症例詳細
Case detail
抜けてしまうと言われた前歯 インビザラインによる矯正治療
治療症例の内容
- 診療科目
- 治療カテゴリ
- 担当医
- 藤巻太一朗(ドクタープロフィール)
- 患者様
- 30代女性
- 矯正装置
- インビザライン
- 治療期間
- 9ヶ月
- 治療回数
- 5-10回
- 治療計画
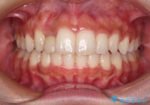
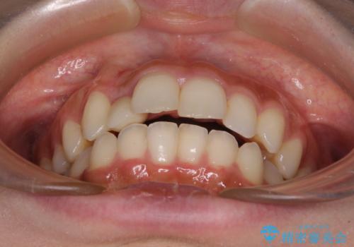
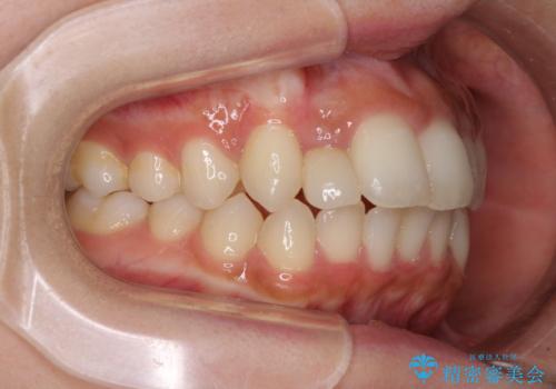
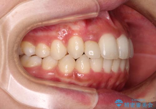
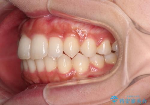
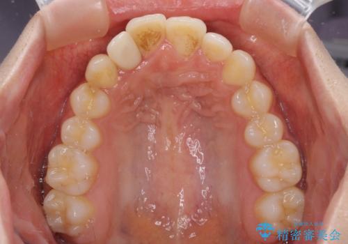
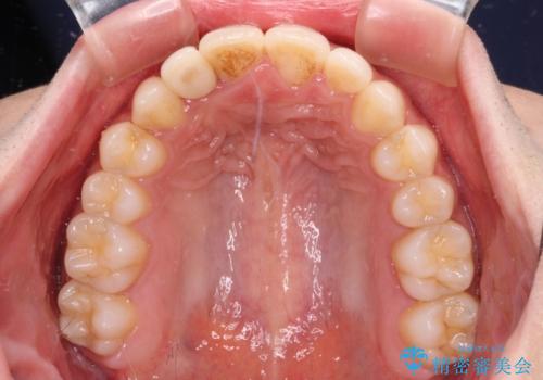
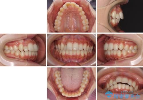
- 上下前歯のデコボコを気にして来院された患者様です。
前歯のセラミックが装着されている歯は、歯根が短くなっており、他院では抜けてしまうので矯正はできないと言われていたようです。
患者様と相談し、抜けてしまった場合にはインプラントあるいはブリッジによる補綴治療が必要となることを確認し、極力歯根に負担のかからないような仕上がりで治療を進めて行くこととしました。
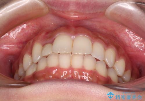
デコボコを解消には、IPR(歯と歯の間を削る)をメインに歯列排列を設計し、インビザラインにて矯正治療を行うこととしました。
- 費用(概算)
- 治療費の目安: 85万円(税込)費用は治療当時の料金となります
治療について
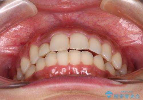
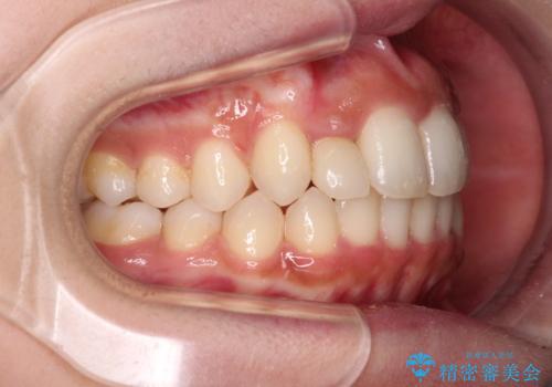
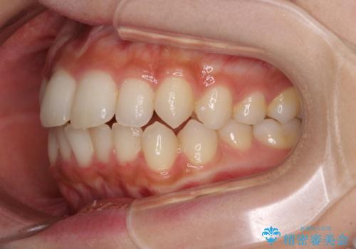
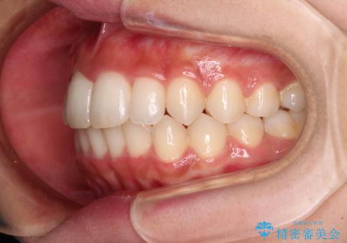
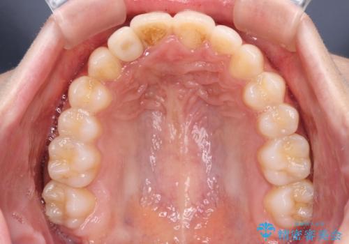
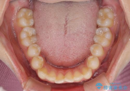
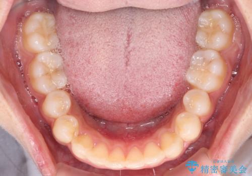
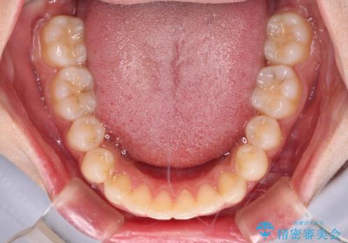
レントゲン写真上では、矯正治療前後で歯根長さに大きな違いはなく、抜歯を回避することができました。
上顎内側に転位している前から2番目の歯は移動が難しく、無理矢理歯根全体を動かそうと設計すると、歯肉退縮・歯髄壊死・歯根吸収といった危険性が増すため、無難なゴールにて治療を終えることとなりました。
マウスピース矯正の注意事項(リスク・副作用など)
- 口腔内・歯並びの状態によっては対応できない場合があります
- マウスピース型矯正装置の長時間装着(1日20時間以上)が必須です
- 治療計画通りに進めるためには、患者様の意志が重要になります
- 矯正治療後の保定が不十分だと後戻り(元の位置に戻ろうとする動き)をします
- 薬機法対象外の矯正歯科装置のため医薬品副作用被害救済制度の対象外となる場合があります
- 自費診療(保険適用外)となります
当サイトの内容、テキスト、画像等の無断転載、複製、複写、盗用を固く禁じます。



























