症例詳細
Case detail
気になる前歯を治したい 短期間でのインビザライン矯正
治療症例の内容
- 診療科目
- 治療カテゴリ
- 担当医
- 藤巻太一朗(ドクタープロフィール)
- 患者様
- 20代男性
- 矯正装置
- インビザライン
- 治療期間
- 9ヶ月
- 治療回数
- 5-10回
- 治療計画
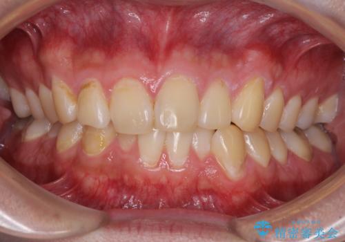
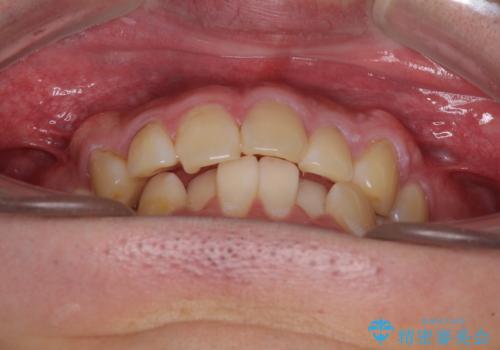
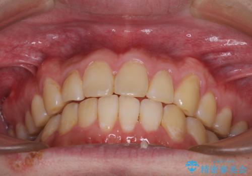
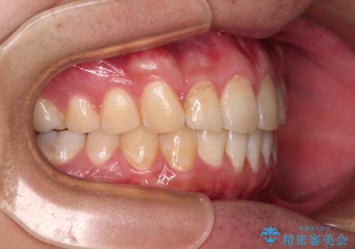
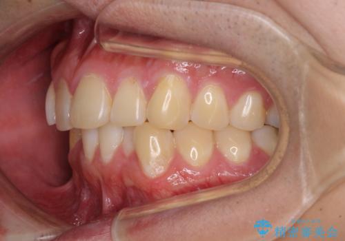
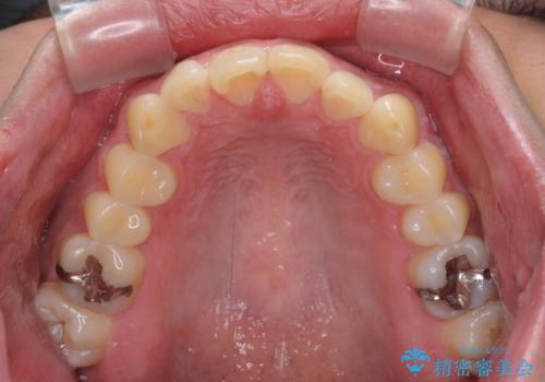
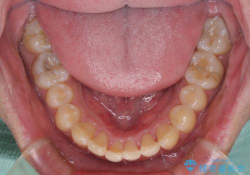
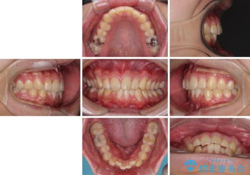
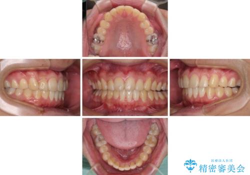
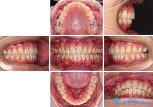
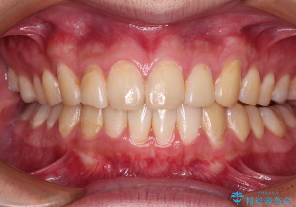
- 上下前歯のデコボコを気にして来院された患者様です。
前歯のデコボコ以外に左側の奥歯の咬み合わせに問題がありましたが、価格を抑え、短期間で気になる前歯を治したいとのことでした。
インビザラインの廉価版である「インビザライン・ライト」はマウスピースの枚数を制限することで、安価に短期間で治療を行えるプランですが、枚数に制限があるため、中途半端な仕上がりとなってしまうリスクがあります。
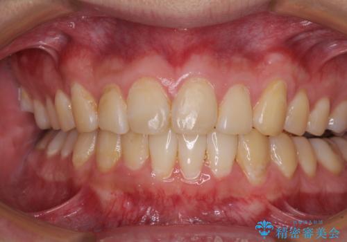
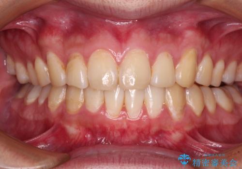
