症例詳細
Case detail
出っ歯が気になる インビザラインによる出っ歯の目立たない矯正
治療症例の内容
- 担当医
- 患者様
- 20代男性
- 矯正装置
- インビザライン
- 治療期間
- 1年7ヶ月
- 治療回数
- 10-30回
- 治療計画
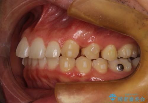
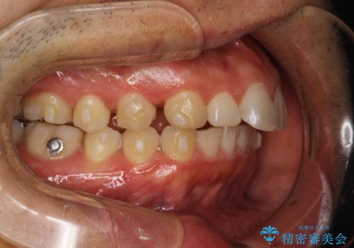
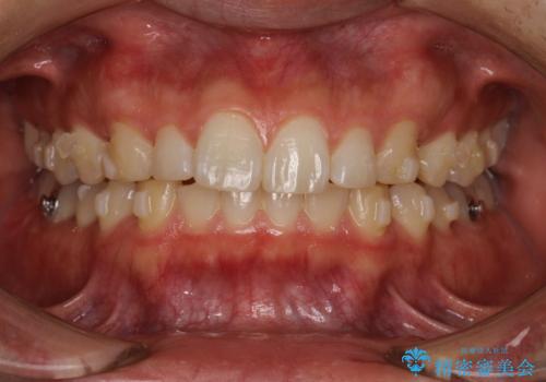
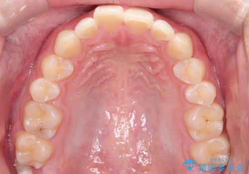
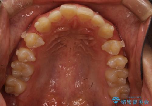
- 出っ歯を主訴に来院されました。
上の歯が全体的に下の歯の位置に比べると前方に位置しており、上の前歯が前方に傾斜している状態でした。
上の奥歯を後方に移動して、隙間を作り、前歯を引っ込める計画としました。
- 費用(概算)
- 約95万円費用は治療当時の料金となります
治療について
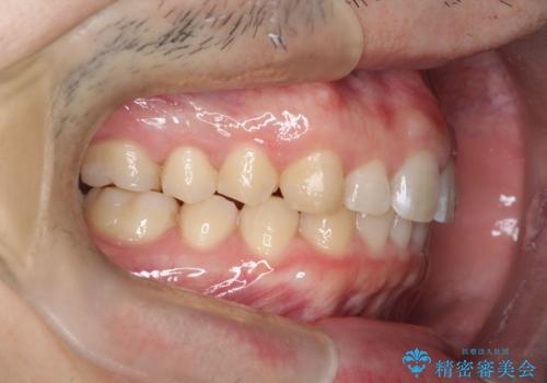
治療途中に転勤されて、簡単にはお越し頂けなくなり、来院頻度が少なくなってしまいましたが、しっかり使っていただけたことで計画通り歯を動かすことができました。
マウスピース矯正の注意事項(リスク・副作用など)
- 口腔内・歯並びの状態によっては対応できない場合があります
- マウスピース型矯正装置の長時間装着(1日20時間以上)が必須です
- 治療計画通りに進めるためには、患者様の意志が重要になります
- 矯正治療後の保定が不十分だと後戻り(元の位置に戻ろうとする動き)をします
- 薬機法対象外の矯正歯科装置のため医薬品副作用被害救済制度の対象外となる場合があります
- 自費診療(保険適用外)となります
当サイトの内容、テキスト、画像等の無断転載、複製、複写、盗用を固く禁じます。



















