症例詳細
Case detail
悪いところを全部治したい:適合不良の補綴物のやり直し
治療症例の内容
- 診療科目
- 担当医
- 患者様
- 20代女性
- 治療期間
- 5ヶ月
- 治療回数
- 2-5回
- 治療計画
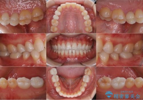
- 引っ越しを期に、悪いところを全部治してほしいとご来院頂きました。
白い被せ物で一見綺麗に見えますが、適合が悪い詰め物や、セラミックが欠けているところが複数認められました。虫歯になってしまっているところもあり、全体的に治療しました。
右下の一番奥の歯は、元々かなり深いところまで削られていたため、歯周外科処置を行った上で補綴処置を行いました。
- 費用(概算)
- 44万円費用は治療当時の料金となります
治療について
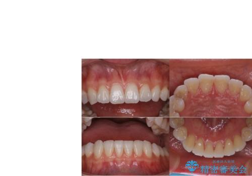
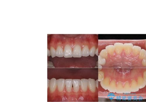
元々噛む力が強く、日常的に歯ぎしりもされるとの事で、セラミックが欠けてしまっていました。歯が割れてしまうリスクを軽減させるため、歯全体を覆うクラウンをメインに補綴治療を行いました。
右上の小臼歯部においては、元々はセラミックインレーでの治療をご提案していましたが、歯や被せ物がまた割れてしまうのが嫌との事で、患者様よりクラウンにしてほしいとの強いご希望がありました。元々の欠損部の面積に対して歯を全周削ることになるため、オーバートリートメントになってしまう事を十分ご説明し、ご納得頂いた上でクラウンによる補綴処置を行いました。
被せ物の色は患者様のご希望により明るめの色(A1)にて作製しております。
セラミック治療の注意事項(リスク・副作用など)
- 天然歯を削ります
- 硬い素材は天然歯を傷つけてしまう場合があります
- かみ合わせや歯ぎしりが強すぎる方はセラミックが割れてしまう可能性があります
- 自費診療(保険適用外治療)となります
当サイトの内容、テキスト、画像等の無断転載、複製、複写、盗用を固く禁じます。






