症例詳細
Case detail
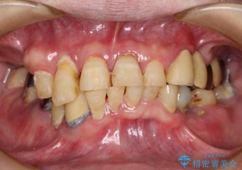
30代女性 前歯のオールセラミック
治療症例の内容
- 診療科目
- 治療カテゴリ
- 担当医
- 患者様
- 30代女性
- 治療期間
- 5ヶ月
- 治療回数
- 2-5回
- 治療計画
- 6前歯を仮歯に置き換える
→仮歯の形態修正で最終的な形を詰める
→型どり、オールセラミックの完成
- 費用(概算)
- 約80万円費用は治療当時の料金となります
治療について
根管治療は問題なさそうでしたが、質の低いベニヤで修復されていたため、根管への漏洩予防・審美性回復の観点から6前歯をオールセラミックにてやり直すこととなりました。
仮歯での形態修正、ワックスモデルでの形態相談、技工士との連絡などを経て、現状可能な限り最高の審美修復ができたと思います。
被せものの種類:ジルコニアオールセラミック クラウン スペシャル
セラミック治療の注意事項(リスク・副作用など)
- 天然歯を削ります
- 硬い素材は天然歯を傷つけてしまう場合があります
- かみ合わせや歯ぎしりが強すぎる方はセラミックが割れてしまう可能性があります
- 自費診療(保険適用外治療)となります
当サイトの内容、テキスト、画像等の無断転載、複製、複写、盗用を固く禁じます。



















