症例詳細
Case detail
目立つ銀歯を自然にしたい
治療症例の内容
- 診療科目
- 治療カテゴリ
- 担当医
- 大元洋佑(ドクタープロフィール)
- 患者様
- 40代男性
- 治療期間
- 1ヶ月
- 治療回数
- 2-5回
- 治療計画
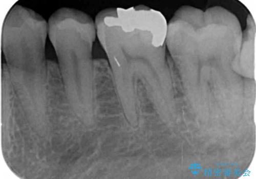
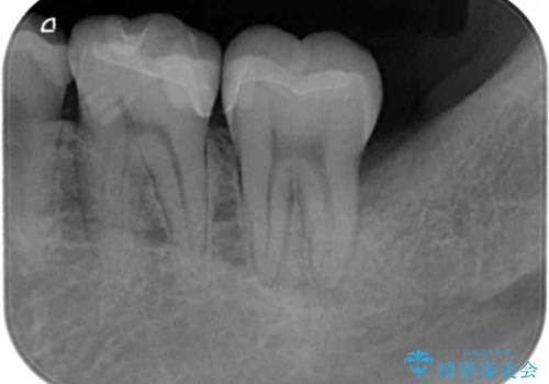
- 長年気になっていた銀歯を白く、自然にしたいと希望され来院されました。
銀歯を丁寧に除去し、内部に虫歯の再発がないかどうか拡大鏡下で確認した上で、精密に封鎖することのできるセラミックインレー治療を計画します。
- 費用(概算)
- 15.4万円(セラミックインレー×2)費用は治療当時の料金となります
セラミック治療について
セラミック治療は、審美性に優れるだけでなく表面も非常に滑らかなため虫歯の再発を防ぐ効果も大きいです。
セラミック治療の注意事項(リスク・副作用など)
- 天然歯を削ります
- 硬い素材は天然歯を傷つけてしまう場合があります
- かみ合わせや歯ぎしりが強すぎる方はセラミックが割れてしまう可能性があります
- 自費診療(保険適用外治療)となります
当サイトの内容、テキスト、画像等の無断転載、複製、複写、盗用を固く禁じます。