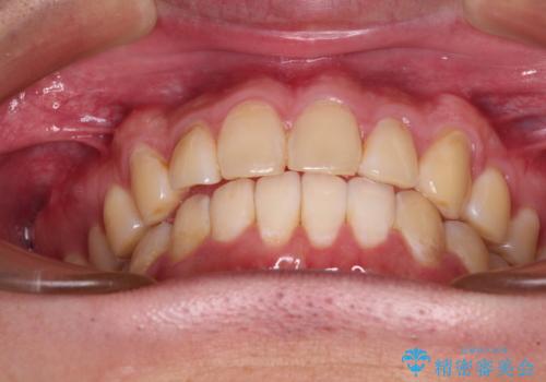
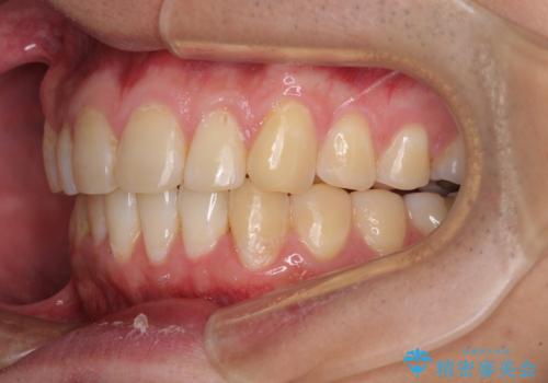
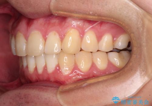
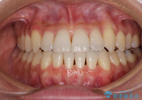
こちらの患者様は、事前のシミュレーションにより、インビザライン・ライトでは前歯のデコボコを解消しきれないことが分かったため、通常のインビザライン(コンプリヘンシブパッケージ)での治療が必要となりました。
しかし、費用面や期間で悩んでいらっしゃったため、左側臼歯の問題は解決せずに前歯のデコボコのみを改善するシミュレーションを作成し、治療を行うこととしました。
- 費用(概算)
- 治療費の目安: 70万円(税込)費用は治療当時の料金となります
治療について
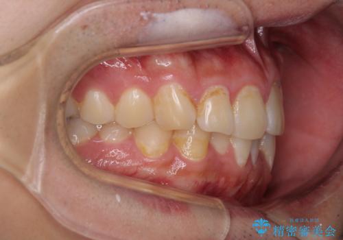
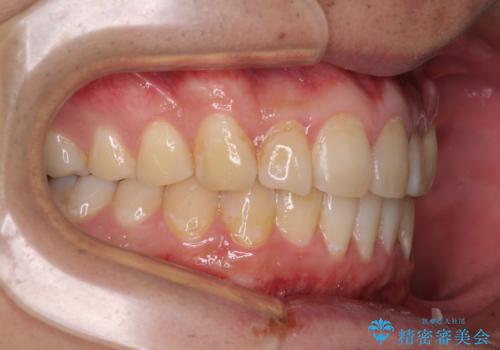
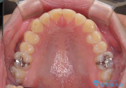
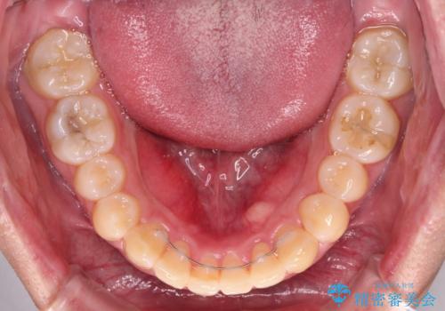
写真より左側臼歯の咬合がタイトではないことが分かりますが、こちらは保定期間に徐々に咬合させていくこととしました。
マウスピース矯正の注意事項(リスク・副作用など)
- 口腔内・歯並びの状態によっては対応できない場合があります
- マウスピース型矯正装置の長時間装着(1日20時間以上)が必須です
- 治療計画通りに進めるためには、患者様の意志が重要になります
- 矯正治療後の保定が不十分だと後戻り(元の位置に戻ろうとする動き)をします
- 薬機法対象外の矯正歯科装置のため医薬品副作用被害救済制度の対象外となる場合があります
- 自費診療(保険適用外)となります
当サイトの内容、テキスト、画像等の無断転載、複製、複写、盗用を固く禁じます。



























