症例詳細
Case detail
少しだけ飛び出た前歯を整えたい インビザラインによる矯正治療
治療症例の内容
- 診療科目
- 担当医
- 藤巻太一朗(ドクタープロフィール)
- 患者様
- 30代女性
- 矯正装置
- インビザライン
- 治療期間
- 1年6ヶ月
- 治療回数
- 10-30回
- 治療計画
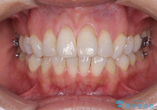
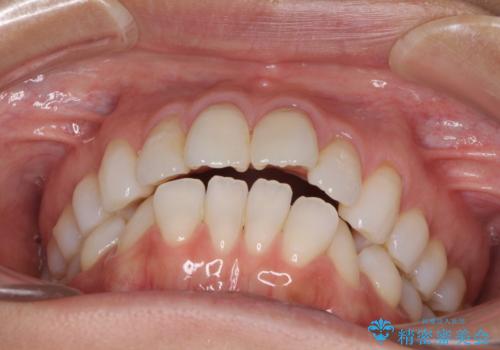
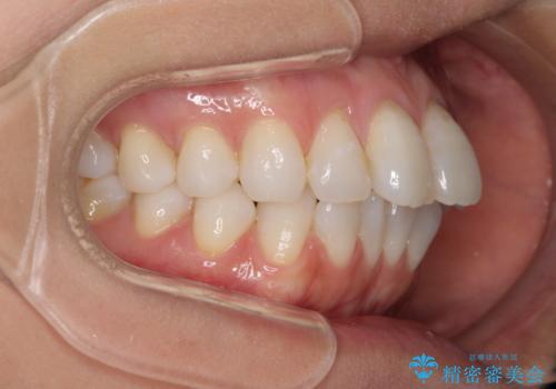
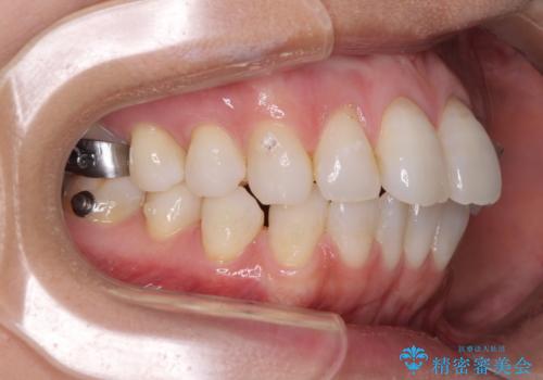
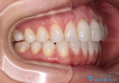
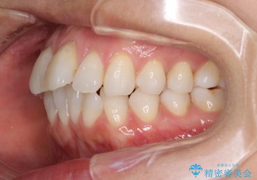
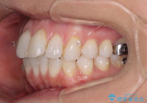
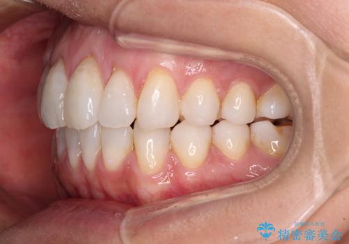
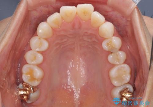
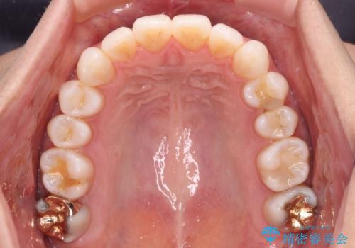
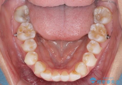
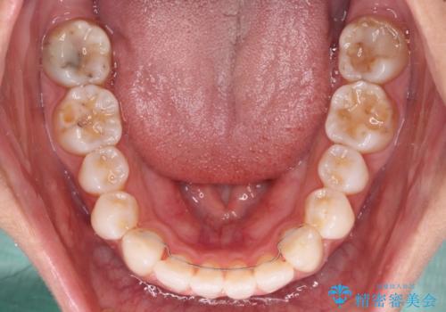
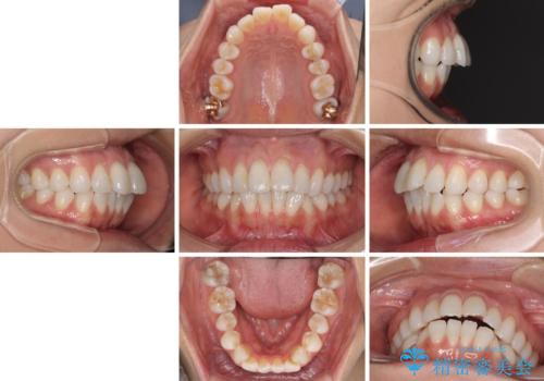
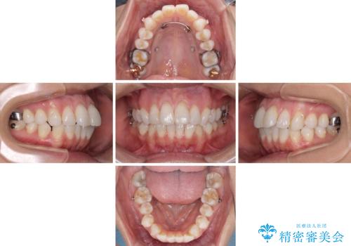
- 少しだけ前に飛び出ている前歯を気にして来院された患者様です。
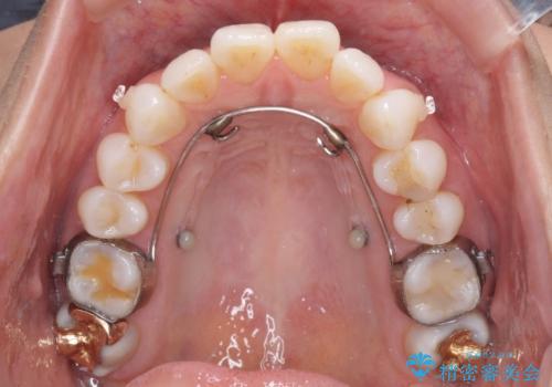
上顎歯列全体を後方に移動させる必要があり、インビザライン単体での治療は困難と判断し、補助装置により左右側方歯列を移動させた後にインビザラインを用いることとしました。
- 費用(概算)
- 治療費の目安: 95万円(税込)費用は治療当時の料金となります
治療について
インビザライン単独でも上顎歯列全体を後方移動することで臼歯の咬み合わせを改善できる場合もあります。しかしながら、矯正治療は当初設定したゴールに到達する必要があり、今回のような場合ではインビザライン単独では達成の可能性が低くなるので、補助装置を使用して、より確実に治療を行うこととしています。
マウスピース矯正の注意事項(リスク・副作用など)
- 口腔内・歯並びの状態によっては対応できない場合があります
- マウスピース型矯正装置の長時間装着(1日20時間以上)が必須です
- 治療計画通りに進めるためには、患者様の意志が重要になります
- 矯正治療後の保定が不十分だと後戻り(元の位置に戻ろうとする動き)をします
- 薬機法対象外の矯正歯科装置のため医薬品副作用被害救済制度の対象外となる場合があります
- 自費診療(保険適用外)となります
当サイトの内容、テキスト、画像等の無断転載、複製、複写、盗用を固く禁じます。


























