症例詳細
Case detail
奥歯が割れている 抜歯してインプラントへ 40代女性
治療症例の内容
- 患者様
- 40代女性
- 治療期間
- 1年
- 治療回数
- 5-10回
- 治療計画
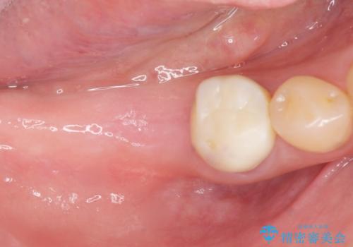
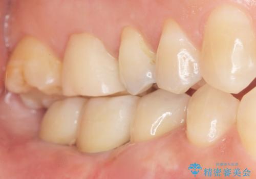
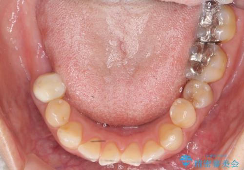
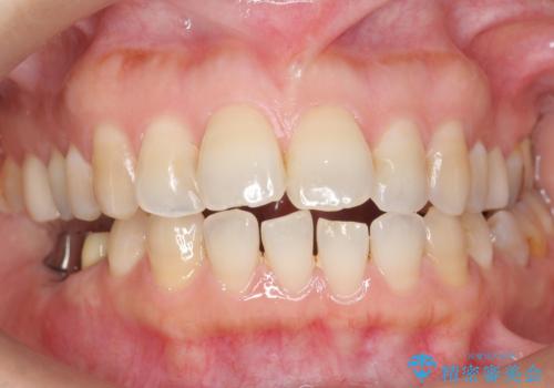
- 奥歯の痛みを主訴に来院された患者様です。
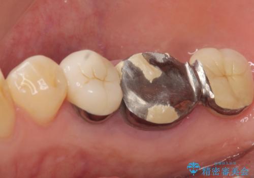
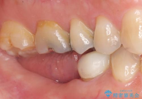
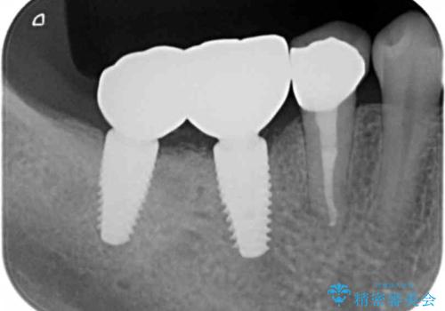
精査したところ、右下の奥歯(右下6)は割れており保存不可能な状態でした。
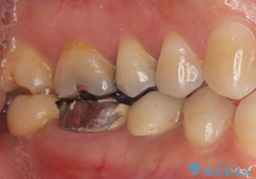
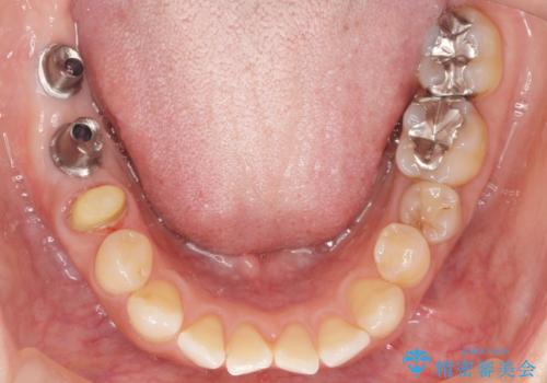
患者様のご希望により、右下大臼歯2本(右下76)のインプラント治療、右下小臼歯(右下5)の根管治療及び補綴治療を行いました。
割れていた歯の周囲組織の炎症が強く、骨の厚みが薄かったため、インプラント埋入時に骨増生(GBR)を行いました。
- 費用(概算)
- ¥1,243,000 (骨増生、インプラント・カスタムアバットメント×2本、根管治療・土台×1本、仮歯・クラウン×3本) ※税込費用は治療当時の料金となります
治療について
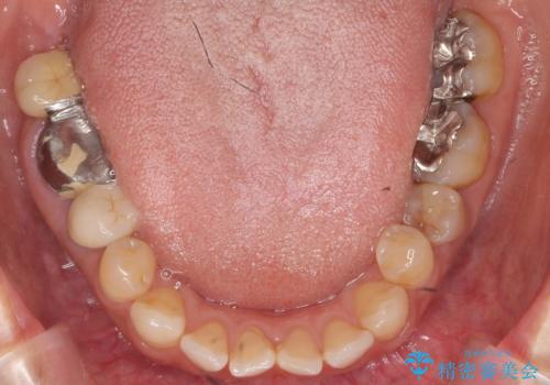
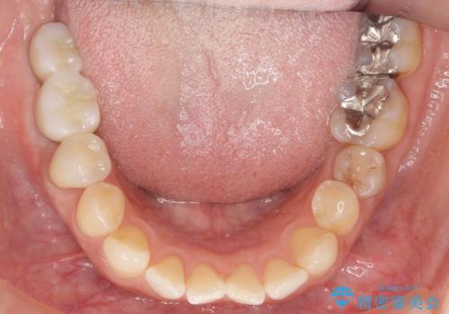
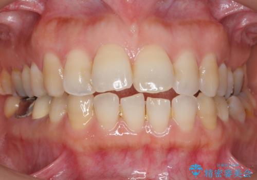
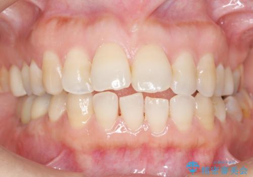
奥歯でしっかり噛むことができるようになり、喜んで頂けました。
セラミッククラウンの審美的な仕上がりにもご満足頂けました。
インプラントの種類:ストローマン BLT
クラウンの種類:ベレッツァクラウン(右下76)、ジルコニアクラウン スタンダード(右下5)
インプラント治療の注意事項(リスク・副作用など)
- 外科手術のため、術後に痛みや腫れ、違和感を伴います
- メンテナンスを怠ったり喫煙により、お口の中に大きな悪影響を及ぼすインプラント周囲炎等にかかる可能性があります
- 糖尿病、肝硬変、心臓病等の場合、インプラント治療ができない可能性があります
- 高血圧、貧血・不整脈等の場合、インプラント治療後に治癒不全を招く可能性があります
- 自費診療(保険適用外治療)となります
セラミック治療の注意事項(リスク・副作用など)
- 天然歯を削ります
- 硬い素材は天然歯を傷つけてしまう場合があります
- かみ合わせや歯ぎしりが強すぎる方はセラミックが割れてしまう可能性があります
- 自費診療(保険適用外治療)となります
当サイトの内容、テキスト、画像等の無断転載、複製、複写、盗用を固く禁じます。
































