症例詳細
Case detail
抜かずに保存した奥歯が痛くて臭う セラミックブリッジによる欠損補綴治療
治療症例の内容
- 診療科目
- 治療カテゴリ
- 担当医
- 藤巻太一朗(ドクタープロフィール)
- 患者様
- 40代女性
- 治療期間
- 4ヶ月
- 治療回数
- 2-5回
- 治療計画
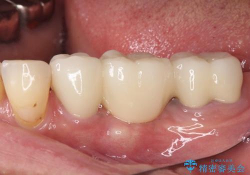
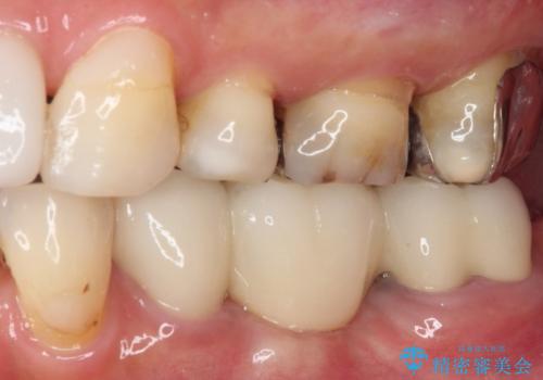
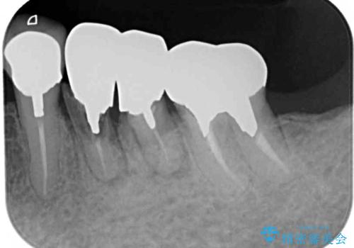
- 以前抜歯を回避するために奥歯を分割して保存してもらったものの、痛みと異臭が気になるとのことで来院された患者様です。
診査したところ、保存は不可能と診断しました。
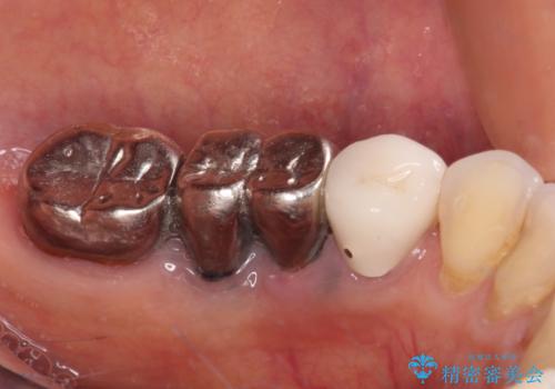
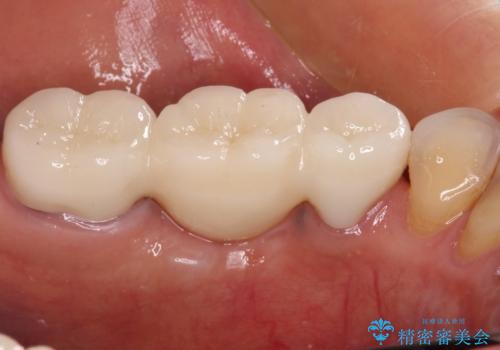
前後の歯も大きな銀歯が装着されていたので、抜歯後に治癒を待って、フルジルコニアブリッジにて補綴することとしました。
- 費用(概算)
- 治療費の目安: 25万円(税込)費用は治療当時の料金となります
治療について
抜歯をしたことで、ずっと気になっていた異臭から解放されました。
前後の歯はいずれも神経が取り除かれている歯であったので、ブリッジ治療では負担が大きくなることが懸念されました。咬合力はさほど強くない咬み合わせであったので、インプラントではなく、ブリッジ治療を選択されました。
セラミック治療の注意事項(リスク・副作用など)
- 天然歯を削ります
- 硬い素材は天然歯を傷つけてしまう場合があります
- かみ合わせや歯ぎしりが強すぎる方はセラミックが割れてしまう可能性があります
- 自費診療(保険適用外治療)となります
当サイトの内容、テキスト、画像等の無断転載、複製、複写、盗用を固く禁じます。










