症例詳細
Case detail
深いかみ合わせ 出っ歯の治療 インビザラインで
治療症例の内容
- 患者様
- 30代女性
- 矯正装置
- インビザライン
- 治療期間
- 3年10ヶ月
- 治療回数
- 10-30回
- 治療計画
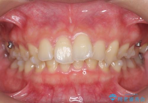
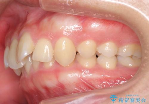
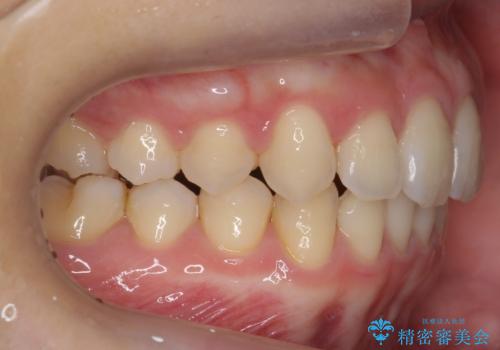
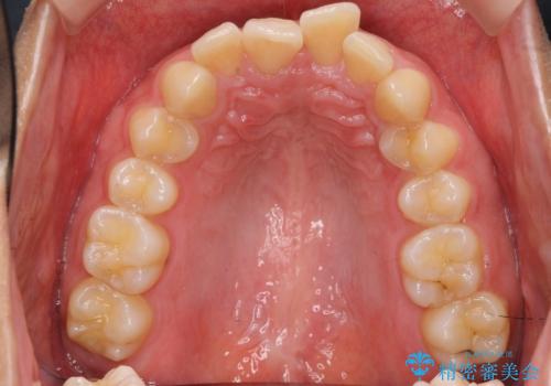
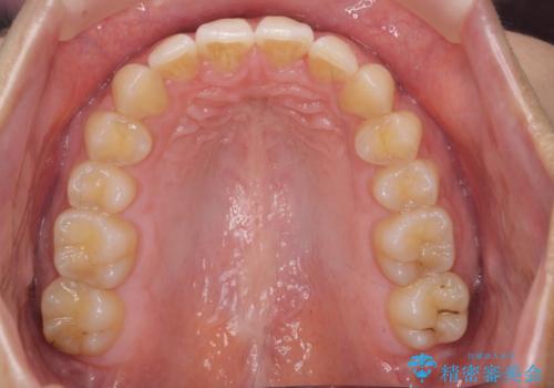
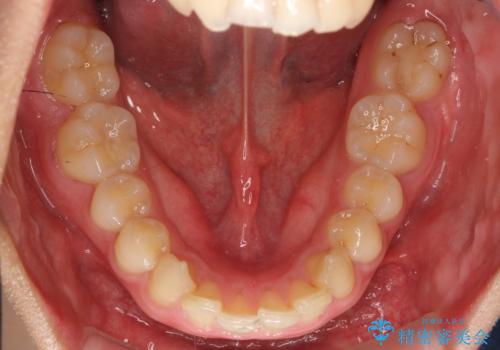
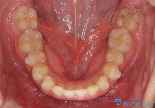
- 前歯の前突を主訴に来院。
かみ合わせが深く、また奥歯のかみ合わせも全体的に上が前にずれていました。
抜歯矯正も難しく、非抜歯矯正も歯の移動量が多くいずれにしても難易度が高い状態でした。
時間はかかりますが非抜歯で治療することにして、インビザライン矯正とワイヤー矯正を交互に行い仕上げました。
- 費用(概算)
- 110万円費用は治療当時の料金となります
治療について
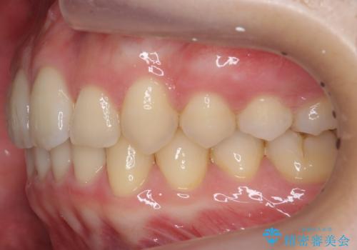
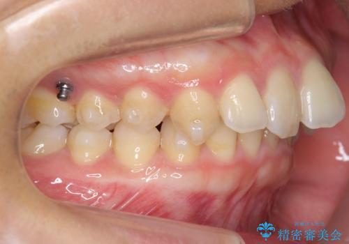
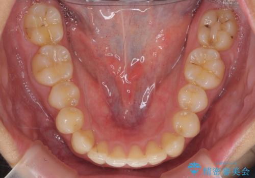
インビザライン矯正だけでなく、途中ワイヤー矯正もはさみました。前歯のかみ合わせが深く、本当に大変な治療でしたが協力度も高く非抜歯で上の奥歯を後ろに動かすことができました。
マウスピース矯正の注意事項(リスク・副作用など)
- 口腔内・歯並びの状態によっては対応できない場合があります
- マウスピース型矯正装置の長時間装着(1日20時間以上)が必須です
- 治療計画通りに進めるためには、患者様の意志が重要になります
- 矯正治療後の保定が不十分だと後戻り(元の位置に戻ろうとする動き)をします
- 薬機法対象外の矯正歯科装置のため医薬品副作用被害救済制度の対象外となる場合があります
- 自費診療(保険適用外)となります
ワイヤー矯正の注意事項(リスク・副作用など)
- 治療中は違和感や痛みが起こることがあります
- 症状により、抜歯が必要な場合があります
- 治療中は歯磨きがしにくくなるため、虫歯や歯周病になりやすくなります
- 矯正治療後の保定が不十分だと後戻り(元の位置に戻ろうとする動き)をします
- 自費診療(保険適用外)となります
当サイトの内容、テキスト、画像等の無断転載、複製、複写、盗用を固く禁じます。



















