症例詳細
Case detail
セラミックによる前歯の変色の改善
治療症例の内容
- 診療科目
- 治療カテゴリ
- 担当医
- 患者様
- 50代男性
- 治療期間
- 2ヶ月
- 治療回数
- 2-5回
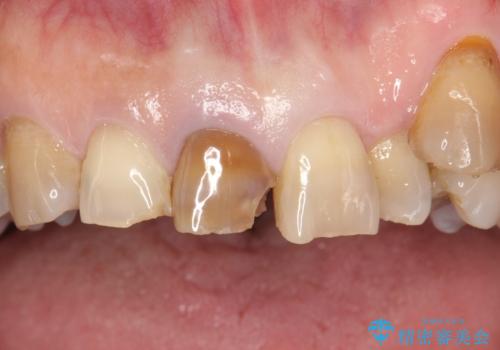
- 治療計画
- 前歯の色が変色してきて、気になるとのことで来院されました。
オールセラミックを装着することで改善することとしました。
- 費用(概算)
- 約15万円費用は治療当時の料金となります
治療について
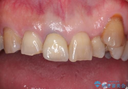
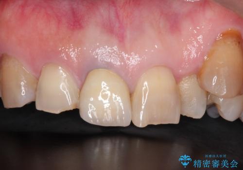
他の歯になじむ色を選択することで、自然な仕上がりにすることができました。
セラミック治療の注意事項(リスク・副作用など)
- 天然歯を削ります
- 硬い素材は天然歯を傷つけてしまう場合があります
- かみ合わせや歯ぎしりが強すぎる方はセラミックが割れてしまう可能性があります
- 自費診療(保険適用外治療)となります
当サイトの内容、テキスト、画像等の無断転載、複製、複写、盗用を固く禁じます。










