症例詳細
Case detail
入国制限で帰国できず 海外出張中のインビザライン矯正
治療症例の内容
- 診療科目
- 治療カテゴリ
- 担当医
- 藤巻太一朗(ドクタープロフィール)
- 患者様
- 20代女性
- 矯正装置
- インビザライン
- 治療期間
- 2年4ヶ月
- 治療回数
- 10-30回
- 治療計画
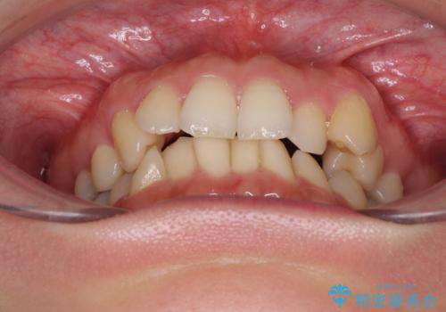
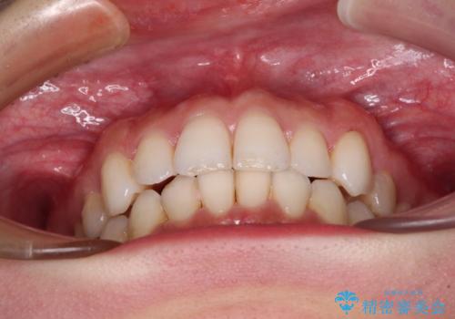
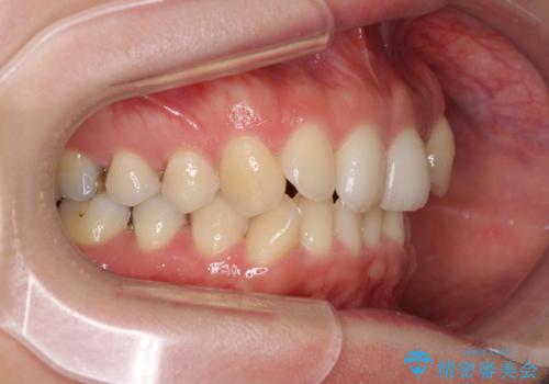
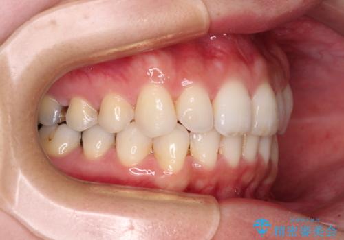
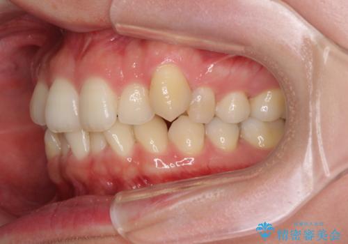
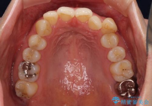
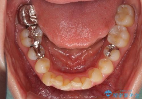
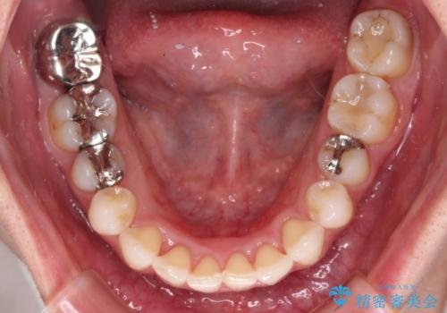
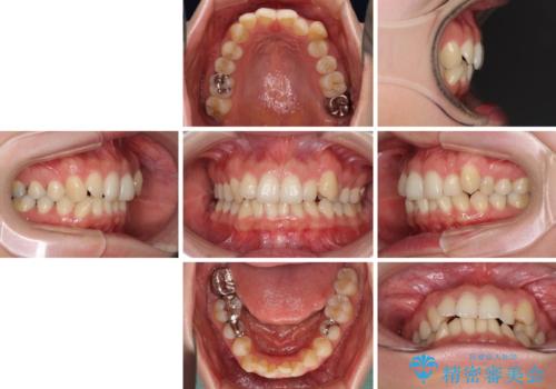
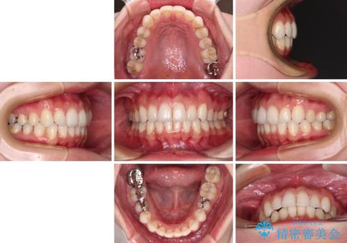
- 上下の前歯のデコボコを治したいとのことで来院された患者様です。
仕事柄、アジアの3つの国と地域を行き来するため、ワイヤー装置での治療は難しいと考えられました。
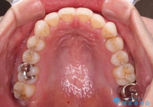
上下顎ともにIPR(歯と歯の間を削る)と歯列全体の拡大によって叢生が解消するように設計し、インビザラインにより治療を行うこととしました。
- 費用(概算)
- 治療費の目安: 85万円(税込)費用は治療当時の料金となります
治療について
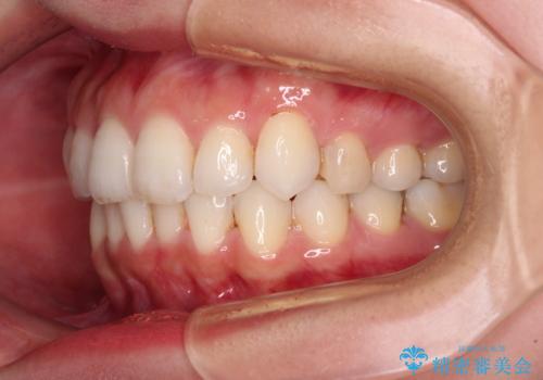
1日22時間の装着時間を守ってくださったので、比較的早く治療を終える予定でしたが、各国での入国制限が厳しくなり、帰国のタイミングに合わせてのんびりと治療を進めることとなってしまい、やや長期間の治療となりました。
マウスピース矯正の注意事項(リスク・副作用など)
- 口腔内・歯並びの状態によっては対応できない場合があります
- マウスピース型矯正装置の長時間装着(1日20時間以上)が必須です
- 治療計画通りに進めるためには、患者様の意志が重要になります
- 矯正治療後の保定が不十分だと後戻り(元の位置に戻ろうとする動き)をします
- 薬機法対象外の矯正歯科装置のため医薬品副作用被害救済制度の対象外となる場合があります
- 自費診療(保険適用外)となります
当サイトの内容、テキスト、画像等の無断転載、複製、複写、盗用を固く禁じます。




















