症例詳細
Case detail
海外での被せ物 色が気になる
治療症例の内容
- 診療科目
- 治療カテゴリ
- 担当医
- 河野裕二(ドクタープロフィール)
- 患者様
- 30代女性
- 治療期間
- 1ヶ月
- 治療回数
- 2-5回
- 治療計画
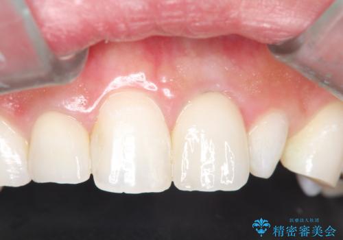
- 左上の前歯(中切歯)右上の前歯の隣(側切歯)2歯とも海外で被せ物をした患者様です。
両隣の歯は天然歯の為、技工士さんと何度も相談して被せ物をしたそうです。
帰国して、やはり気になるとのことで来院されました。
- 費用(概算)
- 57.2万円(内訳 根管治療11万円、土台2.2万円、仮歯1.1万円、オールセラミック[スペシャル]14.3万円)x2本費用は治療当時の料金となります
治療について
当院でも技工士さんと相談をさせていただき、色や形など大変、満足いただけました。
セラミック治療の注意事項(リスク・副作用など)
- 天然歯を削ります
- 硬い素材は天然歯を傷つけてしまう場合があります
- かみ合わせや歯ぎしりが強すぎる方はセラミックが割れてしまう可能性があります
- 自費診療(保険適用外治療)となります
当サイトの内容、テキスト、画像等の無断転載、複製、複写、盗用を固く禁じます。




