症例詳細
Case detail
インビザラインライトで行う短期マウスピース矯正治療
治療症例の内容
- 診療科目
- 治療カテゴリ
- 担当医
- 大元洋佑(ドクタープロフィール)
- 患者様
- 20代女性
- 治療期間
- 4ヶ月
- 治療回数
- 2-5回
- 治療計画
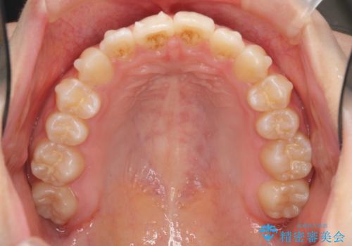
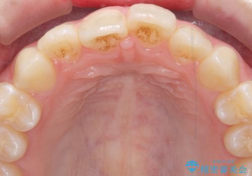
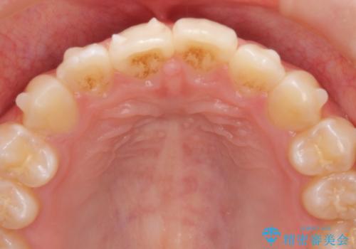
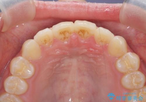
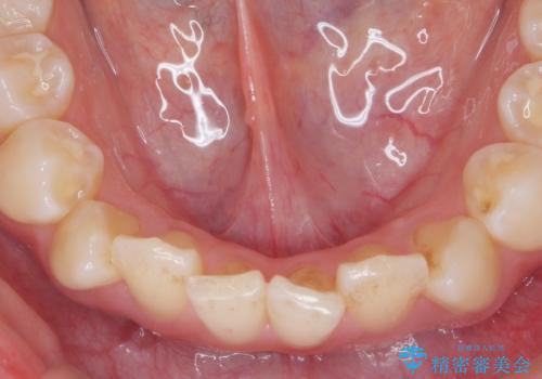
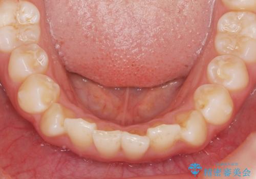
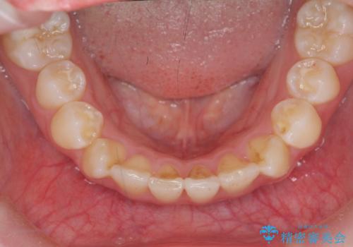
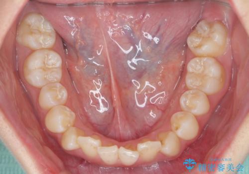
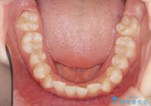
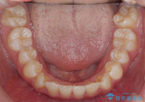
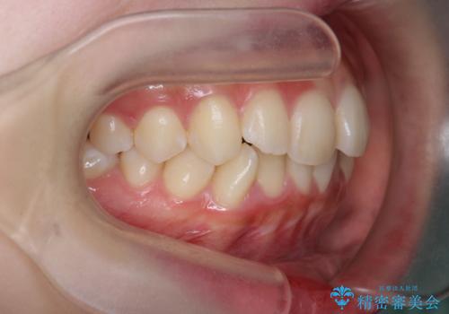
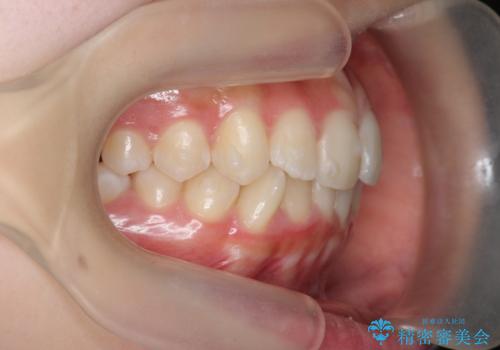
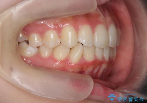
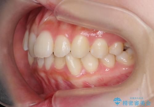
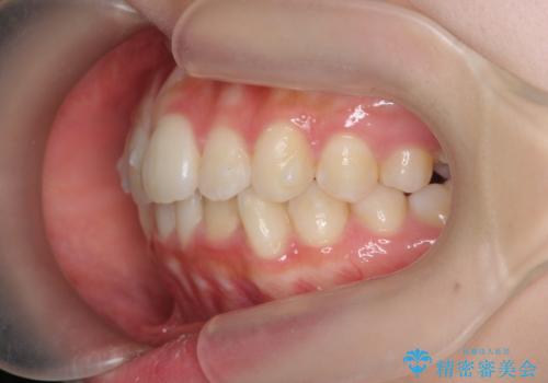
