症例詳細
Case detail
前歯の色と隙間が気になる 早く治したい 矯正は嫌 30代女性
治療症例の内容
- 診療科目
- 治療カテゴリ
- 担当医
- 患者様
- 30代女性
- 治療期間
- 2ヶ月
- 治療回数
- 2-5回
- 治療計画
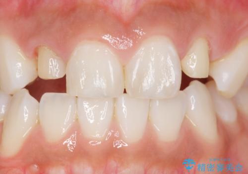
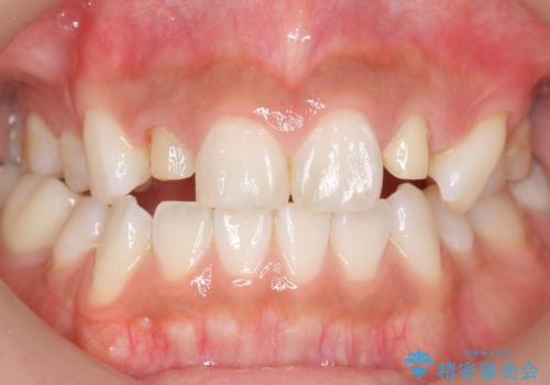
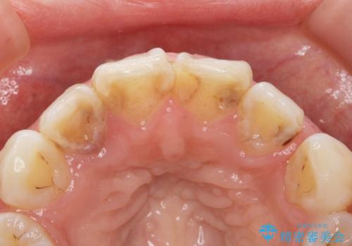
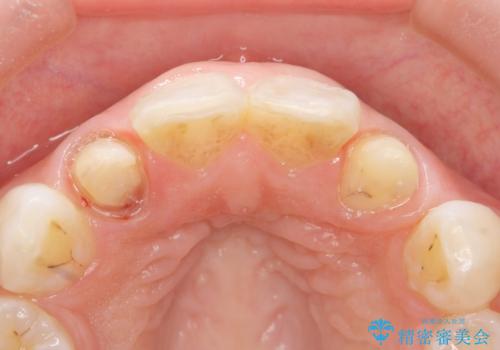
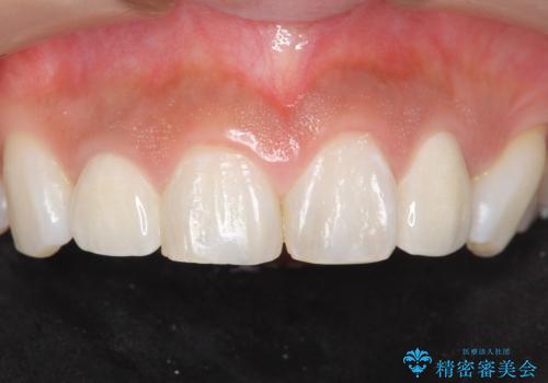
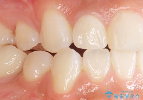
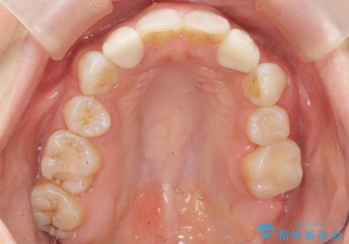
- 上の前歯の色と隙間を気にされ、来院された患者様です。
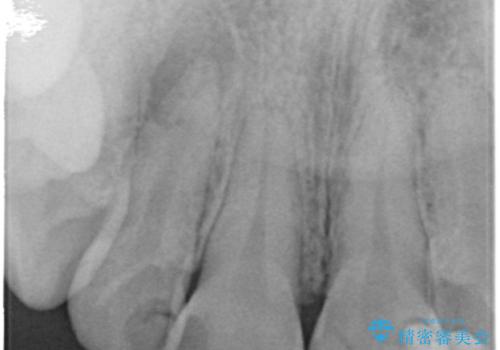
精査したところ、右上の側切歯(右上2)は神経が死んで変色しており、左上の側切歯と犬歯の間に2mm程度の隙間を認めました。
学生時代に舌側矯正をされており、通院が大変になり治療を途中でやめてしまったとのことでした。
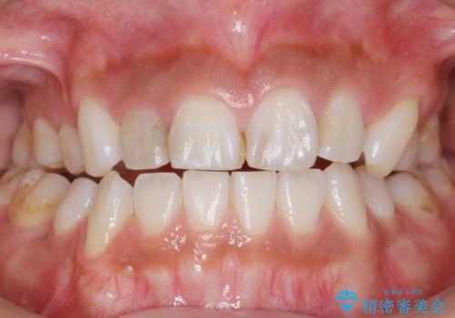
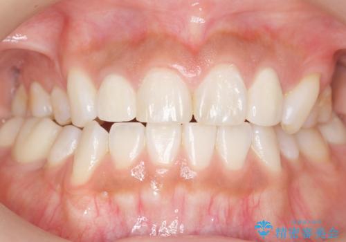
