症例詳細
Case detail
オーディションで歯並びを指摘された:自信をもって歌える口元へ
治療症例の内容
- 診療科目
- 担当医
- 患者様
- 20代男性
- 矯正装置
- クリア装置
- 治療期間
- 2年6ヶ月
- 治療回数
- 10-30回
- 治療計画
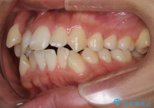
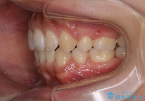
- オーディションで歯並びを指摘されたことから一念発起して矯正治療を行う事にした方です。
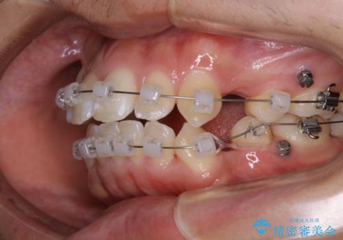
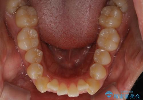
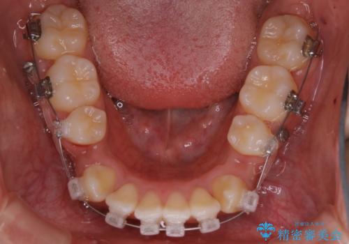
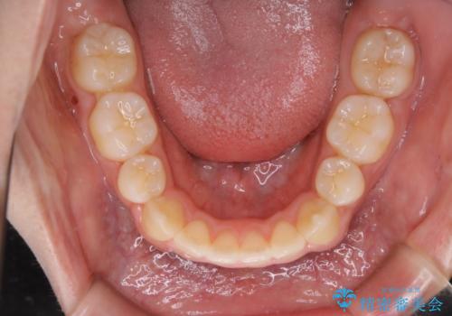
親知らずと、前から4番目の歯を抜歯してワイヤー装置による矯正治療を行いました。
- 費用(概算)
- 93万円(税別)費用は治療当時の料金となります
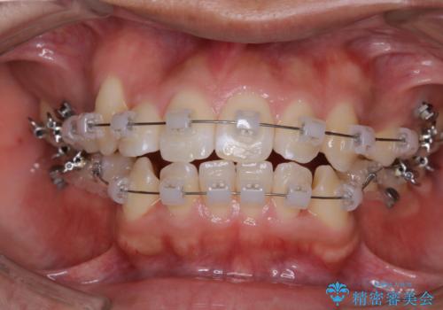
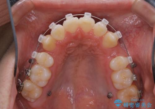
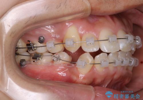
治療について
人前に出ることが多いため、当初は目立たない装置をご希望されていましたが、歯の移動距離が大きいため効率よく歯を動かせる表側の装置での治療をお勧めしました。すれ違ってしまっていた奥歯もしっかり治すことができました。
ワイヤー矯正の注意事項(リスク・副作用など)
- 治療中は違和感や痛みが起こることがあります
- 症状により、抜歯が必要な場合があります
- 治療中は歯磨きがしにくくなるため、虫歯や歯周病になりやすくなります
- 矯正治療後の保定が不十分だと後戻り(元の位置に戻ろうとする動き)をします
- 自費診療(保険適用外)となります
当サイトの内容、テキスト、画像等の無断転載、複製、複写、盗用を固く禁じます。



















