症例詳細
Case detail
インプラントしかないと言われた 奥歯のオールセラミックブリッジ
治療症例の内容
- 診療科目
- 治療カテゴリ
- 担当医
- 藤巻太一朗(ドクタープロフィール)
- 患者様
- 50代女性
- 治療期間
- 4ヶ月
- 治療回数
- 5-10回
- 治療計画
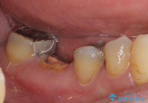
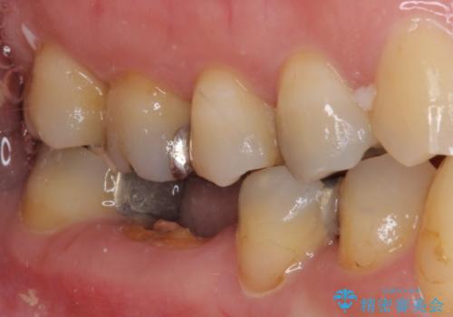
- 他院で、抜歯してインプラント補綴するしかないとのことで来院された患者様です。
診査したところ、抜歯と診断された歯は、他院での診断通り抜歯が必要でした。
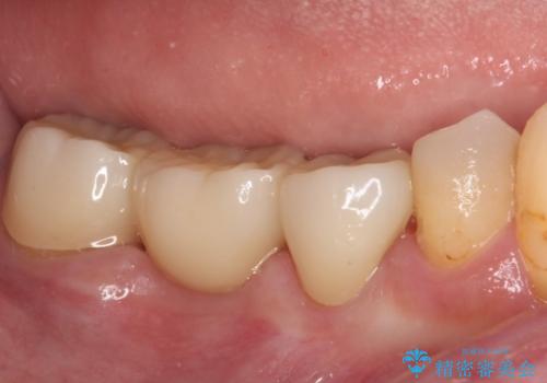
ただし、インプラント以外にブリッジでの補綴治療も可能であったので、抜歯後に治癒を待って、フルジルコニアブリッジにて補綴することとしました。
- 費用(概算)
- 治療費の目安: 27万円(税込)費用は治療当時の料金となります
治療について
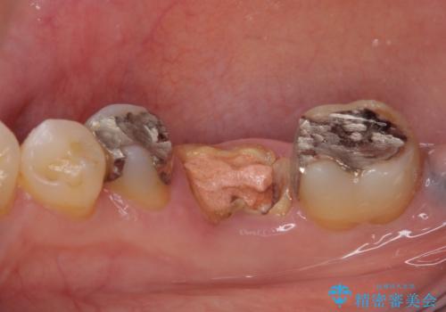
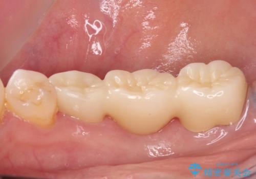
インプラント治療が回避でき、前後の銀歯も合わせてセラミックにできたので、患者様には大変満足していただきました。
セラミック治療の注意事項(リスク・副作用など)
- 天然歯を削ります
- 硬い素材は天然歯を傷つけてしまう場合があります
- かみ合わせや歯ぎしりが強すぎる方はセラミックが割れてしまう可能性があります
- 自費診療(保険適用外治療)となります
当サイトの内容、テキスト、画像等の無断転載、複製、複写、盗用を固く禁じます。