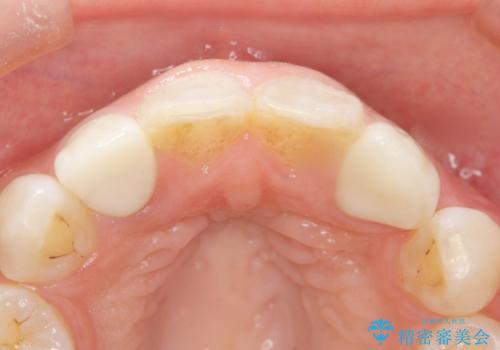
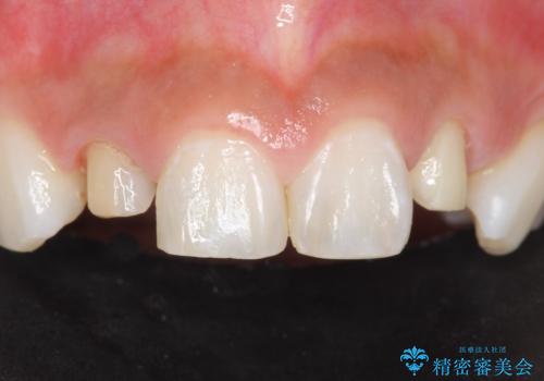
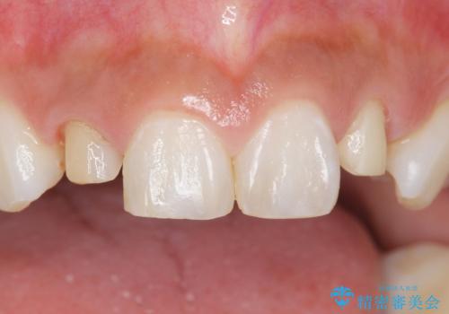
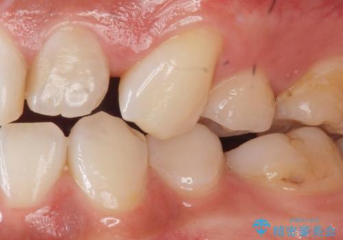
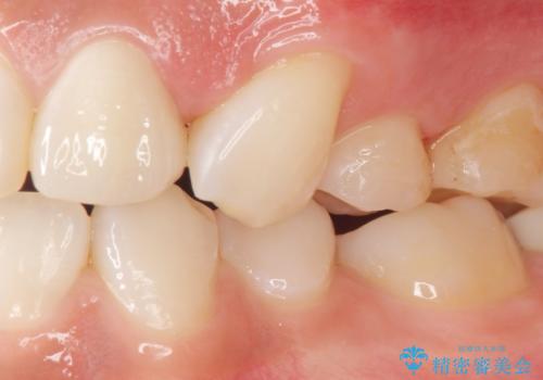
矯正せずに早く治したいという強いご希望により、セラミッククラウンによる補綴治療(上顎両側2の2本)を行いました。
- 費用(概算)
- ¥396,000 (根管治療・土台×1本、仮歯・クラウン×2本) ※税込費用は治療当時の料金となります
治療について
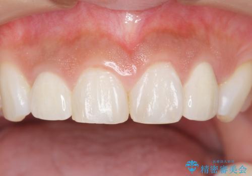
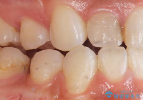
天然歯のような自然な仕上がりに大変喜んで頂けました。
クラウンの種類:オールセラミッククラウン スペシャル
セラミック治療の注意事項(リスク・副作用など)
- 天然歯を削ります
- 硬い素材は天然歯を傷つけてしまう場合があります
- かみ合わせや歯ぎしりが強すぎる方はセラミックが割れてしまう可能性があります
- 自費診療(保険適用外治療)となります
当サイトの内容、テキスト、画像等の無断転載、複製、複写、盗用を固く禁じます。























