症例詳細
Case detail
親知らずのせいで隣の歯が虫歯に 40代男性
治療症例の内容
- 診療科目
- 担当医
- 患者様
- 40代男性
- 治療期間
- 4ヶ月
- 治療回数
- 2-5回
- 治療計画
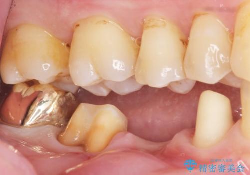
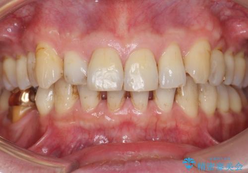
- 右下の奥歯がしみることを主訴に来院された患者様です。
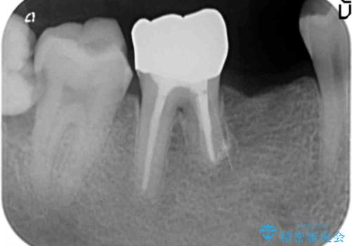
精査したところ、横向きに生えた親知らずのせいで隣の歯(右下7)が虫歯になっていました。
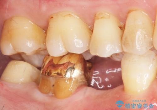
親知らずを抜歯して隣の歯のう蝕を除去し、歯肉の治癒をしっかり待ったのち、患者様のご希望によりゴールド(PGA)クラウンによる補綴を行いました。
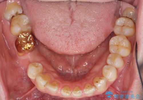
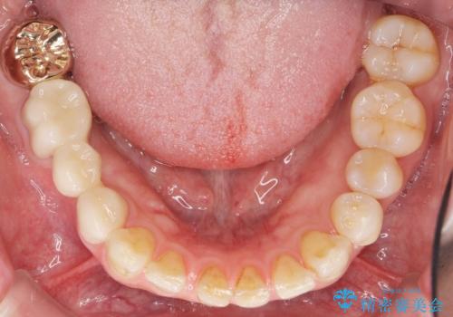
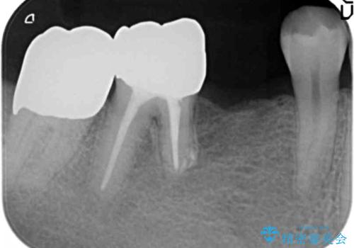
その後ブリッジの治療も希望され、オールセラミックのブリッジによる補綴を行いました。
- 費用(概算)
- ¥484,000 (仮歯×4本、土台×1本、クラウン×4本) ※税込費用は治療当時の料金となります
治療について
ゴールド(PGA)クラウンの自然な咬み心地とブリッジの審美的な仕上がりに喜んで頂けました。
モチベーションが上がり、ホワイトニングもご希望され補綴前に行いました。
右下の小臼歯(右下5)を他院で抜歯されたことを後悔されており、「はやくこの病院に来ていれば良かったなあ」とおっしゃって下さいました。
~クラウンの種類~
右下7:ゴールド(PGA)クラウン
右下⑥5④ブリッジ:オールセラミッククラウン スタンダード
セラミック治療の注意事項(リスク・副作用など)
- 天然歯を削ります
- 硬い素材は天然歯を傷つけてしまう場合があります
- かみ合わせや歯ぎしりが強すぎる方はセラミックが割れてしまう可能性があります
- 自費診療(保険適用外治療)となります
PGA(ゴールド)クラウン、インレーの注意事項(リスク・副作用など)
- インレーおよびクラウンは脱離するリスクがあります
- 形成量はセラミックより少ないですが、歯の形成、修復後に歯に症状が出ることがあります
- 自費診療(保険適用外治療)となります
当サイトの内容、テキスト、画像等の無断転載、複製、複写、盗用を固く禁じます。





















