症例詳細
Case detail
内側に生えている歯をなんとかしたい 矯正は嫌 30代男性
治療症例の内容
- 診療科目
- 治療カテゴリ
- 担当医
- 患者様
- 30代男性
- 治療期間
- 4ヶ月
- 治療回数
- 2-5回
- 治療計画
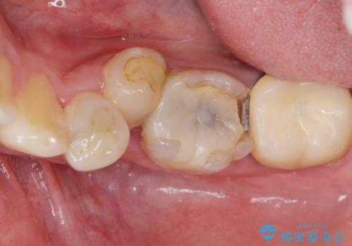
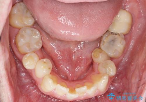
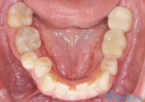
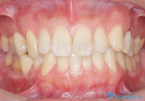
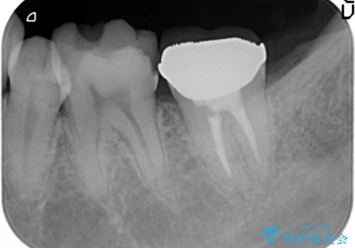
- 下の奥歯が内側に生えていることを主訴に来院された患者様です。
精査したところ、左下の小臼歯(左下5)が舌側転位しており、また隣の歯の詰め物は欠け虫歯になっていました。
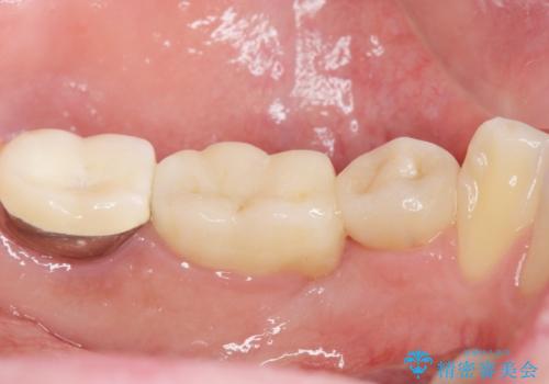
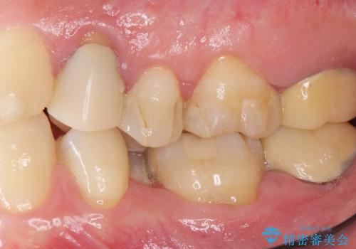
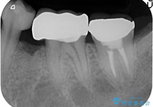
矯正は絶対にしたくないという強いご希望により、舌側転位している歯を抜去し歯肉の治癒を待ったのち、両隣の歯の補綴治療を行いました。
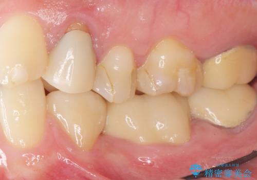
セラミッククラウンにより、抜歯した部分のスペースを閉じ歯並びを整えました。
- 費用(概算)
- ¥242,000 (仮歯・クラウン×2本) ※税込費用は治療当時の料金となります
治療について
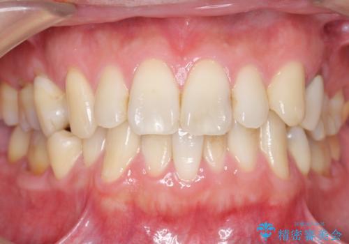
矯正装置を用いることなくセラミッククラウンにより歯並びを整えスペースを閉じることができ、大変ご満足頂けました。
クラウンの種類:オールセラミッククラウン スタンダード
セラミック治療の注意事項(リスク・副作用など)
- 天然歯を削ります
- 硬い素材は天然歯を傷つけてしまう場合があります
- かみ合わせや歯ぎしりが強すぎる方はセラミックが割れてしまう可能性があります
- 自費診療(保険適用外治療)となります
当サイトの内容、テキスト、画像等の無断転載、複製、複写、盗用を固く禁じます。












