症例詳細
Case detail
気になる八重歯を抜歯矯正で改善 補助装置を用いたインビザライン矯正
治療症例の内容
- 診療科目
- 治療カテゴリ
- 担当医
- 藤巻太一朗(ドクタープロフィール)
- 患者様
- 30代男性
- 矯正装置
- インビザライン
- 治療期間
- 3年
- 治療回数
- 10-30回
- 治療計画
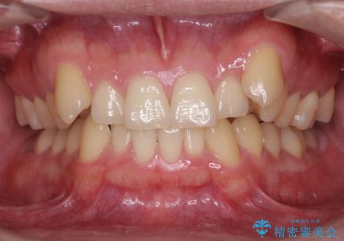
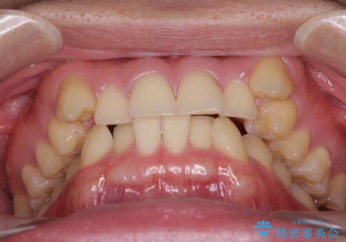
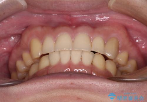
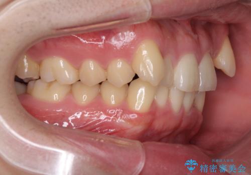
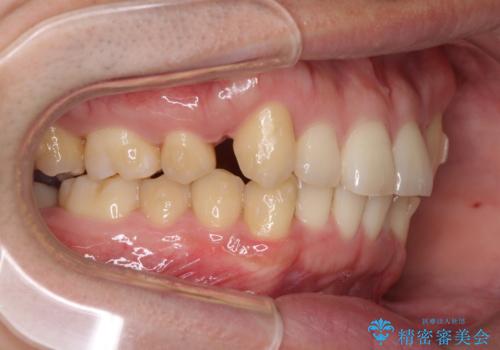
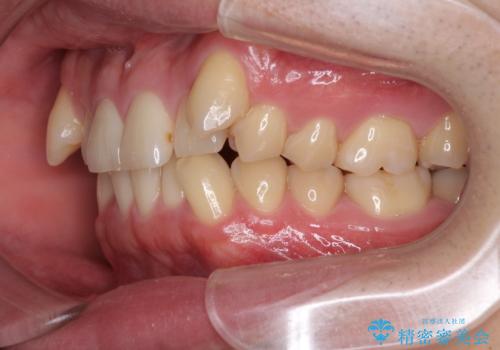
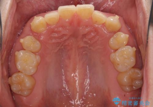
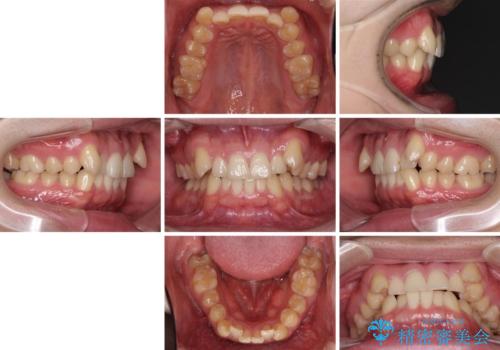
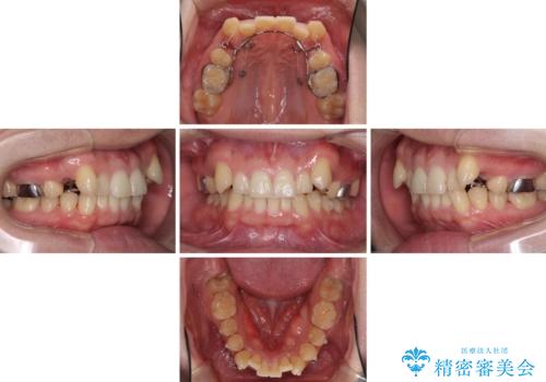
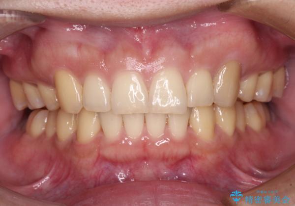
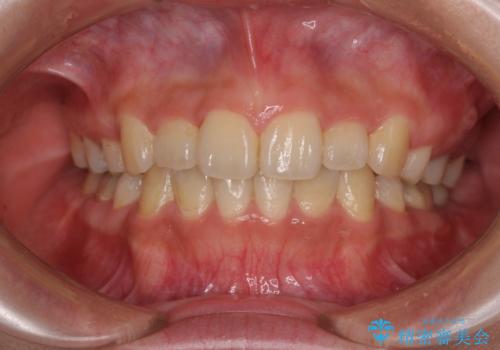
- 上顎の八重歯と前歯のデコボコを気にして来院された患者様です。
八重歯の移動量が多く、インビザライン単体での治療は困難と判断し、補助装置により八重歯移動後にインビザラインを用いることとしました。
- 費用(概算)
- 治療費の目安: 95万円(税込)費用は治療当時の料金となります
治療について
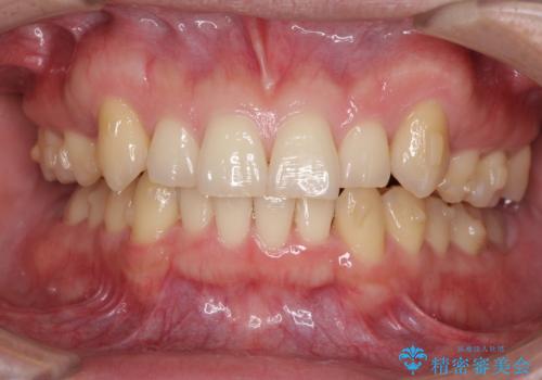