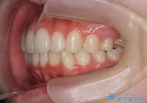
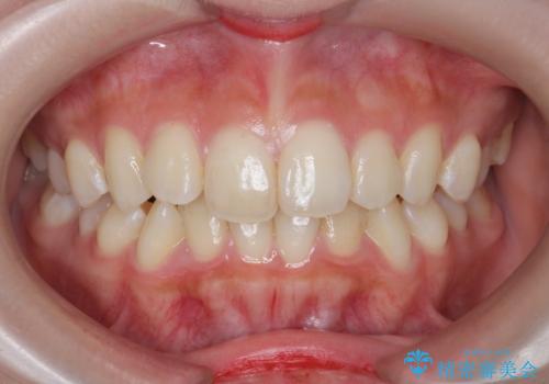
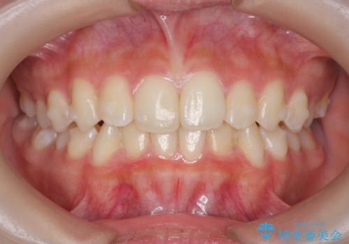
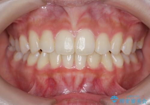
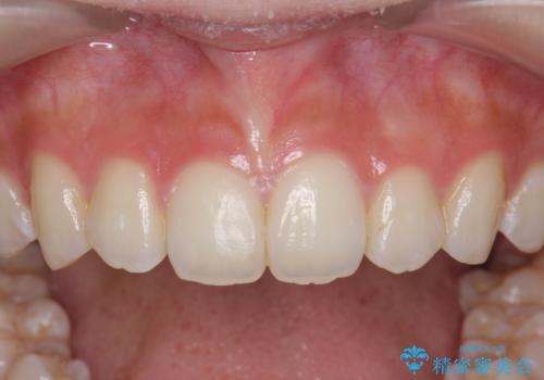
- 前歯のガタつきを並べたいたいと、矯正治療を希望され来院されました。
とにかく短期間で前歯だけの治療を行いという希望が強く、全体矯正と前歯だけの部分矯正の仕上がりのイメージを確認したのち14枚のマウスピースで前歯のみの矯正治療を行っていくこととしました。
- 費用(概算)
- 49.5万円 (インビザラインライト)費用は治療当時の料金となります
インビザラインライトについて
インビザラインライトは軽度なガタつきや傾斜の改善に用いられる全14枚のマウスピース矯正です。
短期間で治療の終了が見込めるだけでなく、料金もインビザラインフルに比べリーズナブルです。
マウスピース矯正の注意事項(リスク・副作用など)
- 口腔内・歯並びの状態によっては対応できない場合があります
- マウスピース型矯正装置の長時間装着(1日20時間以上)が必須です
- 治療計画通りに進めるためには、患者様の意志が重要になります
- 矯正治療後の保定が不十分だと後戻り(元の位置に戻ろうとする動き)をします
- 薬機法対象外の矯正歯科装置のため医薬品副作用被害救済制度の対象外となる場合があります
- 自費診療(保険適用外)となります
当サイトの内容、テキスト、画像等の無断転載、複製、複写、盗用を固く禁じます。























