症例詳細
Case detail
古い被せ物をセラミックにしたい 40代男性
治療症例の内容
- 診療科目
 
- 治療カテゴリ
 
- 担当医
 
- 患者様
 - 40代男性
 
- 治療期間
 - 2ヶ月
 
- 治療回数
 - 2-5回
 
- 治療計画
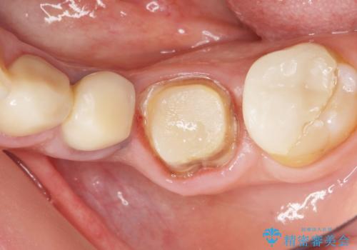
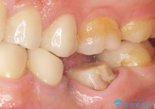
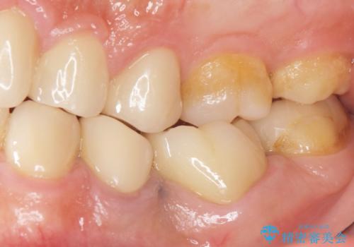
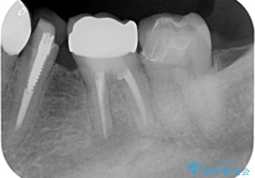
 - 奥歯の被せ物をセラミックにしたいとご希望され、来院された患者様です。
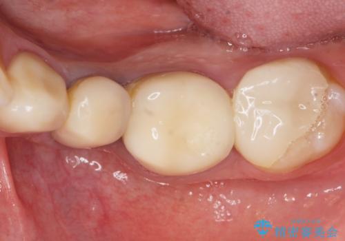
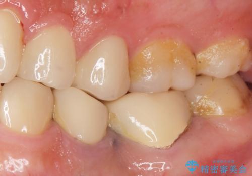
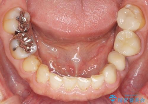
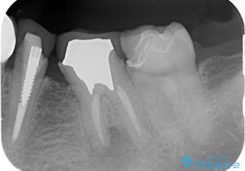
左下の奥歯(左下6)の劣化した白い被せ物と金属の土台を除去し、セラミッククラウンによる補綴治療を行いました。 
- 費用(概算)
 - ¥286,000 (根管治療、土台、仮歯、クラウン) ※税込費用は治療当時の料金となります
 
治療について
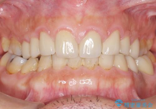
セラミッククラウンの天然歯のような自然な仕上がりと咬み心地に喜んで頂けました。
クラウンの種類:オールセラミッククラウン スタンダード
セラミック治療の注意事項(リスク・副作用など)
- 天然歯を削ります
 - 硬い素材は天然歯を傷つけてしまう場合があります
 - かみ合わせや歯ぎしりが強すぎる方はセラミックが割れてしまう可能性があります
 - 自費診療(保険適用外治療)となります
 
当サイトの内容、テキスト、画像等の無断転載、複製、複写、盗用を固く禁じます。

                      
                                                          













