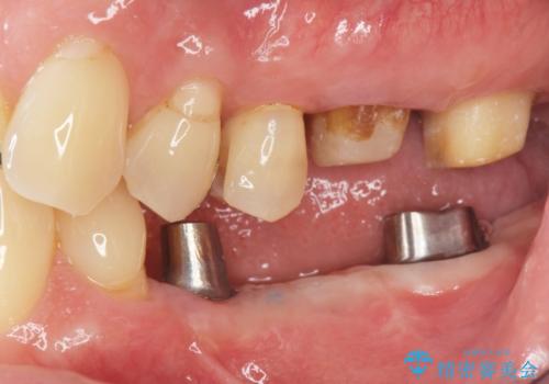
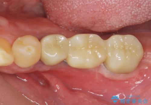
 - 失ってしまった左下の奥歯にインプラント治療を受けたいと来院されました。
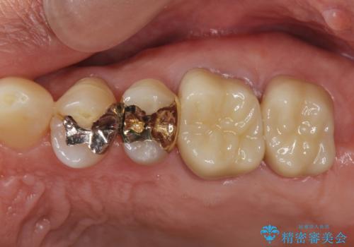
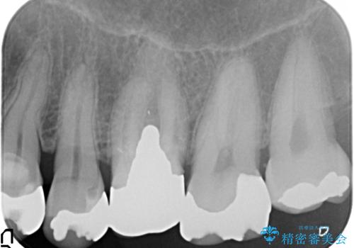
左下の欠損部には強度・表面性状に優れるストローマン社製インプラントを埋入し、合わせて噛み合う上顎の歯もクラウン再補綴による整備を行い安定した咬合関係の構築を目指します。 
- 費用(概算)
 - 122.1万円(仮歯×5・ストローマンインプラント×2・アバットメント×2・ジルコニアクラウン×5・ゴールドインレー)費用は治療当時の料金となります
 
再補綴について
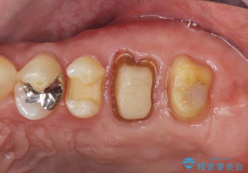
歯を失った期間が長くなると、対合する歯が伸びてくることによる補綴スペースの狭小化がしばしば見られます。
今回左下にインプラント治療を行うにあたり、対合する上顎の歯もいっしょに治療を行ったことで安定した咬合関係を構築することができました。
インプラント治療の注意事項(リスク・副作用など)
- 外科手術のため、術後に痛みや腫れ、違和感を伴います
 - メンテナンスを怠ったり喫煙により、お口の中に大きな悪影響を及ぼすインプラント周囲炎等にかかる可能性があります
 - 糖尿病、肝硬変、心臓病等の場合、インプラント治療ができない可能性があります
 - 高血圧、貧血・不整脈等の場合、インプラント治療後に治癒不全を招く可能性があります
 - 自費診療(保険適用外治療)となります
 
セラミック治療の注意事項(リスク・副作用など)
- 天然歯を削ります
 - 硬い素材は天然歯を傷つけてしまう場合があります
 - かみ合わせや歯ぎしりが強すぎる方はセラミックが割れてしまう可能性があります
 - 自費診療(保険適用外治療)となります
 
当サイトの内容、テキスト、画像等の無断転載、複製、複写、盗用を固く禁じます。

                      
                                                          