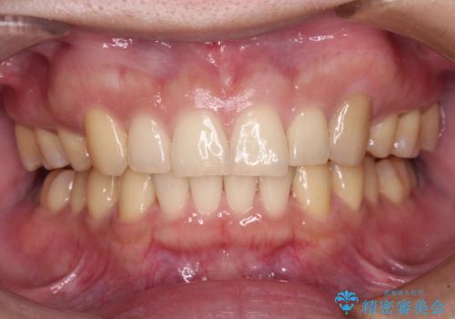
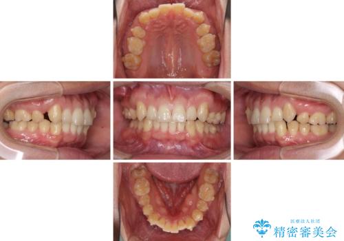
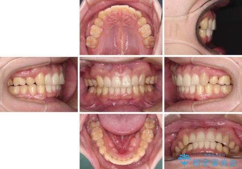
治療途中で遠方に転勤となったため、通院が困難となり治療期間が長期化してしまいました。
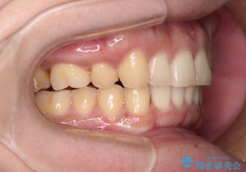
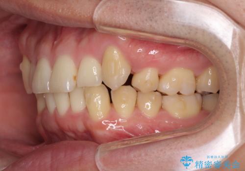
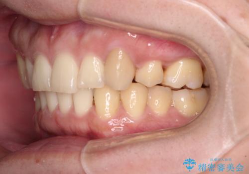
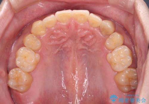
上顎のみの抜歯矯正をインビザラインで行う場合、奥歯の前方移動がインビザラインでは苦手のため、奥歯の咬み合わせが不十分となることがあります。
今回の治療では終了時に奥歯は接触しているものの、接触の程度は物足りないものがある状態でした。今後保定期間に少しずつ奥歯の咬合を改善させていくことになります。
マウスピース矯正の注意事項(リスク・副作用など)
- 口腔内・歯並びの状態によっては対応できない場合があります
- マウスピース型矯正装置の長時間装着(1日20時間以上)が必須です
- 治療計画通りに進めるためには、患者様の意志が重要になります
- 矯正治療後の保定が不十分だと後戻り(元の位置に戻ろうとする動き)をします
- 薬機法対象外の矯正歯科装置のため医薬品副作用被害救済制度の対象外となる場合があります
- 自費診療(保険適用外)となります
当サイトの内容、テキスト、画像等の無断転載、複製、複写、盗用を固く禁じます。



























