症例詳細
Case detail
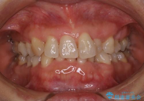
下の前歯が見えない:深い噛み合わせもインビザラインで
治療症例の内容
- 診療科目
- 治療カテゴリ
- 担当医
- 患者様
- 40代女性
- 矯正装置
- インビザラインFULL
- 治療期間
- 1年6ヶ月
- 治療回数
- 10-30回
- 治療計画
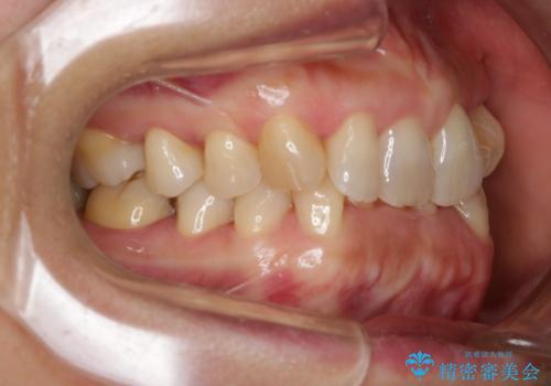
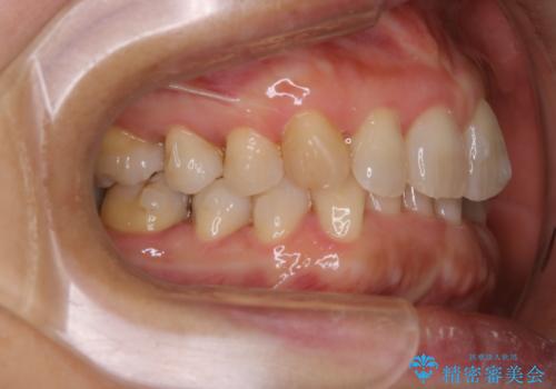
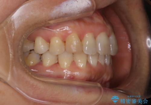
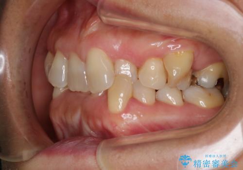
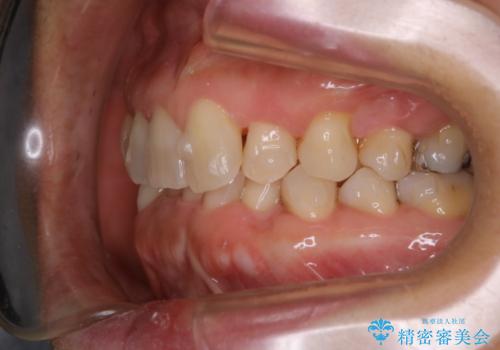
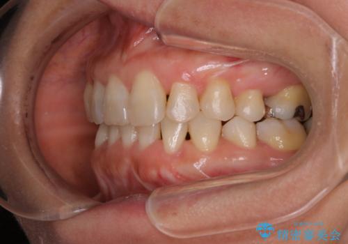
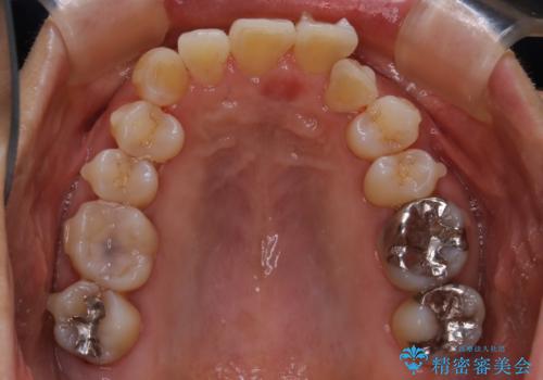
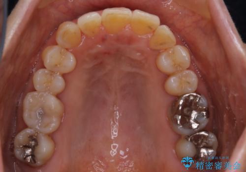
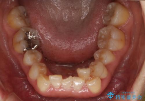
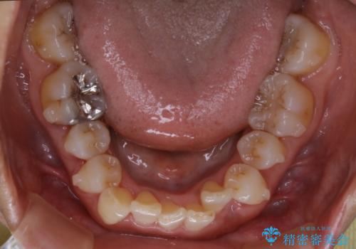
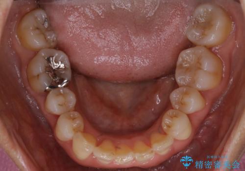
- 上下の歯のがたつきと、噛み合わせが深いことを気にされてご相談にいらした方です。噛み合わせに参加していない歯を抜歯してインビザラインにて治療を行いました。
- 費用(概算)
- 90万円費用は治療当時の料金となります
治療について
一般的に噛み合わせの深い方へのインビザライン治療は適応が難しいとされていますが、今回は噛む力を上手にコントロールできたことと、内側に入り込んでいた前歯の角度を調整したことで下の歯がしっかり見えるようになりました。短期間で劇的に見た目が改善し、大変喜んでいただけました。
マウスピース矯正の注意事項(リスク・副作用など)
- 口腔内・歯並びの状態によっては対応できない場合があります
- マウスピース型矯正装置の長時間装着(1日20時間以上)が必須です
- 治療計画通りに進めるためには、患者様の意志が重要になります
- 矯正治療後の保定が不十分だと後戻り(元の位置に戻ろうとする動き)をします
- 薬機法対象外の矯正歯科装置のため医薬品副作用被害救済制度の対象外となる場合があります
- 自費診療(保険適用外)となります
当サイトの内容、テキスト、画像等の無断転載、複製、複写、盗用を固く禁じます。



















